医影在线
标题: CT4565:Z[讨论]肺结核? [打印本页]
作者: 13081830109 时间: 2006-9-6 19:56
标题: CT4565:Z[讨论]肺结核?
(结果公布:http://www.radida.com/bbs/forum.php?mod=viewthread&tid=18444)
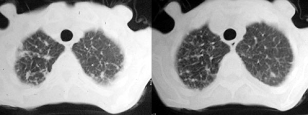
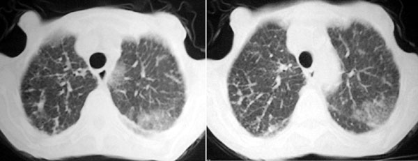
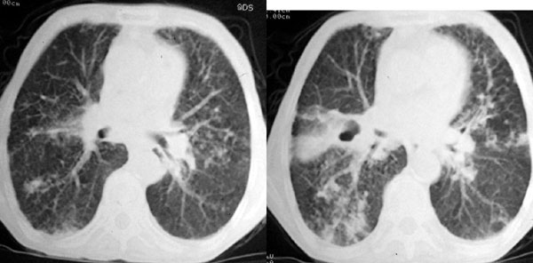
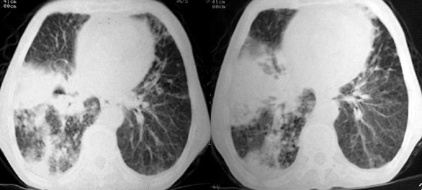
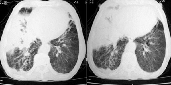
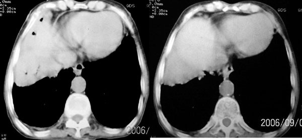
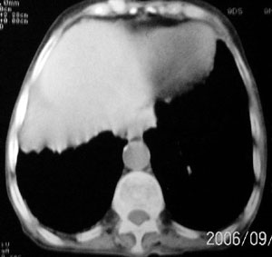
f 76 间断咳嗽 咳痰1年余 发热不明显 身体削瘦













[本贴已被 翁志蓬 于 2006-9-6 23:15:40 修改过]
[本贴已被 翁志蓬 于 2006-12-9 20:33:35 修改过]
[本贴已被 翁志蓬 于 2007-2-25 22:14:43 修改过]
作者: lj0804 时间: 2006-9-6 20:09
肺癌肺内转移。
癌性淋巴管炎。
少量胸腔积液
作者: 江尾海头 时间: 2006-9-6 20:46
考虑结核伴空洞形成。三维重建,除外膈疝。
作者: 晓方 时间: 2006-9-6 21:08
支持1楼
作者: chenjian1800 时间: 2006-9-6 21:30
考虑肺癌
作者: 奕帆 时间: 2006-9-6 21:36
征象:
1、右肺中叶近肺门区可见一空洞样病灶,内壁不规则,有与邻近支气管相通的征象,其外侧大片肺组织软组织状实变,余肺可见散在点、片絮状密度增高影,肺纹理可见明显增粗及串珠样改变;
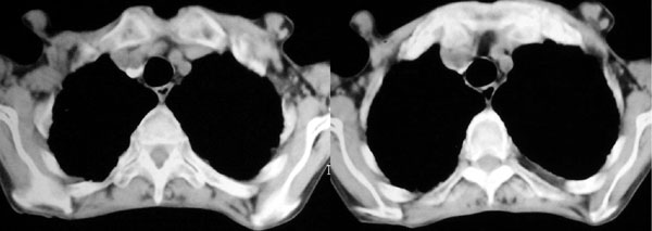
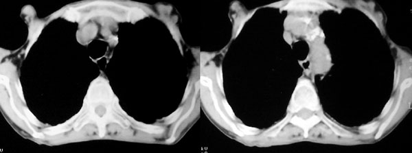
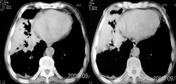
2、纵隔气管前、隆突下、内乳组、心右前间隙以及右侧腋窝内均可见肿大的淋巴结节;
3、右侧胸膜增厚粘连,胸腔少量积液征像;
4、其它征像略。
诊断意见:
1、右侧中央型(空洞性)肺癌并双肺受累(包括转移、阻塞性炎症、癌性淋巴管炎);纵隔、右侧腋窝内淋巴结肿大、转移;右侧胸膜增厚粘连,胸腔少量积液;
2、双上肺陈旧性结核。
3、慢性支气管炎、肺气肿。
作者: 卜一 时间: 2006-9-6 22:59
征象:
1、右肺中叶近肺门区可见一空洞样病灶,内壁不规则,有与邻近支气管相通的征象,其外侧大片肺组织软组织状实变,余肺可见散在点、片絮状密度增高影,肺纹理可见明显增粗及串珠样改变;
2、纵隔气管前、隆突下、内乳组、心右前间隙以及右侧腋窝内均可见肿大的淋巴结节;
3、右侧胸膜增厚粘连,胸腔少量积液征像;
4、其它征像略。
诊断意见:
