




以下是引用同在2006-8-26 21:09:00的发言:[br]考虑肝右叶脓肿 ,建议ct增强扫描。
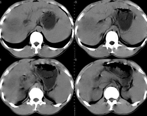
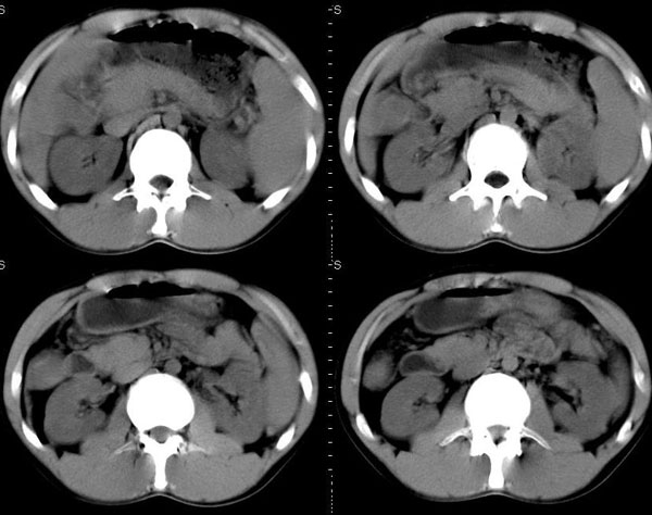
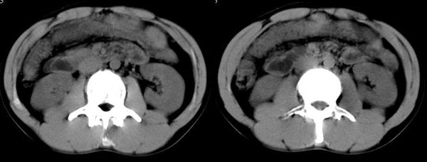
以下是引用晓杰在2006-8-26 21:18:00的发言:[br]肝右叶前段片状低密度灶,边缘模糊。肝内胆管扩张。考虑肝ca? 肝脓肿?[br][br][br]胰头增大,结构模糊,考虑:占位病变。建议增强
以下是引用宝天曼在2006-8-26 21:24:00的发言:[br]最好做个增强再说吧.[br] [br] [br] [br] [br]
| 欢迎光临 医影在线 (http://bbs.radida.com/bbs/) | Powered by Discuz! X3.2 |