医影在线

标题: CT4507:眼部 [打印本页]

作者: xcc106    时间: 2006-8-30 19:49
标题: CT4507:眼部
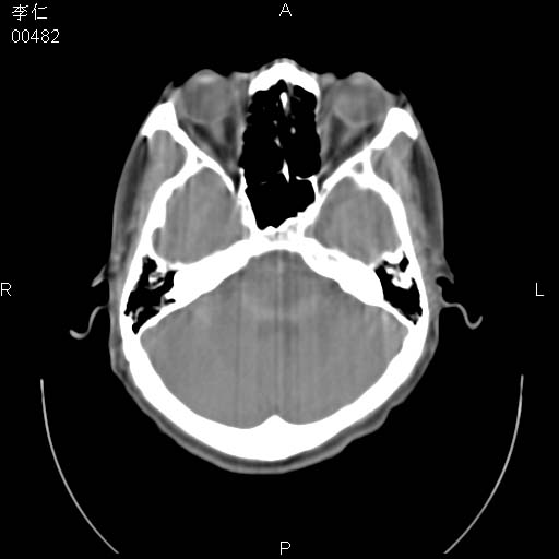
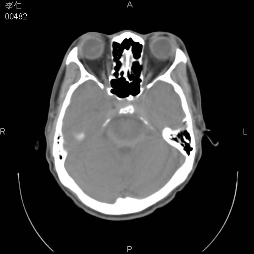
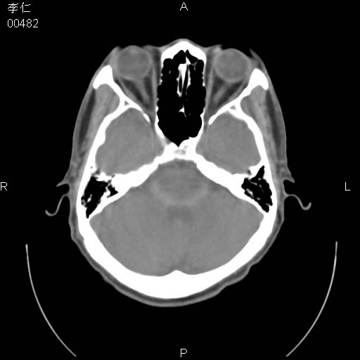
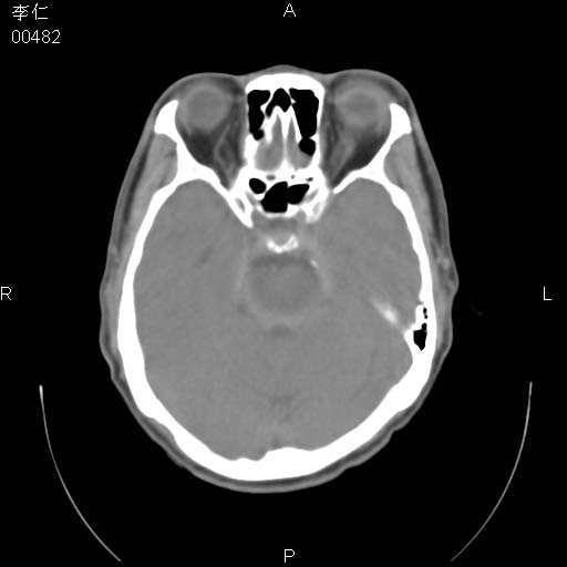
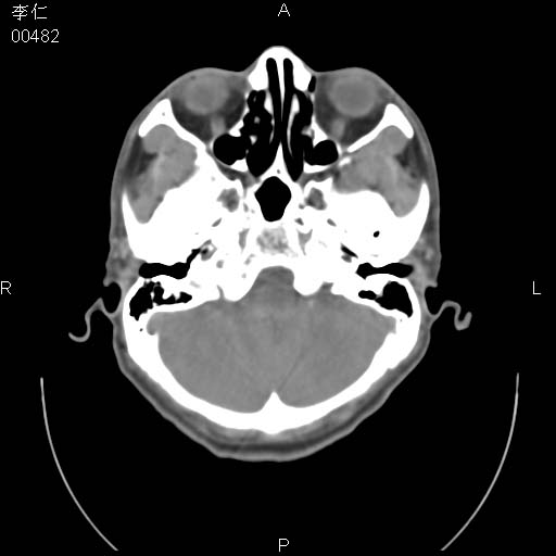
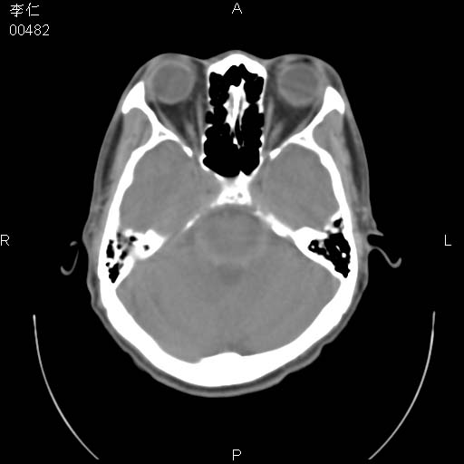
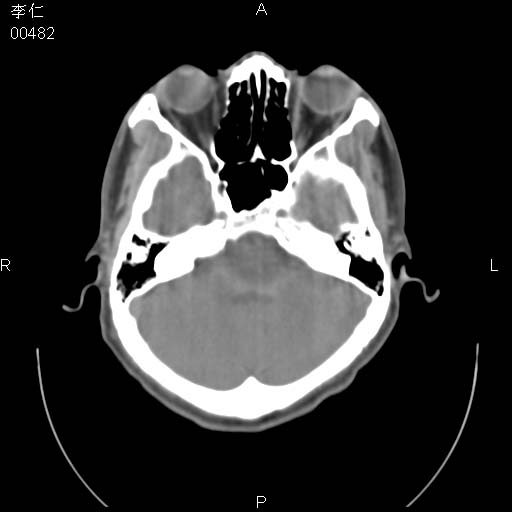
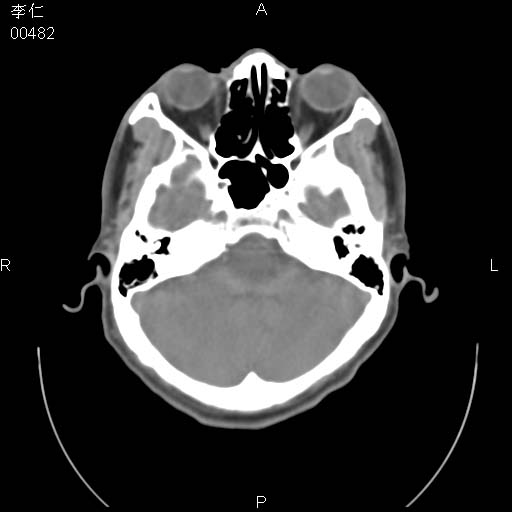
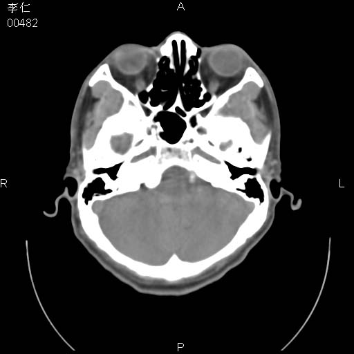
患者男,45岁。于二月前发现左眼稍肿,去看眼科,查肾功(—),来查ct,我看到的是左侧上眼睑内低密度影,ct值是-600到-700hu。