1、右侧中央型(空洞性)肺癌并双肺受累(包括转移、阻塞性炎症、癌性淋巴管炎);纵隔、右侧腋窝内淋巴结肿大、转移;右侧胸膜增厚粘连,胸腔少量积液;
2、双上肺陈旧性结核。
3、慢性支气管炎、肺气
支持!支持!支持!
作者: dyqct 时间: 2006-9-6 23:23
支持6楼意见.
作者: 飞虎 时间: 2006-9-6 23:28
间质纤维化 肺结核 进一步痰检 或支气管刷洗检查
作者: 守望可可 时间: 2006-9-6 23:55
标题: 回复:[讨论]肺结核?
以下是引用奕帆在2006-9-6 13:36:00的发言:[br]征象:[br]1、右肺中叶近肺门区可见一空洞样病灶,内壁不规则,有与邻近支气管相通的征象,其外侧大片肺组织软组织状实变,余肺可见散在点、片絮状密度增高影,肺纹理可见明显增粗及串珠样改变;[br]2、纵隔气管前、隆突下、内乳组、心右前间隙以及右侧腋窝内均可见肿大的淋巴结节;[br]3、右侧胸膜增厚粘连,胸腔少量积液征像;[br]4、其它征像略。[br]诊断意见:[br]1、右侧中央型(空洞性)肺癌并双肺受累(包括转移、阻塞性炎症、癌性淋巴管炎);纵隔、右侧腋窝内淋巴结肿大、转移;右侧胸膜增厚粘连,胸腔少量积液;[br]2、双上肺陈旧性结核。[br]3、慢性支气管炎、肺气肿。
支持!但稍有异议,就是除了右腋窝淋巴结肿大外,其余淋巴结肿大的征象不确切。余则无条件支持!
作者: liaoqiang 时间: 2006-9-7 00:46
支持6楼意见。
作者: 小同少一氏 时间: 2006-9-7 00:47
所见的有淋巴结肿大的区是有密度增高的软组织影,但不能排除的tb,老年性tb有其不典型之表现,不管是临床还是影像学。考虑tb,不排除合并瘢痕,建议痰检。
作者: 天天快乐 时间: 2006-9-7 01:00
1、两肺结核,并右肺下叶干酪性肺炎及空洞形成,建议支气管镜检查,除外新生物。
2、慢支合并肺气肿。
3、右侧胸膜肥厚、粘连。
作者: ssmmxx 时间: 2006-9-7 02:06
肺结核
作者: qian 时间: 2006-9-7 03:02
两肺斑片,索条状、结节影,考虑结核的可能大。
作者: 1983 时间: 2006-9-7 03:51
1、右侧中央型(空洞性)肺癌并双肺受累(包括转移、阻塞性炎症、癌性淋巴管炎);纵隔、右侧腋窝内淋巴结肿大、转移;右侧胸膜增厚粘连,胸腔少量积液;
2、双上肺陈旧性结核。
3、慢性支气管炎、肺气肿。(限局性)
作者: yuhg 时间: 2006-9-7 05:47
肺癌可能性大
作者: 宝天曼 时间: 2006-9-7 05:50
1、右侧中央型肺癌
2 慢支 肺气肿
作者: dyg 时间: 2006-9-7 06:41
诊断意见:1、右侧中央型肺癌并肺内胸膜转移;2、双肺广泛间质纤维化。
鉴别诊断:肺结核。
作者: 拾荒者 时间: 2006-9-7 07:08
首先考虑肺结核,但肺癌不能排除,建议结合其他检查。
作者: jiangjing 时间: 2006-9-7 07:56
肺癌肺内转移[细支气管肺泡癌]。
癌性淋巴管炎。
少量胸腔积液
作者: haha215315 时间: 2006-9-7 16:57
肺癌空洞形成.
