医影在线
标题: CT4588:是出血吗? [打印本页]
作者: whli 时间: 2006-9-10 18:16
标题: CT4588:是出血吗?
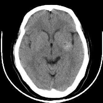
44 f,平时头晕,有高血压病史,近日加重。其它检查无异常。




[本贴已被 翁志蓬 于 2006-9-10 22:51:19 修改过]
作者: 宝天曼 时间: 2006-9-10 18:35
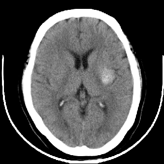
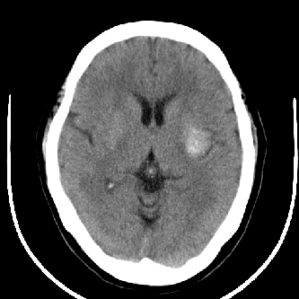
图象ct值是多少?品眼看密度像出血但周围没有水肿带也没有占位效应很难说
作者: ree66 时间: 2006-9-10 19:06
有肢体活动障碍吗?离左侧内囊后肢很近。不像是出血,如果是出血吸收期,周围应该有水肿
作者: dyqct 时间: 2006-9-10 19:25
做个增强吧,除外海绵状血管瘤或肿瘤。
作者: cyr188 时间: 2006-9-10 19:26
海绵状血管瘤
作者: 3576819 时间: 2006-9-10 19:28
有无肢体障碍,灶内点状的高密度影,建议增强ct扫描!
作者: chendan 时间: 2006-9-10 20:12
血管瘤 钙质沉着
作者: ssmmxx 时间: 2006-9-10 20:26
血管瘤?脑膜瘤?
作者: drzhang8888 时间: 2006-9-10 20:40
结合病史考虑出血可能要大。
作者: 守望可可 时间: 2006-9-10 21:32
出血不考虑。
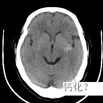
尽管密度类似于出血,但其密度明显不均匀,中间有多枚小点状致密影似钙化。同时,病灶周围没有水肿,没有占位效应,临床又没有其他症状。
首先考虑动静脉畸形,建议增强。
作者: yuhg 时间: 2006-9-10 21:33
海绵状血管瘤,建议mri
作者: liuyue 时间: 2006-9-10 21:42
脑出血可能性大,建议强化除外脑血管畸形或血管瘤之可能.
作者: 飞虎 时间: 2006-9-10 23:23
考虑 动静脉畸形 海棉状血管瘤 进一步增强检查
作者: 乡医 时间: 2006-9-10 23:23
44 f,平时头晕,有高血压病史。
有沙砾样钙化,考虑血管瘤。建议增强。
作者: jone-baby 时间: 2006-9-11 00:18
海绵状血管瘤可能性大
作者: 逸风 时间: 2006-9-11 00:30
标题: 回复:是出血吗?
以下是引用乡医在2006-9-10 15:23:00的发言:[br]44 f,平时头晕,有高血压病史。[br]有沙砾样钙化,考虑血管瘤。建议增强。
支持海绵状血管瘤.
作者: wxy7406 时间: 2006-9-11 01:07
考虑出血,建议mri检查,增强扫描鉴别效果可能不是很好。
作者: realzyc 时间: 2006-9-11 01:17
首先考虑avm,其次血管瘤,再者出血
作者: 东北 时间: 2006-9-11 02:10
海绵状血管瘤
作者: cefcmj 时间: 2006-9-11 02:38
标题: 回复:是出血吗?
暂不考虑出血,多考虑海绵状血管瘤;结核球;或脑膜瘤可能。

作者: qinwei260 时间: 2006-9-11 02:50
考虑动静脉畸形,建议增强
作者: kbzyycm 时间: 2006-9-11 02:52
结合病史考虑出血可能要大
作者: 同 时间: 2006-9-11 03:02
考虑血管瘤可能性大
作者: chenqiong 时间: 2006-9-11 03:12
考虑血管畸形可能大,建议增强检查
作者: 奕帆 时间: 2006-9-11 03:21
我也不支持出血
作者: zylcq608 时间: 2006-9-11 03:41
海绵状血管瘤可能,建议增强
作者: mzh123 时间: 2006-9-11 03:55
标题: 回复:是出血吗?
