




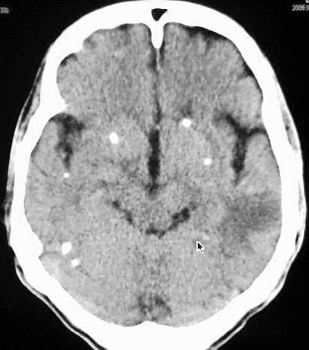
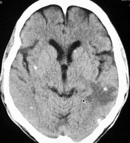
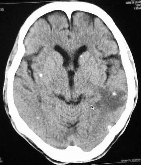
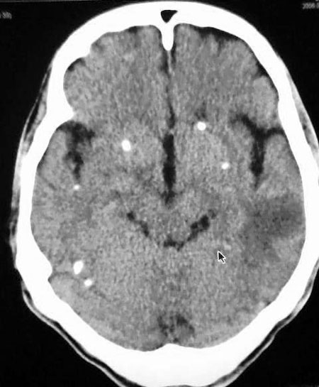
以下是引用守望可可西里在2006-9-6 8:01:00的发言:[br][br] “国内文献进行了脑囊虫病的ct分期:①活动期: ct标志为头节、囊壁、囊液同时存在,分为脑实质小囊型与脑室型;②退变死亡期:ct标志为头节消失、囊腔肿大、虫体崩解,分为单发或多发小囊型、大囊型、葡萄状囊丛型、脑炎型、脑内小脓肿型、脑梗塞型、脑膜炎性③钙化期:标志为囊虫灶转为高密度的钙化结节;④混合期:为活动期、退变期、钙化期病灶混合存在。”[br] 本病例左颞叶、右颞顶叶低密度影,无占位表现,病灶极似脑梗塞。但双侧病灶中偏边缘部位还是有圆形钙化灶,可以考虑为虫体钙化。再加上脑实质内见散在的不对称圆形钙化,其形态类似“大米粒状”,本例应该考虑是脑囊虫病,分期为混合期。
| 欢迎光临 医影在线 (http://bbs.radida.com/bbs/) | Powered by Discuz! X3.2 |