医影在线
标题: CT4561:[原创]上腹部CT平扫+增强 [打印本页]
作者: wpf 时间: 2006-9-6 04:22
标题: CT4561:[原创]上腹部CT平扫+增强
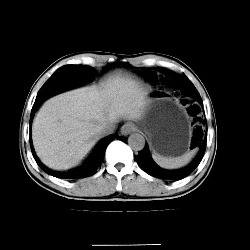
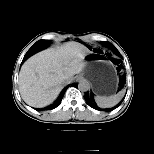
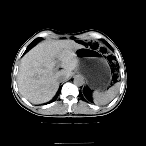
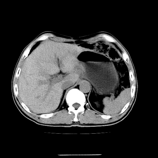
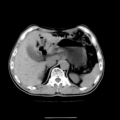
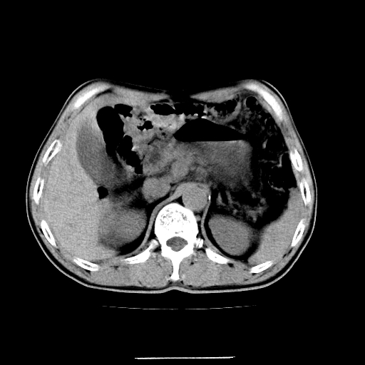
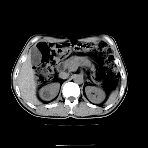
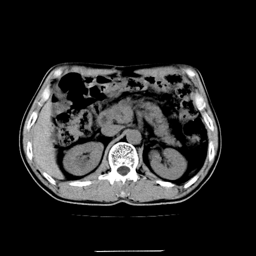
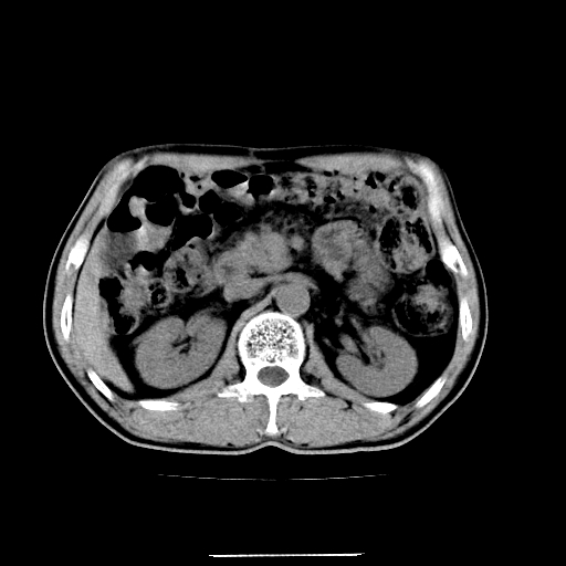
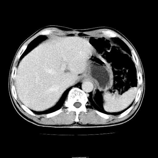
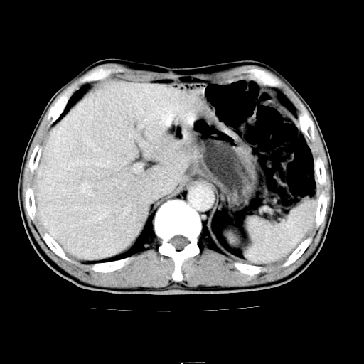
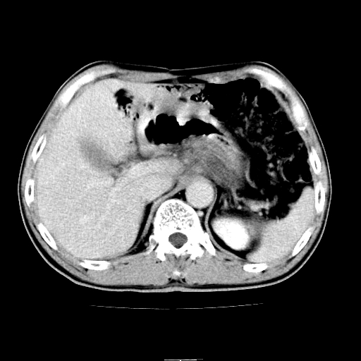
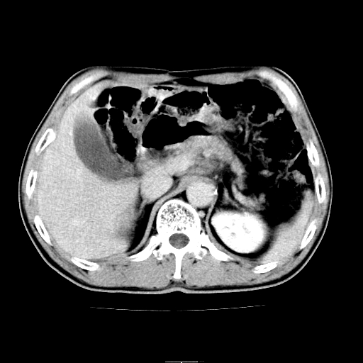
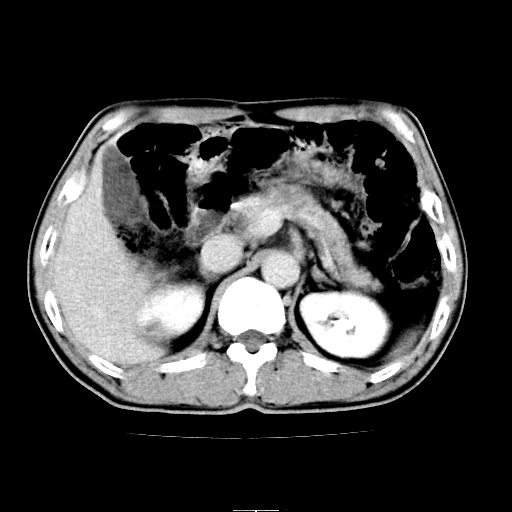
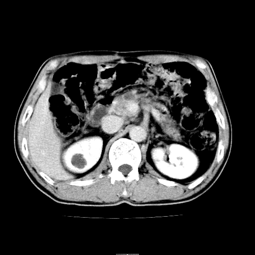