[本贴已被 jiajie 于 2006-8-30 12:31:34 修改过]

作者: duguo    时间: 2006-8-30 20:00
副鼻窦发育畸形所致。
作者: dyqct    时间: 2006-8-30 22:01
不是气体吗?不是就是脂肪瘤.
作者: 守望可可    时间: 2006-8-30 23:01
脂肪瘤可能性大,不象是气体。
作者: ligm188    时间: 2006-8-30 23:10
是气体 前组筛窦发育过度所致,如果有外伤就不排除骨折
作者: lyfyf    时间: 2006-8-30 23:39
是一个副鼻窦的正常变异,脂肪瘤的密度不可能这么低,-600到-700.
作者: swyyy2006    时间: 2006-8-31 00:09
那是眼睑吗,看错部位了
作者: 奕帆    时间: 2006-8-31 00:29
只是空气而已,属正常ct表现。
作者: ssmmxx    时间: 2006-8-31 00:58
副鼻窦的正常变异
作者: hnyzdjb    时间: 2006-8-31 01:30
应该没问题了.
作者: jiangjing    时间: 2006-8-31 01:59
正常表现,眼睑与结膜zhi间的空气
作者: 1983    时间: 2006-8-31 03:35
考虑为气体
作者: 拾荒者    时间: 2006-8-31 04:06
这么低的ct值,会不会如jiangjing老师所言是眼睑与结膜间的气体。
作者: liu.hui.yang    时间: 2006-8-31 04:12
标题: 回复:ct4507:眼部
以下是引用dyqct在2006-8-30 14:01:00的发言:[br]不是气体吗?不是就是脂肪瘤.

作者: yang4132    时间: 2006-8-31 04:22
正常,为结膜囊内气体。
作者: drzhang8888    时间: 2006-8-31 05:31
哪呀战友们说得我不太清楚是哪里。综观全片我未见异常。
作者: wm933100    时间: 2006-8-31 05:54
应该没有什么临床价值.
作者: aosangwa    时间: 2006-8-31 15:22
正常的,结膜间的气体,再不然就薄层扫描重建一下
作者: sungh    时间: 2006-9-1 01:59
支持18楼,
作者: WHY7912    时间: 2006-9-1 02:40
支持十一楼
作者: 水过无痕    时间: 2006-9-2 04:01
左侧眼球壁光滑,未见异常密度灶,眶内结构清晰,眼内肌、视神经均正常。所见低密度灶,本人考虑:1、五官科翻上睑造成;2、炎症(产气细菌感染)。
作者: 子期    时间: 2006-9-4 16:29
气体
作者: shibing    时间: 2015-6-18 15:51
副鼻窦的正常变异




欢迎光临 医影在线 (http://bbs.radida.com/bbs/) Powered by Discuz! X3.2