医影在线
标题: CT4560:[讨论]双肾、输尿管CT平扫+增强 [打印本页]
作者: wpf 时间: 2006-9-6 04:11
标题: CT4560:[讨论]双肾、输尿管CT平扫+增强
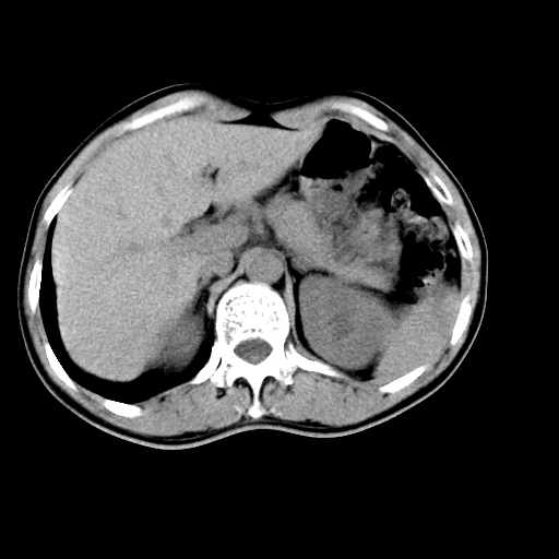
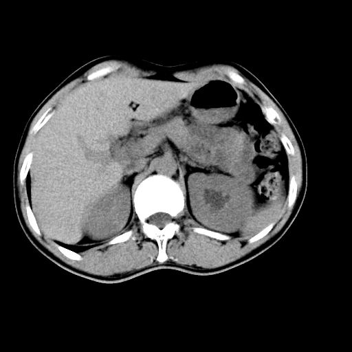
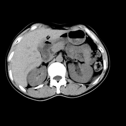
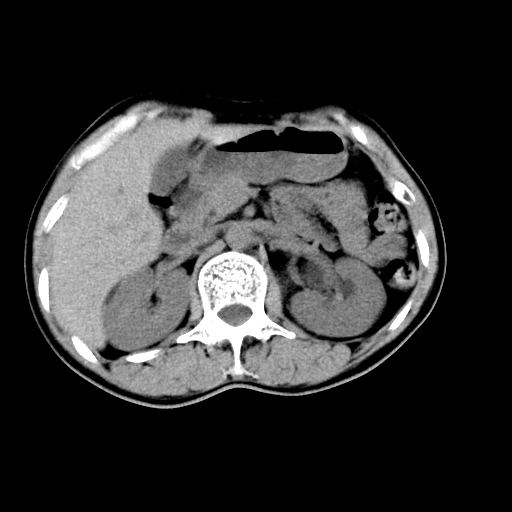
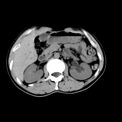
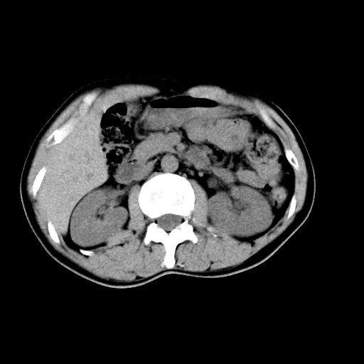
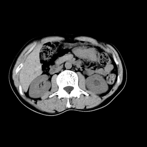
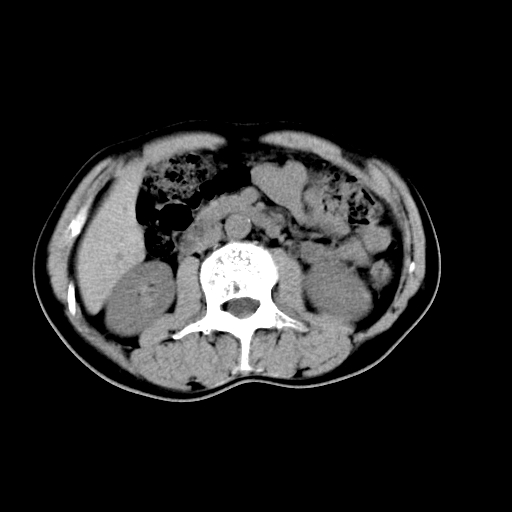
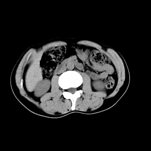
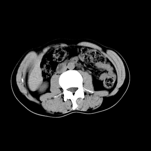
