医影在线
标题: CT4484:这个胸部CT可能有点难哦,请大家帮帮忙分析 [打印本页]
作者: jdpengj 时间: 2006-8-28 05:57
标题: CT4484:这个胸部CT可能有点难哦,请大家帮帮忙分析
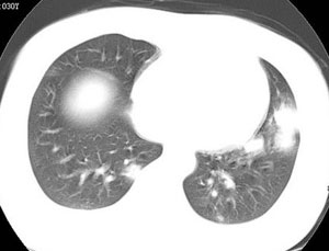
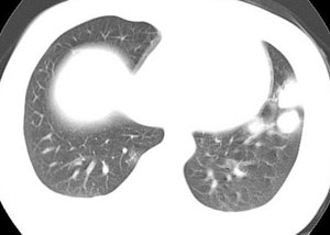
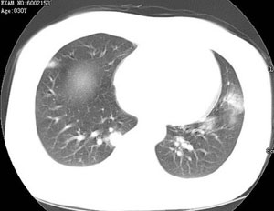
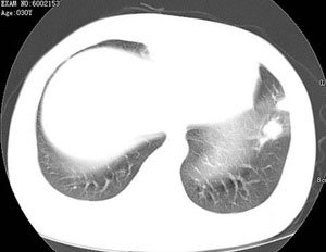
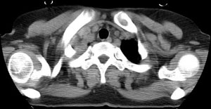
女性,30岁。
病史为胸痛20多天,无畏寒发热,无消瘦,无咳嗽咳痰。总之症状很逍遥。
临床以胸痛待查收住入院。
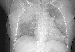
平片拟诊转移瘤。
很抱歉,图像格式太小了,如想观察较为清晰的图像,可查看我的雅虎相册:http://cn.pg.photos.yahoo.com/ph/pengjian555/my_photos?urlhint=actn,del%3as,1%3af,0









































[本贴已被 jiajie 于 2006-8-28 6:53:15 修改过]
作者: gypgyp 时间: 2006-8-28 06:05
真没见过!
不过按常规还是先考虑:转移瘤.
作者: 中山医 时间: 2006-8-28 06:07
两肺干酪肺炎。
作者: huangxun4321 时间: 2006-8-28 06:20
标题: 1
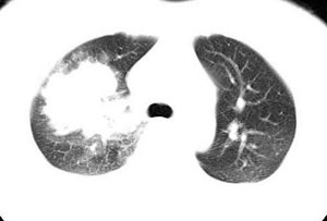
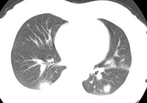
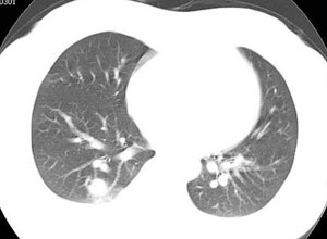
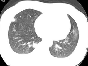
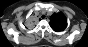
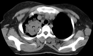
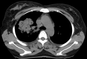
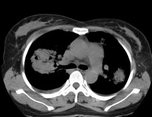
双肺野可见散在大小不等结节及肿块影,内密度不均匀,边缘部分清,部分欠清,纵隔未见明显肿大淋巴结.右侧胸腔少理积液.结合临床,考虑韦格肉芽肿可能吧,巨淋巴增生,结节病,特殊感染都要考虑.转移瘤临床不象.
[本贴已被 jiajie 于 2006-8-28 7:24:09 修改过]
作者: nrh-000007 时间: 2006-8-28 06:21
血源性肺脓肿,内可见气泡影
作者: 蓝星 时间: 2006-8-28 06:31
多考虑转移瘤
作者: dyqct 时间: 2006-8-28 07:00
多发、内可见含气支气管征,边界不清;纵隔内未内见明显肿大淋巴结。右侧少量胸腔积液。
考虑:1、化脓性肺炎?
2、肺霉菌感染?
