医影在线
标题: CT4478:腹部占位 [打印本页]
作者: wangzhanshuang 时间: 2006-8-27 19:36
标题: CT4478:腹部占位
女44腹部不适

















[本贴已被 jiajie 于 2006-8-27 13:24:46 修改过]
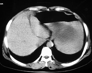
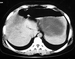
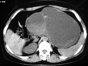
接着ct4478平扫
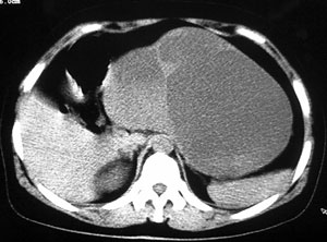
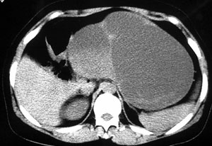
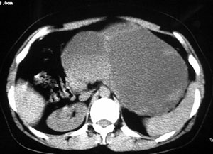
强化片






[本贴已被 jiajie 于 2006-8-30 12:28:23 修改过]
作者: hucl 时间: 2006-8-27 20:43
胰腺体尾部囊实性占位,有分隔.内无脂肪及钙化等组织.胰腺囊腺瘤.
作者: guzhongliangddd 时间: 2006-8-27 20:57
患者过去有无胰腺炎的病史。还要考虑到假性囊肿。
作者: hejun0606 时间: 2006-8-27 21:32
胰腺体尾部囊实性占位,有分隔.内无脂肪及钙化等
胰腺占位病变,性质待查,建议行ct增强扫描or mr检查
作者: 李世军 时间: 2006-8-27 21:45
胰腺体尾部囊实性占位,有分隔.内无脂肪及钙化等组织.胰腺囊腺瘤.
患者过去有无胰腺炎的病史。还要考虑到假性囊肿。
作者: dyqct 时间: 2006-8-27 21:53
标题: 回复:ct4478:腹部占位
以下是引用李世军在2006-8-27 13:45:00的发言:[br]胰腺体尾部囊实性占位,有分隔.内无脂肪及钙化等组织.胰腺囊腺瘤. [br] 患者过去有无胰腺炎的病史。还要考虑到假性囊肿。 [br] [br][br]
作者: yzt222 时间: 2006-8-27 22:19
胰腺体尾部囊实性占位,有分隔.内无脂肪及钙化等组织.胰腺囊腺瘤.
患者过去有无胰腺炎的病史。还要考虑到假性囊肿。
作者: chen123 时间: 2006-8-27 22:42
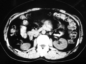
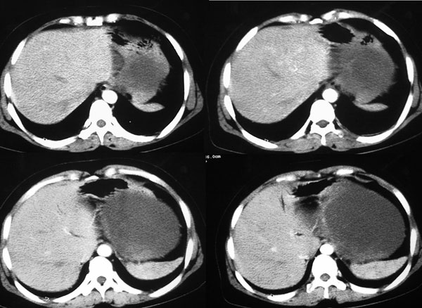
这个要问下病史,如无胰腺炎病史首先考虑胰腺体尾部的粘液囊腺瘤,此瘤太大,有分叶和实性成份要考虑恶性或潜在恶性可能,后两幅主动脉左旁结节状强化影止于左肾静脉,考虑双下腔静脉,请结合往下的片
作者: wangzhongliang 时间: 2006-8-27 22:47
考虑胰腺囊性占位性病变,病人以前是否有胰腺炎的病史。
作者: 晓杰 时间: 2006-8-27 23:11
胰腺体尾部囊实性占位,有分隔.内无脂肪及钙化等组织.胰腺囊腺瘤.
患者过去有无胰腺炎的病史。还要考虑到假性囊肿。
作者: w_jianhua 时间: 2006-8-27 23:31
胰腺体尾部囊实性占位,有分隔.内无脂肪及钙化等组织.胰腺囊腺瘤.;脾大。
作者: 飞虎 时间: 2006-8-27 23:57
进一步ct增强检查 除外囊腺癌
作者: 叶子青青 时间: 2006-8-28 00:02
建议增强扫描
作者: yang4132 时间: 2006-8-28 00:14
胰腺体尾部囊实性占位,境界清晰,内有间隔呈多房性,周围无炎性改变,考虑胰腺囊腺瘤。
作者: 1983 时间: 2006-8-28 01:02
胰腺考虑假性囊肿。建议增强
作者: 乡医 时间: 2006-8-28 02:02
定位于胰腺。
胰腺囊腺瘤不多见,我还是考虑是假性囊肿
作者: 眼睛 时间: 2006-8-28 03:29
标题: [建议]
考虑胰腺处假性囊肿。建议增强..........................