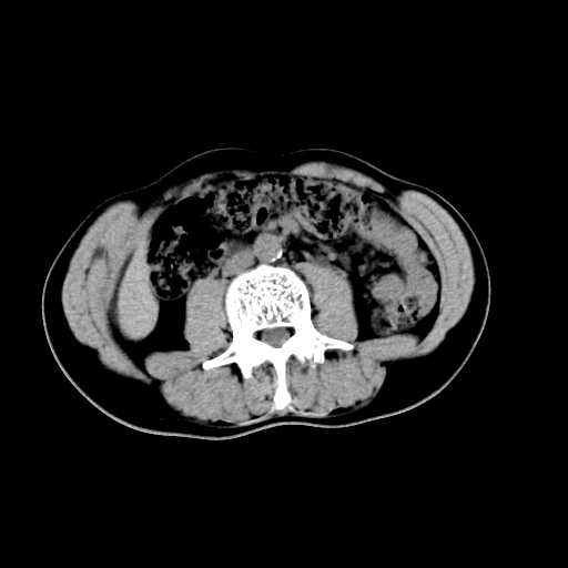
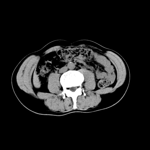
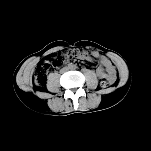
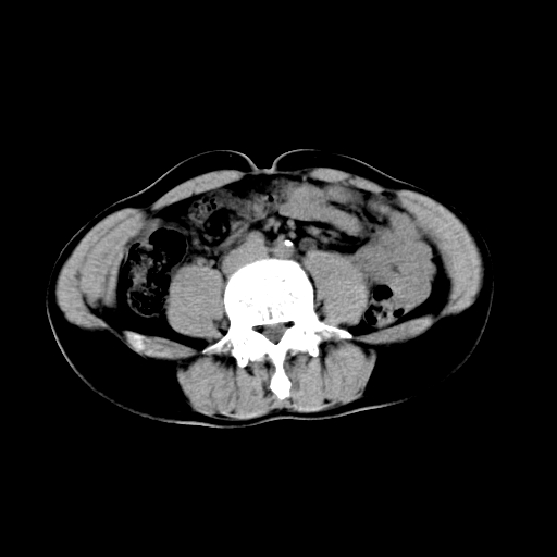
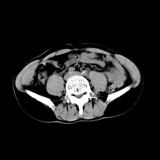
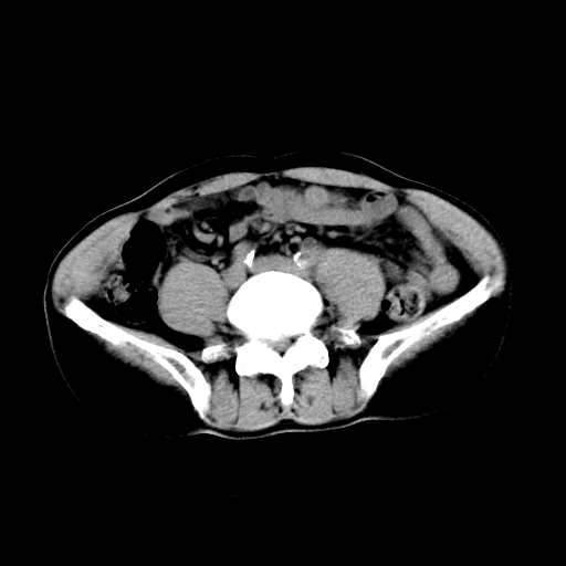
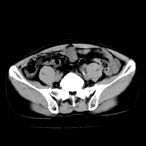
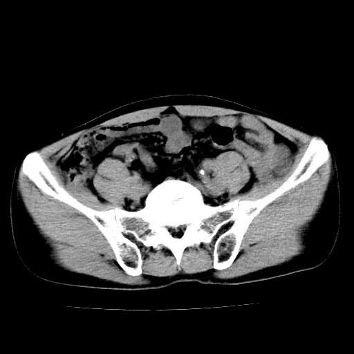
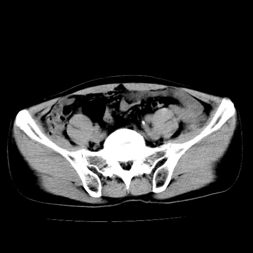
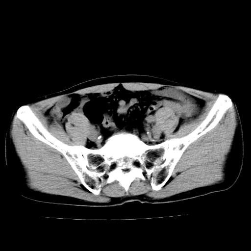
男,47岁,左输尿管结石碎石治疗后10余日。彩超示:左输尿管下段狭窄、输尿管积水。请各位讨论一下左输尿管下段结石还是静脉石?























