























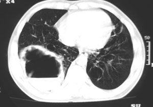
以下是引用卜一在2006-8-26 15:32:00的发言:[br]右下肺巨大气液囊肿,局部与支气管相同,壁厚薄不均,周围见渗出性病变,相应胸膜增厚.多考虑:支气管囊肿合并感染.
以下是引用liuyue在2006-8-26 17:31:00的发言:[br]右上肺可见多个小囊状无肺纹理影,左上肺亦见一个小囊状无肺纹理影,边缘清楚;右下肺巨大囊肿,内部可见液气平面,壁厚薄不均,周围见渗出性病变,相应胸膜增厚.考虑:1多发性支气管囊肿2右下肺支气管囊肿合并感染.
| 欢迎光临 医影在线 (http://bbs.radida.com/bbs/) | Powered by Discuz! X3.2 |