作者: 乡医 时间: 2006-8-28 07:02
血源性肺脓肿,内可见支气管影,不象肿瘤
作者: ssmmxx 时间: 2006-8-28 07:06
多考虑转移瘤
作者: arm1998 时间: 2006-8-28 07:14
病人女30岁请追问病史有无流产史,如有还是得考虑绒癌转移,
1。转移
2。韦格肉芽肿
3。非特异性感染性病变
作者: 笑笑天 时间: 2006-8-28 07:17
征象看还是肺实变,还是感染性病变可能性大点,会不会是多发肺脓肿还是韦格氏肉芽肿之类的呢
作者: ligm188 时间: 2006-8-28 07:18
两肺多发斑片及节结灶,其内有支气管充气症,比较年轻考虑为感染或肺泡癌
作者: mmg94 时间: 2006-8-28 07:33
我考虑慢性肺炎可能性大。1、病变周边见有消淡的密度影(相对于中央密度),2、纵膈未见肿大淋巴结。3、右侧病变内仍可见清晰气管影。
作者: tomography-anat 时间: 2006-8-28 10:13
标题: 1
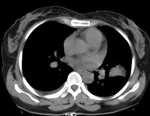
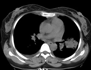
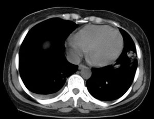
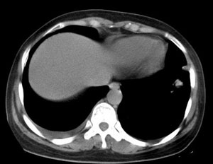
本病例特点如下:
1.青年女性,以胸痛20多天就诊,无呼吸道及感染临床症状体征,无原发肿瘤病史;
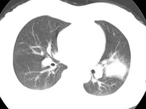
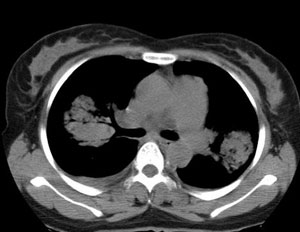
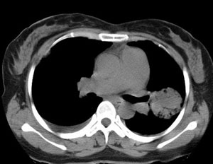
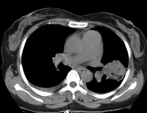
2.肺ct表现为两肺多发大小不等结节影,大结节位于肺尖部,小结节多位于肺外带胸膜下,大结节内可见支气管充气征,周围可见月晕征(指在结节状或肉芽肿样病灶周围呈环形磨玻璃影),右肺门及腔静脉后可见小淋巴结,右侧胸腔内少量液体。
考虑如下:
1.嗜酸性细胞肺浸润(好发于年轻女性,临床症状大多较清,类似loeffler综合征。影像呈非节段性均匀性肺实变,典型的有月晕征,分布于肺的外围,血常规嗜酸性粒细胞可增高,对激素治疗有效,临床症状和x线表现可迅速改善或消失),首先考虑本病。
2.结节病或wegener氏肉芽肿:前者可有多系统损害,多伴有纵隔或肺门淋巴结肿大;后者结节内有空洞是其特点。二者共同特点是好发于女性,x线表现重而临床症状相当较清。
3.霉菌感染:结合临床若有长期使用抗生素或激素类药物,患免疫力低下疾病可以考虑。
4.若有绒毛膜上皮癌和恶性葡萄胎病史,可以考虑肺转移,但影像表现不典型。
[本贴已被 jiajie 于 2006-8-28 7:23:14 修改过]
作者: jiajie 时间: 2006-8-28 15:22
两肺散在分布大小不等的肿块及结节影,边缘毛糙,有分叶、毛刺,病灶密度不均匀,可见支气管充气相与空泡征。病变大多位于胸膜下,可见胸膜凹陷及胸腔积液。气管腔静脉间可见小结节影。
病人临床仅为胸痛,暂不考虑感染性病变。
考虑多发结节型细支气管肺泡癌。
作者: liuyue 时间: 2006-8-28 15:36
支持14楼
作者: chen123 时间: 2006-8-28 16:41
考虑肺真霉菌病;心脏增大,肺动脉增宽
作者: lushijun 时间: 2006-8-28 16:59
支持14楼意见
作者: jinguoji 时间: 2006-8-28 18:02
标题: 回复:ct4484:这个胸部ct可能有点难哦,请大家帮帮忙分析
以下是引用arm1998在2006-8-27 23:14:00的发言:[br]病人女30岁请追问病史有无流产史,如有还是得考虑绒癌转移,[br]1。转移[br]2。韦格肉芽肿[br]3。非特异性感染性病变[br]
作者: tzw136 时间: 2006-8-28 18:35
难定啊.结节病和嗜酸性细胞肺浸润要首先考虑吧.盼结果.
作者: wzj893 时间: 2006-8-28 19:09
支持14楼意见,等待结果。
作者: aosangwa 时间: 2006-8-28 19:14
标题: 回复:ct4484:这个胸部ct可能有点难哦,请大家帮帮忙分析
以下是引用jiajie在2006-8-28 7:22:00的发言:[br]两肺散在分布大小不等的肿块及结节影,边缘毛糙,有分叶、毛刺,病灶密度不均匀,可见支气管充气相与空泡征。病变大多位于胸膜下,可见胸膜凹陷及胸腔积液。气管腔静脉间可见小结节影。[br]病人临床仅为胸痛,暂不考虑感染性病变。[br]考虑多发结节型细支气管肺泡癌。
作者: 天地睹狭 时间: 2006-8-28 19:23
哎呀,昨天还真遇到一个与此极类似的ct片,我考率感染性病变,但也同时将肺炎型肺癌放在了第2位,待排除!盼结果.
