




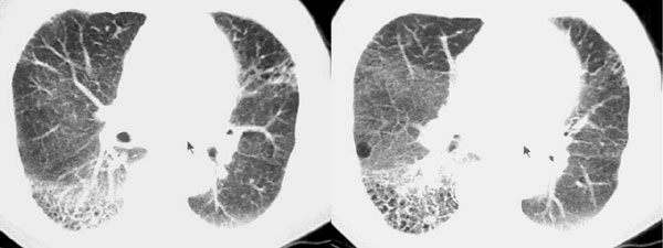
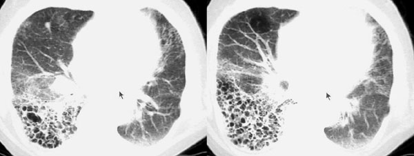
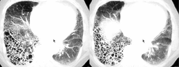
以下是引用dyqct在2006-9-10 13:57:00的发言:[br]右肺下叶呈蜂窝状改变;左且舌段亦见多数条状高密度影,边界不清,下叶见多数磨玻璃样影,并可见胸膜下线。[br]考虑:间质纤维化(后期改变,蜂窝肺)伴感染、支气管扩张。
以下是引用dyqct在2006-9-10 13:57:00的发言:[br]右肺下叶呈蜂窝状改变;左且舌段亦见多数条状高密度影,边界不清,下叶见多数磨玻璃样影,并可见胸膜下线。[br]考虑:间质纤维化(后期改变,蜂窝肺)伴感染、支气管扩张。
以下是引用袁张锋在2006-9-10 21:28:00的发言:[br]右肺下叶呈蜂窝状改变;左且舌段亦见多数条状高密度影,边界不清,下叶见多数磨玻璃样影,并可见胸膜下线。[br]考虑:间质纤维化(后期改变,蜂窝肺)伴感染、支气管扩张。
| 欢迎光临 医影在线 (http://bbs.radida.com/bbs/) | Powered by Discuz! X3.2 |