









以下是引用dyqct在2006-8-27 13:58:00的发言:[br]位置太不标准。[br]双侧上颌窦、筛窦炎症。[br]看不出有海绵窦瘘的征象。[br]

以下是引用dyqct在2006-8-27 13:58:00的发言:[br]位置太不标准。[br]双侧上颌窦、筛窦炎症。[br]看不出有海绵窦瘘的征象。[br]
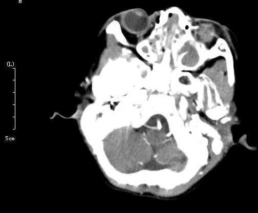
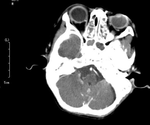
以下是引用winter在2006-8-27 18:54:00的发言:[br]男,7岁,外伤后左眼搏动、疼痛。增强扫描左侧海绵窦增宽,考虑颈动脉海绵窦瘘,双侧上颌窦蝶窦筛窦内的考虑为积血才是。
| 欢迎光临 医影在线 (http://bbs.radida.com/bbs/) | Powered by Discuz! X3.2 |