







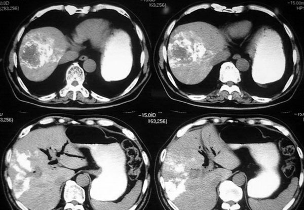
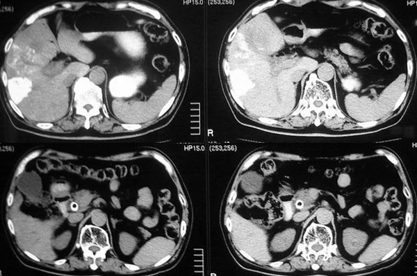
以下是引用逸风在2006-8-26 17:37:00的发言:[br]ct显示:\"壶腹癌肝转移\"行介入碘油栓塞术及胆总管内支架植入术后,肝右叶斑片状高密度碘油弥散,肝左叶见多个结节样低密度病灶,边缘清晰,肝左叶肝内胆管内气体影聚集.胆总管通常,腹膜后未见明显淋巴结肿大,片内所见其他未见明显异常.[br]诊断:1.壶腹癌肝转移\"行介入碘油栓塞术及胆总管内支架植入术后改变;2.肝左叶转移瘤,请与原片对比观察.
| 欢迎光临 医影在线 (http://bbs.radida.com/bbs/) | Powered by Discuz! X3.2 |