医影在线

标题: CT4473:颅内病变 [打印本页]

作者: wangzhanshuang    时间: 2006-8-26 21:32
标题: CT4473:颅内病变
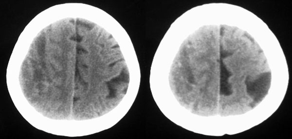
女87左下肢麻木,无外伤史










[本贴已被 jiajie 于 2006-8-27 13:25:50 修改过]

作者: LWZ    时间: 2006-8-26 22:24
考虑慢性硬膜下血肿。
作者: 天高云淡    时间: 2006-8-26 22:24
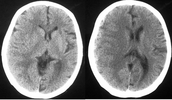
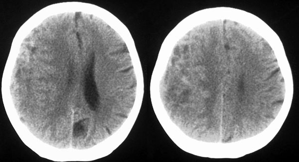
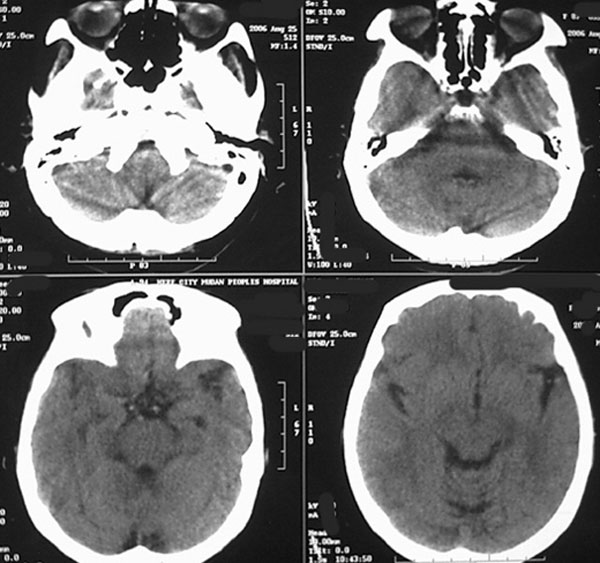
右颞顶部颅骨内板下新月形混杂密度影,右大脑皮层受压内移,考虑慢性硬膜下血肿,建议增强一下看看病灶,因为平扫好像显示的不是很好;左顶部软化灶
作者: 岩光蛋    时间: 2006-8-26 22:44
有可能是慢硬下血肿,做个增强可以进一步确定。
作者: 刘明    时间: 2006-8-26 23:09
考虑慢性硬膜下血肿
作者: 卜一    时间: 2006-8-26 23:13
右侧大脑半球脑沟 脑裂变浅或消失,顶叶不规则低密度影,右侧侧脑室明显受压移位,中线偏移,右侧内板下新月形混杂高密度致密影,多考虑:慢性硬膜下血肿.必要时建议强化扫描.
作者: 晓方    时间: 2006-8-26 23:14
应该作强化 希望有强化的影像。
作者: 宝天曼    时间: 2006-8-26 23:20
考虑慢性硬膜下血肿.建议作增强扫描.
作者: 游侠    时间: 2006-8-26 23:23
慢性硬膜下血肿可能性大.
作者: mzh123    时间: 2006-8-26 23:25
标题: 回复:颅内病变
[quote]以下是引用lwz在2006-8-26 14:24:00的发言:[br]考虑慢性硬膜下血肿。[/quote]
作者: chen123    时间: 2006-8-26 23:46
亚急性吧
作者: dyqct    时间: 2006-8-26 23:53
右额颞顶区慢性硬膜下血肿.
作者: liuyue    时间: 2006-8-27 00:52
右颞顶部颅骨内板下新月形混杂密度影,右大脑皮层受压内移,考虑慢性硬膜下血肿.
作者: suncl    时间: 2006-8-27 01:00
同意慢性硬膜下血肿
作者: 逸风    时间: 2006-8-27 01:09
右侧大脑半球脑外占位性病变,考虑慢性硬膜下血肿,建议增强扫描.
作者: hanling1    时间: 2006-8-27 01:42
右额颞顶部颅骨内板下方新月形混杂密度影,同侧灰白界限受压内移,右侧脑室呈受压性改变,中线结构左移;左顶叶扫及片状脑脊样低密度区,另可见部分脑沟增宽