作者: 广西医四 时间: 2006-9-7 23:20
肺结核并支气管播散
作者: dyqct 时间: 2006-12-10 06:30
治疗结果收到。谢谢楼主!!
作者: 拾荒者 时间: 2006-12-10 06:34
收到“结果”,期待进一步回访检查。
作者: 守望可可 时间: 2006-12-10 06:53
病例隔的太久了,今天打开后在没有看结果之前,浏览着图片感觉象是结核,完全否定了自己以前的诊断。然后又是楼主的回访结果证实,真汗颜啊......不知道老师们有没有类似的感觉,猛然回首,发现自己以前的疏漏后惊出一身冷汗.....
作者: jinguoji 时间: 2006-12-10 22:26
收到。谢谢!
作者: 求知若渴 时间: 2006-12-11 04:30
标题: 回复:ct4565:[讨论]肺结核?
以下是引用守望可可西里在2006-9-6 15:55:00的发言:[br][quote]以下是引用奕帆在2006-9-6 13:36:00的发言:[br]征象:[br]1、右肺中叶近肺门区可见一空洞样病灶,内壁不规则,有与邻近支气管相通的征象,其外侧大片肺组织软组织状实变,余肺可见散在点、片絮状密度增高影,肺纹理可见明显增粗及串珠样改变;[br]2、纵隔气管前、隆突下、内乳组、心右前间隙以及右侧腋窝内均可见肿大的淋巴结节;[br]3、右侧胸膜增厚粘连,胸腔少量积液征像;[br]4、其它征像略。[br]诊断意见:[br]1、右侧中央型(空洞性)肺癌并双肺受累(包括转移、阻塞性炎症、癌性淋巴管炎);纵隔、右侧腋窝内淋巴结肿大、转移;右侧胸膜增厚粘连,胸腔少量积液;[br]2、双上肺陈旧性结核。[br]3、慢性支气管炎、肺气肿。
[br] 支持!但稍有异议,就是除了右腋窝淋巴结肿大外,其余淋巴结肿大的征象不确切。余则无条件支持![/quote]
作者: 福娃 时间: 2006-12-11 06:52
标题: 回复:ct4565:[讨论]肺结核?
以下是引用奕帆在2006-9-6 13:36:00的发言:[br]征象:[br]1、右肺中叶近肺门区可见一空洞样病灶,内壁不规则,有与邻近支气管相通的征象,其外侧大片肺组织软组织状实变,余肺可见散在点、片絮状密度增高影,肺纹理可见明显增粗及串珠样改变;[br]2、纵隔气管前、隆突下、内乳组、心右前间隙以及右侧腋窝内均可见肿大的淋巴结节;[br]3、右侧胸膜增厚粘连,胸腔少量积液征像;[br]4、其它征像略。[br]诊断意见:[br]1、右侧中央型(空洞性)肺癌并双肺受累(包括转移、阻塞性炎症、癌性淋巴管炎);纵隔、右侧腋窝内淋巴结肿大、转移;右侧胸膜增厚粘连,胸腔少量积液;[br]2、双上肺陈旧性结核。[br]3、慢性支气管炎、肺气肿。
作者: 雪狼141 时间: 2006-12-11 06:55
结果收到,多谢楼主的精彩病例。
作者: zxczxc 时间: 2010-9-16 19:11
双上肺继发型肺结核
| 欢迎光临 医影在线 (http://bbs.radida.com/bbs/) |
Powered by Discuz! X3.2 |