医影在线
标题: X1010:胸部(肺)---请分析! [打印本页]
作者: lzdyjg 时间: 2006-9-10 19:22
标题: X1010:胸部(肺)---请分析!
女性,22岁,体检病例.结果:http://www.radida.com/bbs/forum.php?mod=viewthread&tid=15784


[本贴已被 cefcmj 于 2006-9-10 17:58:47 修改过]
[本贴已被 lzdyjg 于 2006-12-16 0:10:58 修改过]
[本贴已被 zhw974247 于 2006-12-19 19:39:42 修改过]
作者: dyqct 时间: 2006-9-10 19:30
考虑粟粒型肺结核,建议ct扫描进一步确诊,另外查一下血象、血沉。
作者: lth7110 时间: 2006-9-11 01:27
追问病史吧
作者: 高飞 时间: 2006-9-11 02:56
双肺弥漫性病变,需行ct检查。结核不像,肺泡微石征可能。结节病也有此表现。请指正。
作者: shmilyycy 时间: 2006-9-11 03:11
标题: 回复:x1010:胸片-目的:共同提高
以下是引用高飞在2006-9-10 18:56:00的发言:[br]双肺弥漫性病变,需行ct检查。结核不像,肺泡微石征可能。结节病也有此表现。请指正。
作者: 无名小草 时间: 2006-9-11 04:36
肺肾综合征可能性大
作者: jinguoji 时间: 2006-9-11 05:32
结核不像,双肺弥漫性病变,需行ct检查。
作者: 蓝色忍狐 时间: 2006-9-11 05:40
肺泡微石征
作者: 清风无痕 时间: 2006-9-11 06:08
考虑粟粒型肺结核。问病史,血象、血沉检查
作者: zhangxiangjun 时间: 2006-9-11 07:06
???建议辅助检查
作者: gzzyyxw 时间: 2006-9-11 17:29
首先考虑:淋巴道肺转移,详细询问病史,有无绒癌,宫颈癌、乳腺癌等。胸片显示双肺病变均以两侧肺门为中心向周围肺野呈放射状分布,有类似于淋巴管炎样改变,两侧胸腔有少量胸水,可能有胸膜转移。
两肺尖区病变分布少,肺内病灶不像结核的“粟粒结节”三均匀和三不均匀,因此可以排除粟粒型结核。
作者: gzzyyxw 时间: 2006-9-11 17:35
1 首先考虑:淋巴道肺转移,详细询问病史,有无绒癌,宫颈癌、乳腺癌等。胸片显示双肺病变均以两侧肺门为中心向周围肺野呈放射状分布,有类似于淋巴管炎样改变,两侧胸腔有少量胸水,可能有胸膜转移。
两肺尖区病变分布少,肺内病灶不像结核的“粟粒结节”三均匀和三不均匀,因此可以排除粟粒型结核。
2 其次考虑:间质性肺水肿,但可能性不大。
作者: haha215315 时间: 2006-9-11 18:05
需提供临床资料.单从片子不好下结论.
作者: 87204141 时间: 2006-9-11 19:29
水肿
作者: yangjian_fzzyy 时间: 2006-9-11 22:21
肺泡微石症!
作者: yedeng 时间: 2006-9-11 23:01
肺泡微石症
作者: 向武昌 时间: 2006-9-12 01:03
诊断:肺泡微石症.
作者: jiangjing 时间: 2006-9-12 04:44
考虑肺水肿[心脏病,肾功衰,肺肾综合征]
作者: 晓方 时间: 2006-9-12 07:10
没啥临床症状应先考虑肺泡微石症,问问从事啥职业
作者: 飞虎 时间: 2006-9-12 16:30
两肺间质及渗出改变 进一步ct检查 [应问病史]
作者: tzw136 时间: 2006-9-12 17:02
双肺弥漫性病变,需行ct检查.考虑(1)转移,建议追问病史.(2)肺泡微石征.(3)矽肺.(4)肺结核.(5)其它
作者: elity69 时间: 2006-9-12 18:59
没啥临床症状应先考虑肺泡微石症,问问从事啥职业
作者: lxj909 时间: 2006-9-13 01:39
肺泡微石征可能
作者: lzdyjg 时间: 2006-9-13 02:57
诊断:家族性肺泡微结石症
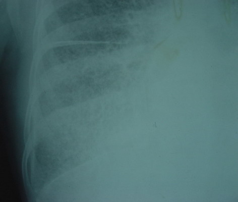
诊断依据:1、胸片可见弥漫性细针尖高密度影;2、 水平裂,右侧胸膜,左侧心包膜钙化;3、肺野透亮度自肺尖至下肺野明显减低;4、临床症状和胸部x线表现不相称;5、动员其家庭成员胸片检查,再次发现其同胞姐姐胸部有相同表现(八十年代没ct);6、随访至今两姐妹生活良好,临床症状稍显加重。
肺泡微结石症较少见,病因尚不明。病理改变:(1)肺泡腔内可见无数呈同心圆排列的微小结石,直径0.01~3.0 mm。少数微石位于肺泡壁或肺间质内。肺泡内无炎性反应。(2)肺泡壁早期正常,随病程进展可有炎性细胞浸润和间质增生,晚期间质纤维化和巨细胞形成使肺泡壁增厚,并发生肺大泡。(3)病程晚期可并发肺动脉高压和肺源性心脏病。部分病例有家族性,多数病例均无局部或全身症状,但在晚期病例,由于肺功能不全,在运动后有气急,逐渐发展到呼吸困难,并有紫绀、咳嗽、咳痰等。病程多缓慢,10-20年不等。x线表现为两肺满布细小沙粒状阴影,直径为0.3-1mm,密度很高,超过肋骨密度,边缘光滑,形态不规则。此种沙粒状阴影多孤立,不融合,下肺野较上肺野为多。hrct表现:(1)粟粒状结节钙化影:表现为两肺弥漫性分布的钙质细粒,直径1~2 mm,边缘清楚,部分可融合成较大结节。(2)线状钙化影:指位于脏层胸膜下的肺表面薄层线状钙质沉着,多见于舌段和中叶的前外侧面。此外可见胸膜和心包增厚及钙化。(3)肺大泡和肺气囊:为多发的沿胸膜下分布的含气囊腔影,破裂后可合并气胸。(4)网状条索影:为晚期肺间质纤维化的表现。(5)肺内病变进展缓慢,可维持十几年无明显改变。
鉴别诊断:粟粒型肺结核、矽肺、转移瘤等
相关链接http://www.ee120.com/yxtk/showarticle.asp?articleid=1369
作者: ltx6518 时间: 2006-9-13 03:55
肺泡微石症可能性大,不排除结节病.
