医影在线
标题: CT4502:[原创]头颅平扫!!大家看看左颞叶. [打印本页]
作者: 叶盟 时间: 2006-8-29 20:41
标题: CT4502:[原创]头颅平扫!!大家看看左颞叶.
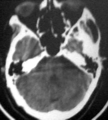
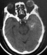
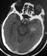
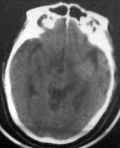
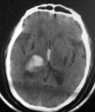
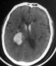
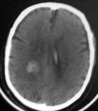
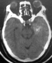
病人男性52岁,一年前曾患脑出血.今突发剧烈头痛,恶心,呕吐..病人家属说病人自去年脑出血以后,精神异常!请大家看看左侧颞叶病灶考虑什么?片子不是很清楚请大家见谅!!左颞叶病灶ct值最高处为85hu








[本贴已被 叶盟 于 2006-8-29 18:08:40 修改过]
作者: 卜一 时间: 2006-8-29 21:17
左侧颞叶海马回钩部斑片状高密度致密影,考虑:出血.
作者: wansheng 时间: 2006-8-29 21:43
考虑出血。
作者: ssmmxx 时间: 2006-8-29 22:02
考虑出血。
作者: chen123 时间: 2006-8-29 22:20
这片子很费眼力呀!
作者: dyqct 时间: 2006-8-29 22:53
做个增强,除外avm
作者: 守望可可 时间: 2006-8-29 22:53
请问楼主,有没有去年的片子啊?如果能对比,诊断就容易多了。
病人此次症状应与右侧丘脑及基底节出血破溃入脑室有关。
左颞叶病灶我认为不是出血,就算是出血,也与右侧病灶性质不同。理由:1.该病灶密度较淡而不均匀,其间见斑点状更高密度。急性出血,应该不会是这个样子。
2.病灶对周围无推移挤压迹象,也无水肿。倒是病灶旁边、左侧环池局部扩张,与右侧病灶
作者: 守望可可 时间: 2006-8-29 22:56
点错键了,不好意思,接着说:
完全不一样。
综合上诉特点,左颞叶病灶我首先考虑:avm。
作者: 鲸鱼 时间: 2006-8-30 01:50
左颞叶病灶应首先考虑:avm。不知对否请通道指导。
作者: 叶盟 时间: 2006-8-30 02:03
标题: 回复:ct4502:[原创]头颅平扫!!大家看看左颞叶.
守望可可西里你好,我觉得也不是出血,形态不像,最起码这种形态的出血我是没有见过.他去年的片子已经没有了。这个病人是我们科室一个同事的亲戚,我的同事说去年出血的时候没有这个病灶。请问您一个问题,你说如果哟去年的片子诊断就容易了,如果去年也有这个病灶的话考虑什么?
[本贴已被 叶盟 于 2006-8-29 18:12:04 修改过]
作者: 江尾海头 时间: 2006-8-30 02:24
同意7楼意见
作者: arm1998 时间: 2006-8-30 02:46
左侧颞叶考虑血管畸形,右侧丘脑及基底节出血破溃入脑室
作者: wangzhanshuang 时间: 2006-8-30 03:13
左侧颞叶考虑血管畸形,右侧丘脑及基底节出血破溃入脑室
作者: dushiguo2006 时间: 2006-8-30 03:32
支持守望可可西里
作者: qinwei260 时间: 2006-8-30 03:47
考虑血管畸形,建议增强.
作者: gzayhsj 时间: 2006-8-30 04:09
增强吧!等病情稳定好转后.
作者: jiangjing 时间: 2006-8-30 04:13
考虑1海绵状血管瘤。2脑膜瘤待排。建议增强
作者: 晓杰 时间: 2006-8-30 04:20
如果去年的片子有的话,应考虑:avm
作者: ellen 时间: 2006-8-30 05:09
左颞叶avm可能性大
作者: drzhang8888 时间: 2006-8-30 05:24
确实不像出血的表现。治疗一段复查吧。
作者: 拾荒者 时间: 2006-8-30 05:45
左颞叶病灶考虑血管畸形,如果上次片子就有更支持此诊断。
作者: 张海螺 时间: 2006-8-30 06:49
左颞叶病灶我认为不是出血,因为边界不清,无水肿带,应该是散在钙化灶,不排除avm,建议增强.
作者: 飞虎 时间: 2006-8-30 16:16
进一步增强 除外avm
作者: yingzi 时间: 2006-8-30 17:05
左颞叶病灶应首先考虑:avm。
作者: liuyue 时间: 2006-8-30 18:27
1右丘脑脑出血破入脑室; 2左颞叶avm。如果去年有则更加证明是avm,如果去年没有则可能是钙化尚少,显示不明显. 建议强化
作者: duguo 时间: 2006-8-30 20:26
左侧颞叶病灶密度不均,似见点状钙化,支持血管畸形性病变.右侧病变为出血.
作者: swyyy2006 时间: 2006-8-30 23:40
对,动经脉畸形的可能性很大
作者: 守望可可 时间: 2006-8-31 17:39
liuyue战友说 “左颞叶avm。如果去年有则更加证明是avm,如果去年没有则可能是钙化尚少,显示不明显.” 颇为支持。另:病人两次出血的部位估计也不会一样,原因应与高血压和脑血管硬化有关,与左颞叶avm关系不大。
作者: sungh 时间: 2006-9-1 00:46
支持守望可可西里的观点。
作者: 固体胶 时间: 2006-9-1 09:31
左颞叶病灶应首先考虑:avm出血。
作者: 东北 时间: 2006-9-2 00:36
avm
作者: 水过无痕 时间: 2006-9-2 03:52
看了楼上各位所述,大家支持avm的是大多数,本人的意见是:不考虑avm,就不好去解释该病灶的病理、生理了。颅内高密度灶,周边未见水肿,脑室系统未见明显异常。请高手指点!
作者: yuhg 时间: 2006-9-2 03:57
血管畸形建议mri
作者: elity69 时间: 2006-9-2 04:09
左侧颞叶考虑血管畸形,右侧丘脑及基底节出血破溃入脑室
作者: shibing 时间: 2015-6-18 16:03
左颞叶病灶应首先考虑:avm。不知对否请通道指导。
| 欢迎光临 医影在线 (http://bbs.radida.com/bbs/) |
Powered by Discuz! X3.2 |