[本贴已被 wpf 于 2006-9-5 20:13:53 修改过]
[本贴已被 jiajie 于 2006-9-6 7:08:15 修改过]
作者: dyqct 时间: 2006-9-6 04:47
象是第二狭窄处结石伴以上输尿管、肾盂轻度积水。
作者: jinguoji 时间: 2006-9-6 04:59
输尿管结石伴以上输尿管、肾盂轻度积水。
作者: 乡医 时间: 2006-9-6 05:10
同意一楼诊断
作者: kbzyycm 时间: 2006-9-6 06:09
输尿管结石伴肾盂轻度积水
作者: 宝天曼 时间: 2006-9-6 06:16
同意一楼诊断
作者: 1390528 时间: 2006-9-6 06:39
两侧髂总动脉壁斑状及点状钙化.左侧输尿管行经与左髂总动脉相交后见高密度影,且下段输尿管管腔未见扩张,应该要考虑结石伴以上输尿管及肾盂积水.但右侧结节状高密度影,也应该是结石吧!那以上输尿管未见扩张呢!因此静脉结石可能性也较大.请问楼主碎石前左侧输尿管结石位置.
作者: drzhang8888 时间: 2006-9-6 06:45
虽左侧有轻度肾盂积水但不支持结石。1结石边周应该有软组织包绕呈晕征。2钙化点前面见输尿管影也不支持是结石。3彩超没提结石。建议超生复查。
输尿管先位于腹部,后进入盆腔,最后斜穿膀胱壁开口于膀胱,因此,临床上常将输尿管分为腹段、盆段和壁内段。第1个狭窄:在肾盂与输尿管移行处。第2个狭窄:在跨过髂血管处。第3个狭窄:在穿过膀胱壁处。这些狭窄是结石容易滞留的部位。
增强呢说好有的?
作者: ctkz987 时间: 2006-9-6 06:47
同意楼上意见
作者: zhiqiang 时间: 2006-9-6 14:40
虽左侧有轻度肾盂积水但不支持结石。1结石边周应该有软组织包绕呈晕征。2钙化点前面见输尿管影也不支持是结石。3彩超没提结石。建议超生复查。
输尿管先位于腹部,后进入盆腔,最后斜穿膀胱壁开口于膀胱,因此,临床上常将输尿管分为腹段、盆段和壁内段。第1个狭窄:在肾盂与输尿管移行处。第2个狭窄:在跨过髂血管处。第3个狭窄:在穿过膀胱壁处。这些狭窄是结石容易滞留的部位。
增强呢说好有的?