作者: ysxyy 时间: 2006-8-28 19:35
女性,30岁。病史为胸痛20多天,无畏寒发热,无消瘦,无咳嗽咳痰。总之症状很逍遥。
韦格氏肉芽肿是一种坏死血管炎性肉芽肿病,可分为五种:1、韦格氏肉芽肿;2、淋巴瘤样肉芽肿;3、支气管中心型肉芽肿;4、坏死结节病样肉芽肿;5、变态反应血管炎性肉芽肿;
临床分型:鼻咽型和肺型;肺型:咳嗽33%,咯血18%,呼吸困难7%,胸膜病变5%;
本病患者血清中存在抗中性粒细胞胞浆抗体(anca),支气管肺泡灌洗液anca阳性率100%;
影像学表现:1、肺内结节状阴影,可为单发或多发结节,边缘锐利或模糊,大小约2~4cm左右;2、表现为斑片状阴影,双侧或单侧分布,密度较低,边界不清,有时可见支气管充气征,此阴影可自行消失或具有游走性特征;3、间质性病变,表现为弥漫性网状阴影或结节状阴影、间质性浸润;4、胸膜肥厚或积液;
本病的诊断主要根据临床表现,影像学表现和组织活检,经支气管镜肺组织活检和支气管肺泡灌洗液检查对早期诊断肺型韦格氏肉芽肿具有重要价值。
本例好像还不具有典型的表现,不知道是不是?
作者: liaoqiang 时间: 2006-8-28 19:36
双肺散布结节状实变影,边界欠清,部份实变影中有支气管气相。右侧胸腔积液。考虑感染可能性大。
作者: 卜一 时间: 2006-8-29 00:01
双肺野可见散在大小不等结节及肿块影,内密度不均匀,边缘部分清,部分欠清,纵隔未见明显肿大淋巴结.右侧胸腔少理积液.结合临床,考虑:1 多考虑:胶原性疾病_类风湿结节.2 不出外韦格纳肉芽肿.
作者: zwz 时间: 2006-8-29 00:05
真菌感染可能
作者: 拾荒者 时间: 2006-8-29 04:00
标题: 回复:ct4484:这个胸部ct可能有点难哦,请大家帮帮忙分析
以下是引用tomography-anatomy在2006-8-28 2:13:00的发言:[br]
本病例特点如下:[br]1.青年女性,以胸痛20多天就诊,无呼吸道及感染临床症状体征,无原发肿瘤病史;[br]2.肺ct表现为两肺多发大小不等结节影,大结节位于肺尖部,小结节多位于肺外带胸膜下,大结节内可见支气管充气征,周围可见月晕征(指在结节状或肉芽肿样病灶周围呈环形磨玻璃影),右肺门及腔静脉后可见小淋巴结,右侧胸腔内少量液体。[br]考虑如下:[br]1.嗜酸性细胞肺浸润(好发于年轻女性,临床症状大多较清,类似loeffler综合征。影像呈非节段性均匀性肺实变,典型的有月晕征,分布于肺的外围,血常规嗜酸性粒细胞可增高,对激素治疗有效,临床症状和x线表现可迅速改善或消失),首先考虑本病。[br]2.结节病或wegener氏肉芽肿:前者可有多系统损害,多伴有纵隔或肺门淋巴结肿大;后者结节内有空洞是其特点。二者共同特点是好发于女性,x线表现重而临床症状相当较清。[br]3.霉菌感染:结合临床若有长期使用抗生素或激素类药物,患免疫力低下疾病可以考虑。[br]4.若有绒毛膜上皮癌和恶性葡萄胎病史,可以考虑肺转移,但影像表现不典型。[br][br][本贴已被 jiajie 于 2006-8-28 7:23:14 修改过]
拿不准,支持一下。
作者: 晓杰 时间: 2006-8-29 04:04
军团菌肺炎
作者: lyt 时间: 2006-8-29 04:41
结合临床表现首先考虑过敏性肺炎,其次考虑肺泡癌和转移瘤
作者: drzhang8888 时间: 2006-8-29 06:08
没见过这样的病例。我先考虑淋巴瘤其次是肺泡癌。
作者: jdpengj 时间: 2006-8-29 06:35
感谢各位同道的分析,大家讲的都有道理,我们暂定于本周结她做个ct定位下穿刺活检,相信会有结果的。
可惜的是最近没跟她联系,不知她有没有做相关的化验检查。(有时候临床医生非常依赖影像,他们不会想那么多)。
作者: tomography-anat 时间: 2006-8-29 06:36
请1楼的朋友继续提供下列资料:
1.补充有关病史;
2.实验室检查结果,如血常规及分类;
3.有关治疗情况
4.建议复查胸部ct
看到大家热烈的讨论,受益菲浅,希望病例提供者能及时反馈有关信息,大家都盼着有个结果。这样才会有更多的人愿意参加讨论,大家受益。谢谢!
作者: 东北 时间: 2006-9-2 04:21
韦格肉芽肿
作者: swyyy2006 时间: 2006-9-2 05:24
韦格肉芽肿
?非特异性感染性病变?
结节病?
作者: yuhg 时间: 2006-9-2 05:39
肉牙肿性病变可能,穿刺活检.
作者: shibing 时间: 2015-6-18 15:27
病人女30岁请追问病史有无流产史,如有还是得考虑绒癌转移,
1。转移
2。韦格肉芽肿
3。非特异性感染性病变
| 欢迎光临 医影在线 (http://bbs.radida.com/bbs/) |
Powered by Discuz! X3.2 |