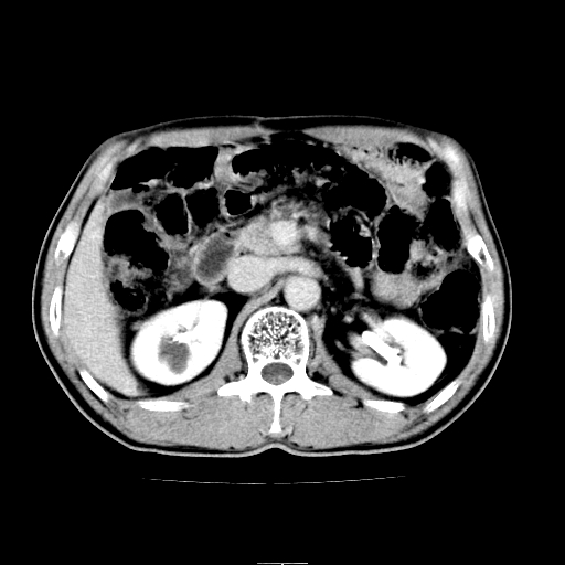
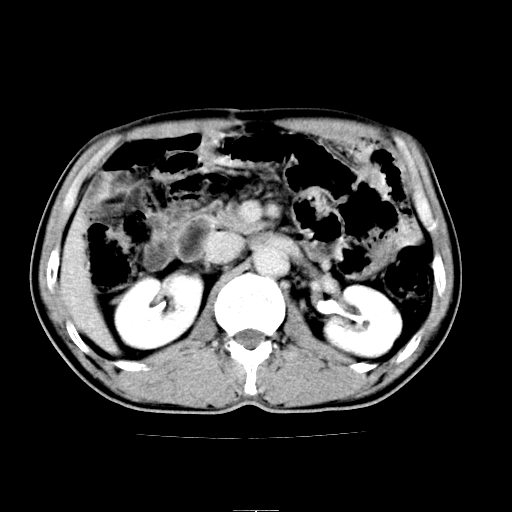
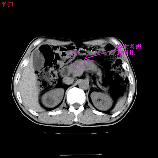
患者男,64岁,胃癌术后三个月,无明显不适。请讨论一下胰头前方小圆形低密度影为淋巴结还是肠管?

















[本贴已被 wpf 于 2006-9-5 20:24:54 修改过]
[本贴已被 jiajie 于 2006-9-6 7:08:36 修改过]
作者: dyqct 时间: 2006-9-6 04:44
肠管吧.另外右肾见盂旁囊肿.
作者: jinguoji 时间: 2006-9-6 04:55
肠管.右肾见盂旁囊肿.
作者: 奕帆 时间: 2006-9-6 05:34
典型的无明显强化改变的淋巴结。
作者: ctkz987 时间: 2006-9-6 05:59
增强第6幅图上有气液平相通,是肠管,右肾低密度灶形态不规则似有壁结节,不除外转移.
作者: 宝天曼 时间: 2006-9-6 06:14
胰头低密度影考虑是肠管
作者: leesen 时间: 2006-9-6 06:22
应该考虑是肠管,理由1、平扫和增强对比,形态和内部的密度有明显改变。2、增强图片可见明显气液平面。
作者: 天天快乐 时间: 2006-9-6 06:37
是肠管影,肠壁有强化。
作者: drzhang8888 时间: 2006-9-6 07:21
标题: 做了个图方便探讨。
不知道楼主说得是那个?

