医影在线

标题: CT4485:肾平扫+增强 [打印本页]

作者: hong    时间: 2006-8-28 06:17
标题: CT4485:肾平扫+增强
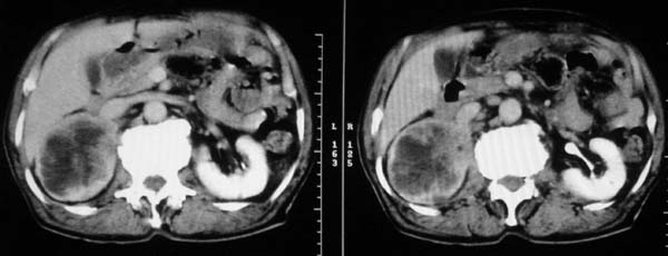
男性,80岁,腰痛数月,因“前列腺增生”申请b超检查,发现“右肾占位”,遂行ct检查。





















[本贴已被 jiajie 于 2006-8-28 6:53:54 修改过]

作者: jdpengj    时间: 2006-8-28 06:31
右肾正常结构消失,且肾功能差(延时显影),个人认为需考虑结核或其它感染性病变。肿瘤不是很像。
作者: 乡医    时间: 2006-8-28 06:57
慢性病史,基本上呈花瓣样低密度,考虑结合
作者: dyqct    时间: 2006-8-28 07:02
肾癌累及腰大肌.
作者: ssmmxx    时间: 2006-8-28 07:04
肾癌
作者: gypgyp    时间: 2006-8-28 07:05
标题: 回复:肾平扫+增强
以下是引用jdpengj在2006-8-27 22:31:00的发言:[br]右肾正常结构消失,且肾功能差(延时显影),个人认为需考虑结核或其它感染性病变。肿瘤不是很像。

同意!!!
作者: arm1998    时间: 2006-8-28 07:05
病变范围广,肾影增大,病变累及肾实质及集合系统,皮质变薄,病灶内见不规则坏死液化灶,同时累及邻近的肝实质及周大肌,考虑:感染性病变(结核或炎症)可能性大
作者: ligm188    时间: 2006-8-28 07:38
右肾癌及下腔静脉瘤栓
作者: ligm188    时间: 2006-8-28 07:41
应该是右肾静脉瘤栓,累及腰大肌
作者: liuyue    时间: 2006-8-28 15:13
右肾区巨大混杂密度影,不均匀强化,与腰大肌分界不清,首先考虑:肾癌可能性大,鉴别:肾结核(肾实质内常多发囊状低密度影,伴钙化,临床常伴明显症状);  肾平滑肌肉瘤,等.
作者: chen123    时间: 2006-8-28 16:51
多考虑右肾的感染性病变
作者: lushijun    时间: 2006-8-28 16:55
支持2楼意见,结合其他化验指标。
作者: hucl    时间: 2006-8-28 17:54
标题: 回复:ct4485:肾平扫+增强
肾癌
作者: liaoqiang    时间: 2006-8-28 17:58
整个右肾象不规则扩大的肾盏,其与肾皮质交界区域有大小不等的环形强化影,肾皮质不规则变薄。同侧腰大肌受侵。考虑右肾慢性感染(肾结核?)。
作者: 天地睹狭    时间: 2006-8-28 18:10
右肾较大病灶,混杂密度,不均匀强化,境界及边界均不清,还可见分隔样和囊状结构,以我的经验,首先考率感染性病变,ca不象,另外可大胆一点的话,考虑一特殊类型的感染,如黄色肉芽肿等,of couse ,tb也要考虑.谢楼主提供一下灶区ct植及病史.
作者: wangzhanshuang    时间: 2006-8-28 19:03
动脉期基本没抓住,强化的头一层已接近静脉期了,左肾髓质已强化了
作者: xhsmx    时间: 2006-8-28 19:15
低密度灶分布似在肾盂、肾盏部位,首先考虑结核。
作者: lgm660927    时间: 2006-8-28 19:56
结核可能.
作者: 卜一    时间: 2006-8-29 00:03
右肾区巨大混杂密度影,不均匀强化,与腰大肌分界不清,首先考虑:肾癌可能性大 。
作者: hnyzdjb    时间: 2006-8-29 01:38
右侧输尿管显示欠清,未见明显强化,考虑右侧输尿管梗阻并右肾感染可能性大.
作者: 晓杰    时间: 2006-8-29 04:38
右肾区巨大混杂密度影,不均匀强化,与腰大肌分界不清,首先考虑:肾癌可能性大
作者: 拾荒者    时间: 2006-8-29 05:03
右肾明显增大,肾实质内见围绕肾盂多发囊状低密度影,肾皮质变薄,增强有强化,输尿管起始部壁增厚,肾盂无扩张,右侧腰大肌受累,首先考虑右肾结核可能。肾癌不能排除(低密度区密度不均,壁不规则,输尿管起始部狭窄,肾周侵犯较局限,病人年龄偏大,临床结核中毒症状不明显)。
作者: yang4132    时间: 2006-8-29 05:08
考虑肾结核。
作者: drzhang8888    时间: 2006-8-29 06:02
支持肾癌。
作者: 小医生    时间: 2006-8-29 08:04
肾癌,如果下肾结核未免太大胆了,如果可以提供相关临床表现就可以知道了。看影像觉得更支持肾癌!
作者: haha215315    时间: 2006-8-29 18:54
考虑肾肿瘤。
作者: shibing    时间: 2015-6-18 15:26
右肾区巨大混杂密度影,不均匀强化,与腰大肌分界不清,首先考虑:肾癌可能性大,鉴别:肾结核(肾实质内常多发囊状低密度影,伴钙化,临床常伴明显症状);  肾平滑肌肉瘤,等.




欢迎光临 医影在线 (http://bbs.radida.com/bbs/) Powered by Discuz! X3.2