 ct印象:1.右额颞顶部慢性硬膜下血肿
      2.左顶叶软化灶
      3.脑部分萎缩
作者: qinmedipro    时间: 2006-8-27 01:58
考虑右侧顶枕叶占位性病变可能,建议ct增强,或mri检查
作者: iverson123    时间: 2006-8-27 02:07
考虑为亚急性期硬膜下血肿。
作者: 阴极模块    时间: 2006-8-27 02:29
考虑慢性硬膜下血肿,请详细追问病史
作者: 余辉    时间: 2006-8-27 03:19
灰质移位向内侧,考虑慢性硬膜下血肿。左顶部软化灶  ?
作者: shangyisheng    时间: 2006-8-27 03:54
平扫符合慢性硬膜下血肿,建议增强扫描
作者: 拾荒者    时间: 2006-8-27 03:54
支持慢性硬膜下血肿。
作者: 同    时间: 2006-8-27 04:00
慢性硬膜下血肿首考
作者: 逍遥    时间: 2006-8-27 04:18
考虑慢性硬膜下血肿,有时许多老年人否认外伤史.
作者: shiqingfa    时间: 2006-8-27 04:18
慢性硬膜下血肿可能性大,建议ct增强
作者: wm933100    时间: 2006-8-27 04:58
考虑慢性硬膜下血肿
作者: 晓杰    时间: 2006-8-27 05:02
右颞顶部颅骨内板下新月形混杂密度影,右大脑皮层受压内移,考虑慢性硬膜下血肿,建议增强一下看看病灶,因为平扫好像显示的不是很好;左顶部软化灶  建议作mri检查
作者: 叶盟    时间: 2006-8-27 05:25
支持慢性硬膜下血肿,建议强化或mri
作者: drzhang8888    时间: 2006-8-27 05:40
慢性硬膜下血肿可能性大.
作者: qinwei260    时间: 2006-8-27 05:46
考虑慢性硬膜下血肿
作者: ssmmxx    时间: 2006-8-27 06:40
考虑慢性硬膜下血肿。
作者: sweet918    时间: 2006-8-27 07:28
右额颞顶部颅骨内板下方新月形混杂密度影,同侧灰白界限受压内移,右侧脑室呈受压性改变,中线结构左移;应该是右额颞顶部慢性硬膜下血肿,建议mri检查。
左顶叶片状低密度影,应是局限扩大的蛛网膜下腔。
作者: jinguoji    时间: 2006-8-27 08:52
慢性硬膜下血肿可能性大.建议作增强扫描.
作者: 江尾海头    时间: 2006-8-27 14:48
同意
作者: haha215315    时间: 2006-8-27 16:58
右侧脑室前角受压变小,中线左移,考虑慢性硬膜下血肿.左侧脑软化灶.
作者: 1983    时间: 2006-8-27 17:01
考虑:慢性硬膜下血肿.建议强化扫描
作者: friedman    时间: 2006-8-27 18:11
右侧颞顶颅内板下可见新月状高低混杂密度影,右侧脑沟回消失,脑组织受压中线结构左移,考虑为右侧慢性硬膜下血肿。病人情况允许可做mri检查。我们遇到过几例没外伤史的病人有硬膜下出血的,多为六七十岁的老年患者,不知慢性硬膜下血肿与年龄有关否?
作者: 飞虎    时间: 2006-8-28 00:33
考虑硬么下出血吸收期
作者: shibing    时间: 2015-6-18 15:31
  慢性硬膜下血肿可能性大.






欢迎光临 医影在线 (http://bbs.radida.com/bbs/) Powered by Discuz! X3.2