作者: 永远求知者 时间: 2006-9-13 04:14
两肺弥漫磨玻璃样密度增高并见网线状影,结核?含铁血黄素沉着?密切讯问病史.
作者: hejie 时间: 2006-9-13 23:14
肺泡微石征
作者: 影像后继 时间: 2006-9-16 07:16
肺泡微石症
作者: 眼睛 时间: 2006-12-20 02:48
很好
可以出书啦
作者: 呆子 时间: 2006-12-20 03:14
很好
可以出书啦
作者: 永远求知者 时间: 2006-12-20 03:17
两肺弥漫磨玻璃样改变,中下肺为主,两侧少量胸水,右侧叶间裂增厚,感觉肺间质性病变为主,肺胶原病?
作者: zhw974247 时间: 2006-12-20 03:43
结果收到,谢谢罗老师好病例!
作者: liuzheng_9326 时间: 2006-12-20 08:31
双肺弥漫性病变,凭直观我任为是肺水肿?
看了结果.学习了!!1
作者: jinguoji 时间: 2007-1-23 06:38
结果收到。谢谢楼主提供的好病例
作者: wy232326 时间: 2007-9-23 22:18
家族性肺泡微石症
学习了 谢谢楼主
作者: peijunlong 时间: 2008-6-9 02:57
断:家族性肺泡微石症
诊断依据:1、胸片可见弥漫性细针尖高密度影;2、 水平裂,右侧胸膜,左侧心包膜钙化;3、肺野透亮度自肺尖至下肺野明显减低;4、临床症状和胸部x线表现不相称;5、动员其家庭成员胸片检查,再次发现其同胞姐姐胸部有相同表现(附图-八十年代没ct);6、随访至今两姐妹生活良好,临床症状稍显加重。
肺泡微石症较少见,病因尚不明。病理改变:(1)肺泡腔内可见无数呈同心圆排列的微小结石,直径0.01~3.0 mm。少数微石位于肺泡壁或肺间质内。肺泡内无炎性反应。(2)肺泡壁早期正常,随病程进展可有炎性细胞浸润和间质增生,晚期间质纤维化和巨细胞形成使肺泡壁增厚,并发生肺大泡。(3)病程晚期可并发肺动脉高压和肺源性心脏病。部分病例有家族性,多数病例均无局部或全身症状,但在晚期病例,由于肺功能不全,在运动后有气急,逐渐发展到呼吸困难,并有紫绀、咳嗽、咳痰等。病程多缓慢,10-20年不等。x线表现为两肺满布细小沙粒状阴影,直径为0.3-1mm,密度很高,超过肋骨密度,边缘光滑,形态不规则。此种沙粒状阴影多孤立,不融合,下肺野较上肺野为多。hrct表现:(1)粟粒状结节钙化影:表现为两肺弥漫性分布的钙质细粒,直径1~2 mm,边缘清楚,部分可融合成较大结节。(2)线状钙化影:指位于脏层胸膜下的肺表面薄层线状钙质沉着,多见于舌段和中叶的前外侧面。此外可见胸膜和心包增厚及钙化。(3)肺大泡和肺气囊:为多发的沿胸膜下分布的含气囊腔影,破裂后可合并气胸。(4)网状条索影:为晚期肺间质纤维化的表现。(5)肺内病变进展缓慢,可维持十几年无明显改变。
鉴别诊断:粟粒型肺结核、矽肺、转移瘤等
作者: xccwdp 时间: 2008-6-9 18:15
弥漫性间质性病变
作者: xccwdp 时间: 2008-6-9 18:18
好病例啊
作者: EEDOS 时间: 2008-6-9 18:58
肺泡微石症!
作者: yrjw 时间: 2008-6-20 04:05
肺泡微石征
作者: shibing 时间: 2014-2-13 08:56
建议ct进一步检查。
| 欢迎光临 医影在线 (http://bbs.radida.com/bbs/) |
Powered by Discuz! X3.2 |