作者: liuyue 时间: 2006-9-6 14:43
以下是引用drzhang8888在2006-9-5 22:45:00 的发言:
虽左侧有轻度肾盂积水但不支持结石。1结石边周应该有软组织包绕呈晕征。2钙化点前面见输尿管影也不支持是结石。3彩超没提结石。建议超生复查。
输尿管先位于腹部,后进入盆腔,最后斜穿膀胱壁开口于膀胱,因此,临床上常将输尿管分为腹段、盆段和壁内段。第1个狭窄:在肾盂与输尿管移行处。第2个狭窄:在跨过髂血管处。第3个狭窄:在穿过膀胱壁处。这些狭窄是结石容易滞留的部位。
增强呢说好有的?
建议:把输尿管、膀胱扫全,除外输尿管下端结石,必要时强化或泌尿系造影除外其他.
作者: qian 时间: 2006-9-6 15:26
左侧输尿管有轻度扩张伴有肾盂积水,输尿管下段周围的高密度影不象在输尿管内。
作者: lgm660927 时间: 2006-9-6 15:52
不是结石。
作者: 刘明 时间: 2006-9-6 15:58
支持8楼
作者: 子期 时间: 2006-9-6 17:15
不是结石
作者: haha215315 时间: 2006-9-6 17:28
左肾有积水,还得考虑结石.
作者: 卜一 时间: 2006-9-6 17:42
同意一楼诊断
作者: elity69 时间: 2006-9-7 00:35
两侧髂总动脉壁斑状及点状钙化.左侧输尿管行经与左髂总动脉相交后见高密度影,且下段输尿管管腔未见扩张,应该要考虑结石伴以上输尿管及肾盂积水.但右侧结节状高密度影,也应该是结石吧!那以上输尿管未见扩张呢!因此静脉结石可能性也较大.请问楼主碎石前左侧输尿管结石位置.
作者: ssmmxx 时间: 2006-9-7 01:12
不是结石。
作者: dushiguo2006 时间: 2006-9-7 01:28
左肾有积水,还得考虑结石
作者: 拾荒者 时间: 2006-9-7 02:39
标题: 回复:ct4560:[讨论]双肾、输尿管ct平扫+增强
以下是引用drzhang8888在2006-9-5 22:45:00的发言:[br]虽左侧有轻度肾盂积水但不支持结石。1结石边周应该有软组织包绕呈晕征。2钙化点前面见输尿管影也不支持是结石。3彩超没提结石。建议超生复查。[br]输尿管先位于腹部,后进入盆腔,最后斜穿膀胱壁开口于膀胱,因此,临床上常将输尿管分为腹段、盆段和壁内段。第1个狭窄:在肾盂与输尿管移行处。第2个狭窄:在跨过髂血管处。第3个狭窄:在穿过膀胱壁处。这些狭窄是结石容易滞留的部位。[br]增强呢说好有的?[br][br]
同意,不支持结石。(因显示该高密度影前见扩张输尿管影,另外两侧对称显示)。
作者: 江尾海头 时间: 2006-9-7 02:45
左侧高密度影在左侧输尿管的内侧方,所以不考虑输尿管结石.
作者: pj6789 时间: 2006-9-7 02:47
8楼分析很精彩!支持
作者: swyyy2006 时间: 2006-9-9 04:25
我认为不是结石的可能性大,因为他的位置和血管钙化的位置邻近
作者: shibing 时间: 2015-6-19 15:29
虽左侧有轻度肾盂积水但不支持结石。1结石边周应该有软组织包绕呈晕征。2钙化点前面见输尿管影也不支持是结石。3彩超没提结石。建议超生复查。
输尿管先位于腹部,后进入盆腔,最后斜穿膀胱壁开口于膀胱,因此,临床上常将输尿管分为腹段、盆段和壁内段。第1个狭窄:在肾盂与输尿管移行处。第2个狭窄:在跨过髂血管处。第3个狭窄:在穿过膀胱壁处。这些狭窄是结石容易滞留的部位。
增强呢说好有的?
| 欢迎光临 医影在线 (http://bbs.radida.com/bbs/) |
Powered by Discuz! X3.2 |