一个形态变化大应该是肠管。
另一个上下观察不成形,强化也不符合淋巴结表现故考虑术后改变。
[本贴已被 drzhang8888 于 2006-9-5 23:26:25 修改过]
作者: shenhs 时间: 2006-9-6 07:42
支持肠管
作者: 晓方 时间: 2006-9-6 08:16
支持9楼 ,探讨方法很好。有肾囊肿
作者: syr666 时间: 2006-9-6 08:36
支持9楼,分析的很好
作者: liuyue 时间: 2006-9-6 14:29
是肠管,右肾低密度灶形态不规则、密度不均匀,不除外转移.
作者: suncl 时间: 2006-9-6 16:35
标题: 回复:ct4561:[原创]上腹部ct平扫+增强
以下是引用drzhang8888在2006-9-5 23:21:00的发言:[br]不知道楼主说得是那个?[br]
[br]一个形态变化大应该是肠管。[br]另一个上下观察不成形,强化也不符合淋巴结表现故考虑术后改变。[br][br][br][本贴已被 drzhang8888 于 2006-9-5 23:26:25 修改过]
支持
作者: haha215315 时间: 2006-9-6 17:35
标题: 回复:ct4561:[原创]上腹部ct平扫+增强
以下是引用ctkz987在2006-9-5 21:59:00的发言:[br]增强第6幅图上有气液平相通,是肠管,右肾低密度灶形态不规则似有壁结节,不除外转移.
作者: sjing 时间: 2006-9-6 18:03
支持肠管
作者: 卜一 时间: 2006-9-6 18:54
典型的肠管.
作者: wansheng 时间: 2006-9-6 20:58
标题: 回复:ct4561:[原创]上腹部ct平扫+增强
以下是引用suncl在2006-9-6 8:35:00的发言:[br][quote]以下是引用drzhang8888在2006-9-5 23:21:00的发言:[br]不知道楼主说得是那个?[br]
[br]一个形态变化大应该是肠管。[br]另一个上下观察不成形,强化也不符合淋巴结表现故考虑术后改变。[br][br][br][本贴已被 drzhang8888 于 2006-9-5 23:26:25 修改过]
[br]支持[br][/quote]
作者: zjzjr 时间: 2006-9-6 23:25
是肠管影。还有右侧肾盂旁囊肿。
作者: dushiguo2006 时间: 2006-9-7 00:01
支持肠管
作者: elity69 时间: 2006-9-7 00:43
应该考虑是肠管,理由1、平扫和增强对比,形态和内部的密度有明显改变。2、增强图片可见明显气液平面。
作者: 守望可可 时间: 2006-9-7 00:47
标题: 回复:ct4561:[原创]上腹部ct平扫+增强
以下是引用dyqct在2006-9-5 20:44:00的发言:[br]肠管吧.另外右肾见盂旁囊肿.
病灶确实存在,请看以下2幅图片:


另外,胰腺体部密度在平扫和增强时均不太均匀,似有数个小的囊状低密度区存在。不知道增强时其他期如何?应该高度警惕为转移性病变。
作者: ssmmxx 时间: 2006-9-7 01:41
十二指肠
作者: 拾荒者 时间: 2006-9-7 03:07
胰头右侧低密度影卡考虑为肠管;胰头前部低密度影,增强环形强化,结合临床首先考虑转移灶,其次考虑淋巴结结核(中心干酪性坏死)。
作者: wm933100 时间: 2006-9-7 03:34
支持肠管,右肾囊肿.
作者: drzhang8888 时间: 2006-9-7 05:00
如是转移灶强化多为均质强化。如是结核应见到完整的壁且壁略厚。如是转移虽壁可不完整但内壁应该不规则。所以不支持是结核或转移。敬请指正!
作者: 憨哥 时间: 2006-9-10 11:43
是肠管影。还有右侧肾盂旁囊肿
作者: yuhg 时间: 2006-9-10 23:35
不能除外病灶,随诊
作者: zylcq608 时间: 2006-9-11 04:27
支持肠管,建议口服5%泛影葡胺5/10分钟扫描
作者: shibing 时间: 2015-6-19 15:30
是肠管影,肠壁有强化。
| 欢迎光临 医影在线 (http://bbs.radida.com/bbs/) |
Powered by Discuz! X3.2 |