医影在线

标题: CT4563:腹部CT,请讨论。 [打印本页]

作者: 卜一    时间: 2006-9-6 17:03
标题: CT4563:腹部CT,请讨论。
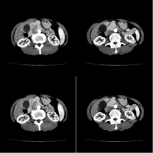
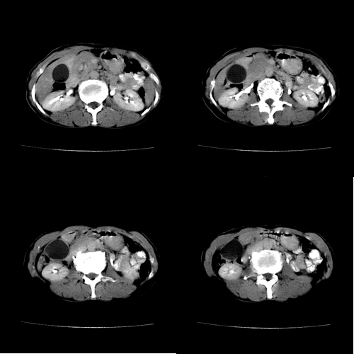
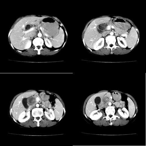
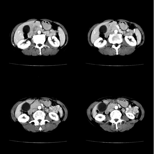
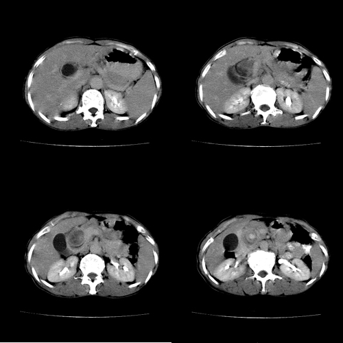
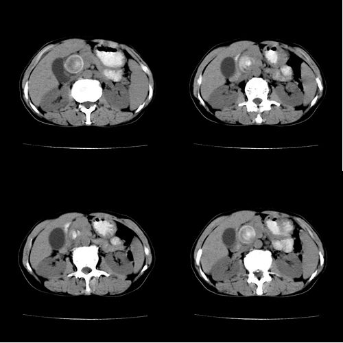
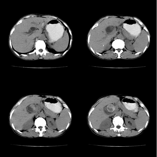
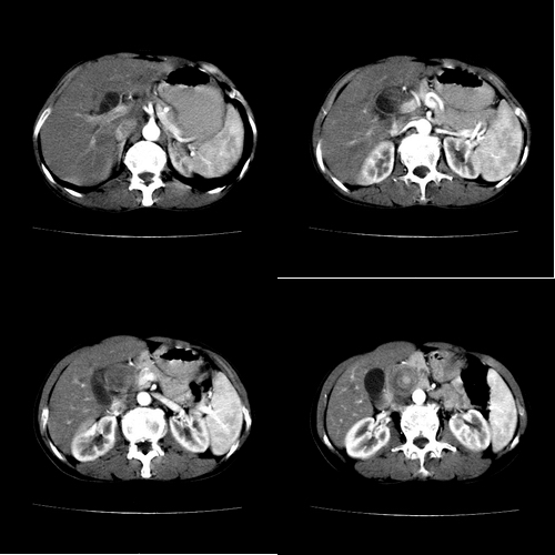
患者 女 60岁,曾多年胆结石及胆管结石,今行ct复查,非常经典.现上传,请讨论.










[本贴已被 翁志蓬 于 2006-9-6 22:35:59 修改过]

作者: 卜一    时间: 2006-9-6 17:06
对不起,第8幅应位于第6幅前.
作者: dyqct    时间: 2006-9-6 17:53
典型的胆总管铸型结石。
作者: haha215315    时间: 2006-9-6 17:55
好图.
作者: 子期    时间: 2006-9-6 18:14
好图
作者: suncl    时间: 2006-9-6 18:31
典型,楼主辛苦了
作者: yijianqingyuan0    时间: 2006-9-6 19:44
支持胆总管结石。胆囊增大受压,肝内胆管及胰腺管无明显扩张。很有意思的病例,能有冠、矢状重建图像观察就更好了。
作者: wansheng    时间: 2006-9-6 20:39
真的典型,学习了!谢谢楼主!
作者: 奕帆    时间: 2006-9-6 20:48
相当漂亮的“总胆管(铸型)结石”。多谢楼主!
作者: 1390528    时间: 2006-9-6 20:49
学习了
作者: zhoucan076    时间: 2006-9-6 21:37
太典型!!!
作者: 晓方    时间: 2006-9-6 21:39
典型 谢楼主
作者: drzhang8888    时间: 2006-9-6 22:59
结石这么大,肝内胆管扩张不明显,胆囊扩张明显。能否考虑结石位于胆囊管内并外压总肝管?
作者: zjzjr    时间: 2006-9-6 23:21
胆总管结石。
作者: 飞虎    时间: 2006-9-6 23:51
胆总管结石
作者: 守望可可    时间: 2006-9-7 00:15
  胆总管内多层同心圆样结石,确属精典,谢谢卜一老师!
作者: liaoqiang    时间: 2006-9-7 00:48
典型。谢谢!
作者: elity69    时间: 2006-9-7 01:04
胆总管内多层同心圆样结石,确属精典,谢谢卜一老师!
作者: abcwangxiuyin    时间: 2006-9-7 01:29
胆总管内多层同心圆样结石,确属精典,谢谢卜一老师!
作者: ssmmxx    时间: 2006-9-7 01:51
典型的胆总管铸型结石。
作者: 江尾海头    时间: 2006-9-7 02:03
同心圆样改变.典型!这样的石子值多少钱?
作者: pj6789    时间: 2006-9-7 03:24
谢谢.学习了
作者: shangyisheng    时间: 2006-9-7 03:44
胆总管内多层同心圆样结石,确属精典,谢谢卜一老师
作者: 1983    时间: 2006-9-7 03:58
典型的胆总管铸型结石。
作者: 萍踪侠影    时间: 2006-9-7 04:28
肝内胆管扩张形态也支持胆总管结石的表现
作者: kangxiaobing    时间: 2006-9-7 04:59
蛔虫性结石
作者: 宝天曼    时间: 2006-9-7 05:55
xiexie 开阔了眼界
作者: dyg    时间: 2006-9-7 06:43
很好,典型。
作者: 拾荒者    时间: 2006-9-7 07:17
胆总管内多层同心圆样结石,确属精典,谢谢卜一老师。
作者: shenhs    时间: 2006-9-7 08:34
好片子.学习~~
作者: lushijun    时间: 2006-9-7 13:18
好,多谢!
作者: 扬仪    时间: 2006-9-7 14:18
果真非常经典!
作者: wangzhongliang    时间: 2006-9-7 20:56
可以,很有意思,又让我学习学习下,谢谢!
作者: shibing    时间: 2015-6-19 15:30
胆总管铸型结石。




欢迎光临 医影在线 (http://bbs.radida.com/bbs/) Powered by Discuz! X3.2