以下是引用守望可可西里在2006-9-10 13:32:00的发言:[br][br] 出血不考虑。[br] 尽管密度类似于出血,但其密度明显不均匀,中间有多枚小点状致密影似钙化。同时,病灶周围没有水肿,没有占位效应,临床又没有其他症状。[br] 首先考虑动静脉畸形,建议增强。
作者: fanxiaowu 时间: 2006-9-11 03:55
新人发表:就个人意见来说,首先我不会考虑“出血”尽管他有高血压病史,从病灶来看,病灶周边无水肿改变,病变密度不均,内见不点状钙化影,无占位效应,那么“肿瘤”是不是也不太可能呢!非常支持10楼的观点。
作者: liu.hui.yang 时间: 2006-9-11 04:41
标题: 回复:是出血吗?
以下是引用逸风在2006-9-10 16:30:00的发言:[br][quote]以下是引用乡医在2006-9-10 15:23:00的发言:[br]44 f,平时头晕,有高血压病史。[br]有沙砾样钙化,考虑血管瘤。建议增强。
[br]支持海绵状血管瘤.[/quote]
作者: shangyisheng 时间: 2006-9-11 05:09
44 f,平时头晕,有高血压病史。
有沙砾样钙化,考虑血管瘤。建议增强。
作者: 晓杰 时间: 2006-9-11 05:17
海绵状血管瘤伴出血
作者: 袁张锋 时间: 2006-9-11 05:23
海绵状血管瘤,建议增强或mri.
作者: 子期 时间: 2006-9-11 05:46
海绵状血管瘤
作者: yzt222 时间: 2006-9-11 05:49
同意10楼的意见
作者: wangzhanshuang 时间: 2006-9-11 05:54
脑血管畸形
作者: 放牧人 时间: 2006-9-11 06:05
灶内钙化.逮议ct增强.
作者: 岩光蛋 时间: 2006-9-11 06:11
做个增强,初步推断是血管类疾病
作者: 拾荒者 时间: 2006-9-11 16:29
左侧豆状核后部不均匀高密度影,中间有斑点状钙化灶,周围无水肿及占位效应,考虑血管瘤。
作者: haha215315 时间: 2006-9-11 16:38
考虑出血.
作者: 朱鸿俊 时间: 2006-9-11 17:06
恰好前几天我们这里也看到类似片子,不过是位于右侧侧脑室前角及尾状核的地方。开始考虑出血,后来根据形状(没有液平)、密度(中间有点状致密影)、边缘(无水肿带)。增强后血管影位于其周边,病灶没有强化等征象综合考虑脑膜瘤钙化。我想这个应该类似吧?不知各位老师们认为?图象未能上传,见谅!
作者: zjzjr 时间: 2006-9-11 17:29
不像出血。
作者: whli 时间: 2006-9-13 18:35
标题: 是出血吗?
病人做了mr,诊断为:海绵状血管瘤.
[本贴已被 whli 于 2006-9-15 9:24:35 修改过]
作者: xiangchao1981 时间: 2006-9-13 20:21
考虑脑血管畸形建议核磁
作者: 轻扣夕阳 时间: 2006-9-13 20:31
应该不是出血,新鲜出血的ct值大概是63hz,三天以后是73hz,这个的密度不像,另外是混杂密度,不是出血,强化以后看看吧!!!
作者: dushiguo2006 时间: 2006-9-13 21:55
考虑脑血管畸形建议核磁
作者: abcwangxiuyin 时间: 2006-9-13 21:55
脑血管畸形
作者: swyyy2006 时间: 2006-9-14 04:03
考虑动静脉畸形,建议增强
作者: elity69 时间: 2006-9-14 04:41
出血不考虑。
尽管密度类似于出血,但其密度明显不均匀,中间有多枚小点状致密影似钙化。同时,病灶周围没有水肿,没有占位效应,临床又没有其他症状。
首先考虑动静脉畸形,建议增强。
作者: 流星1234 时间: 2006-9-14 05:33
灶周无水肿及占位效应,考虑脑动静脉畸形,建议强化扫描
作者: syfszcw 时间: 2006-9-14 06:34
这样的肯定不考虑出血啊!考虑血管瘤。
作者: shibing 时间: 2015-6-19 15:34
首先考虑动静脉畸形,建议增强。
| 欢迎光临 医影在线 (http://bbs.radida.com/bbs/) |
Powered by Discuz! X3.2 |