[本贴已被 眼睛 于 2006-8-27 19:34:25 修改过]
作者: 左捌子 时间: 2006-8-28 04:04
体尾部囊实性占位,有分隔.内无脂肪及钙化等组织.胰腺囊腺瘤?胰腺假性囊肿?建议询问患者过去有无胰腺炎病史及建议行ct增强扫描.
作者: shangyisheng 时间: 2006-8-28 04:17
应该增强扫描看看有没有壁结节,排除囊腺癌
作者: 1救死扶伤 时间: 2006-8-28 04:25
胰腺体尾部囊实性占位,有分隔.其内无脂肪及钙化等组织.周围脂肪间隙清,1:胰腺囊腺瘤.
问患者过去有无胰腺炎的病史,2:考虑到假性囊肿。
作者: zhg2005 时间: 2006-8-28 04:48
胰腺假性囊肿(胰腺炎后)
作者: piao001 时间: 2006-8-28 05:03
胰腺囊腺瘤或囊腺癌.增强是必需的。
作者: 同 时间: 2006-8-28 05:21
多考虑胰腺囊腺瘤
作者: hurb 时间: 2006-8-28 05:43
定位没有争议都在胰腺,以良性为主,胰腺本身体尾部都看不气概内了,建议增强,钡厂化验检查.
作者: 拾荒者 时间: 2006-8-28 05:48
标题: 回复:ct4478:腹部占位
以下是引用李世军在2006-8-27 13:45:00的发言:[br]胰腺体尾部囊实性占位,有分隔.内无脂肪及钙化等组织.胰腺囊腺瘤. [br] 患者过去有无胰腺炎的病史。还要考虑到假性囊肿。 [br] [br][br]
作者: ssmmxx 时间: 2006-8-28 07:21
考虑胰腺囊腺瘤。
作者: arm1998 时间: 2006-8-28 07:28
胰腺体尾部囊实性占位,境界清晰,内有间隔呈多房性,周围无炎性改变,考虑胰腺囊腺瘤。
作者: ligm188 时间: 2006-8-28 07:31
胰腺体尾部囊实性占位,有分隔.内无脂肪及钙化等组织.胰腺囊腺癌可能性大
作者: 宇宙巨人 时间: 2006-8-28 09:10
诊断很明确:胰腺囊腺癌。
作者: liuyue 时间: 2006-8-28 15:53
胰腺体尾部囊实性占位,有分隔.内无脂肪及钙化等组织.考虑:胰腺囊腺瘤可能性大, 囊腺癌不除外 ;
患者过去有无胰腺炎的病史,还要考虑到假性囊肿。
作者: 卜一 时间: 2006-8-28 15:56
考虑:假性囊肿。
作者: lushijun 时间: 2006-8-28 17:12
支持胰腺囊腺瘤
作者: liaoqiang 时间: 2006-8-28 19:00
胰腺囊性病变,考虑囊腺瘤?假性囊肿?
作者: jiajie 时间: 2006-8-30 20:30
以下是引用守望可可西里在2006-8-30 10:57:00的发言:[br][br] 定位:胰腺体尾部。[br] 定性:胰腺囊腺癌可能性大。[br] 理由:胰腺体尾部呈多囊状分叶,部分病灶与前腹壁粘连,且下部形态不规则,毛糙不整、凸凹不平。囊壁厚薄不一致,多个大小不等壁结节突入,囊壁及壁结节明显不均匀强化。偏右侧囊内见液-液平面样相对高密度,呈与壁结节类似强化。性质:1.出血?2.壁结节?
以下是引用duguo在2006-8-30 12:13:00的发言:[br]支持胰腺囊腺癌诊断,建议穿刺活检.
作者: shibing 时间: 2015-6-18 15:29
胰腺体尾部囊实性占位,有分隔.内无脂肪及钙化等组织.胰腺囊腺瘤.
患者过去有无胰腺炎的病史。还要考虑到假性囊肿。
| 欢迎光临 医影在线 (http://bbs.radida.com/bbs/) |
Powered by Discuz! X3.2 |