



















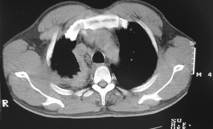
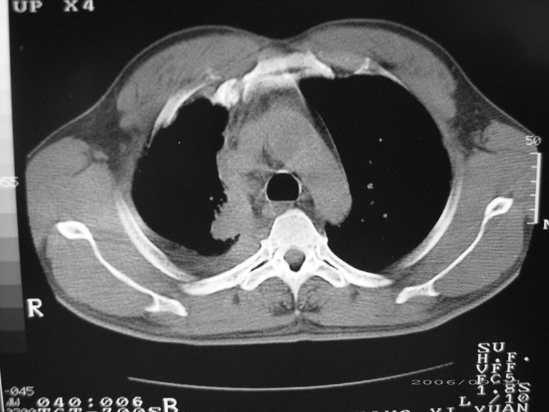
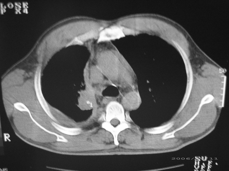
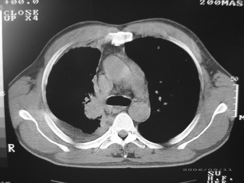
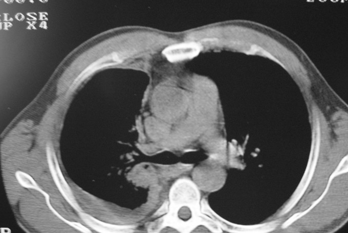
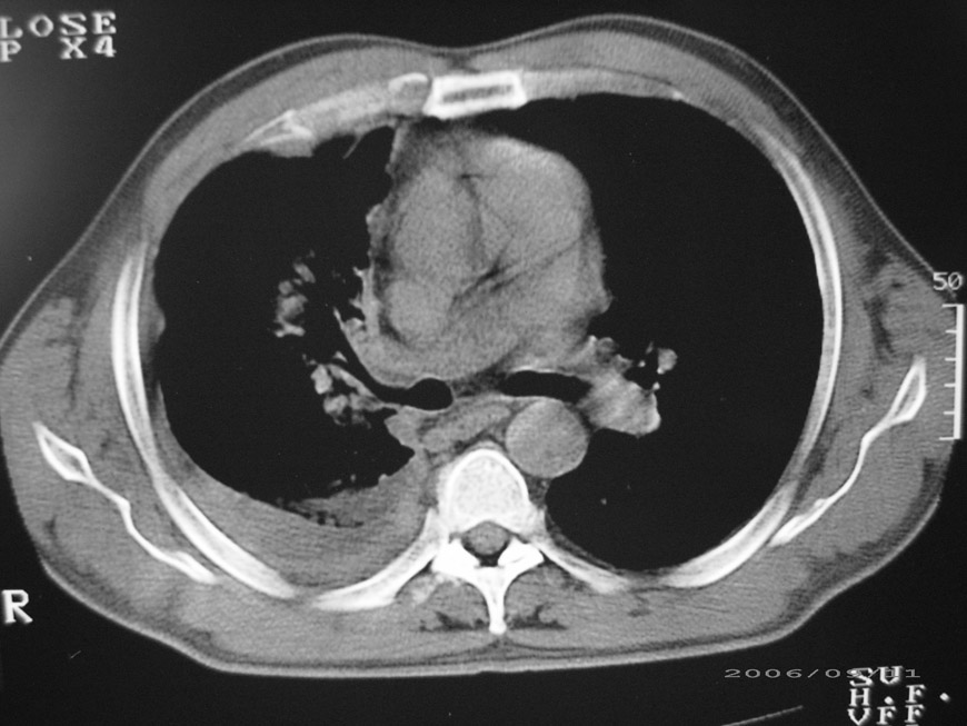
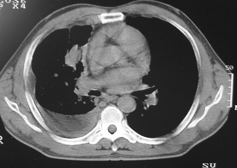
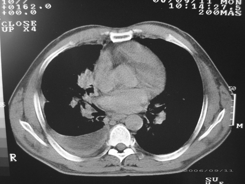
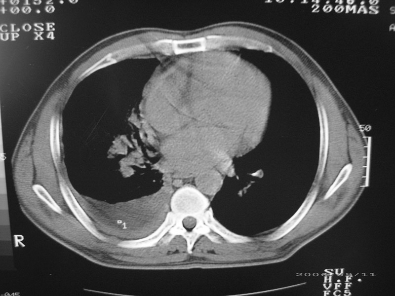
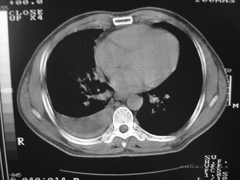
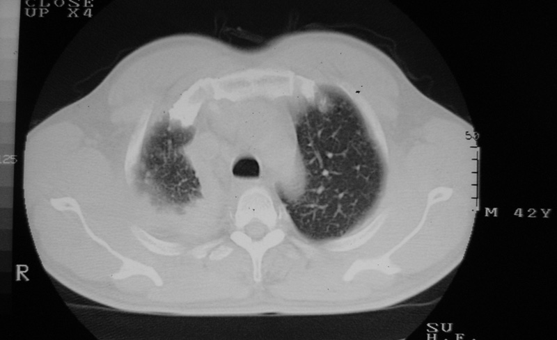
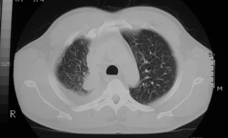
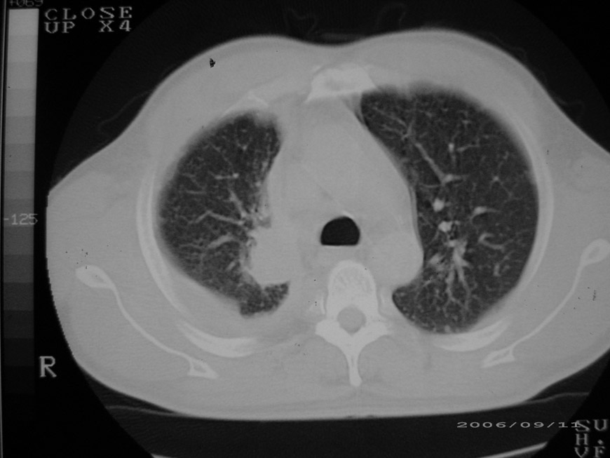
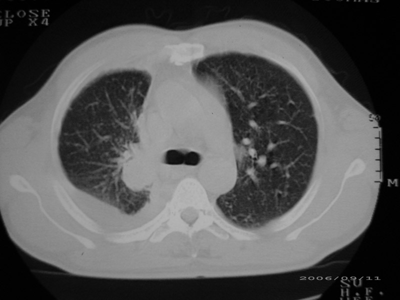
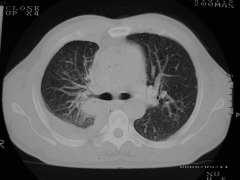
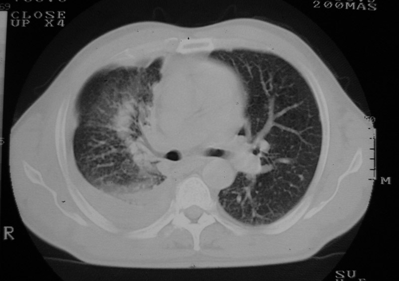
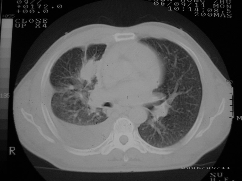
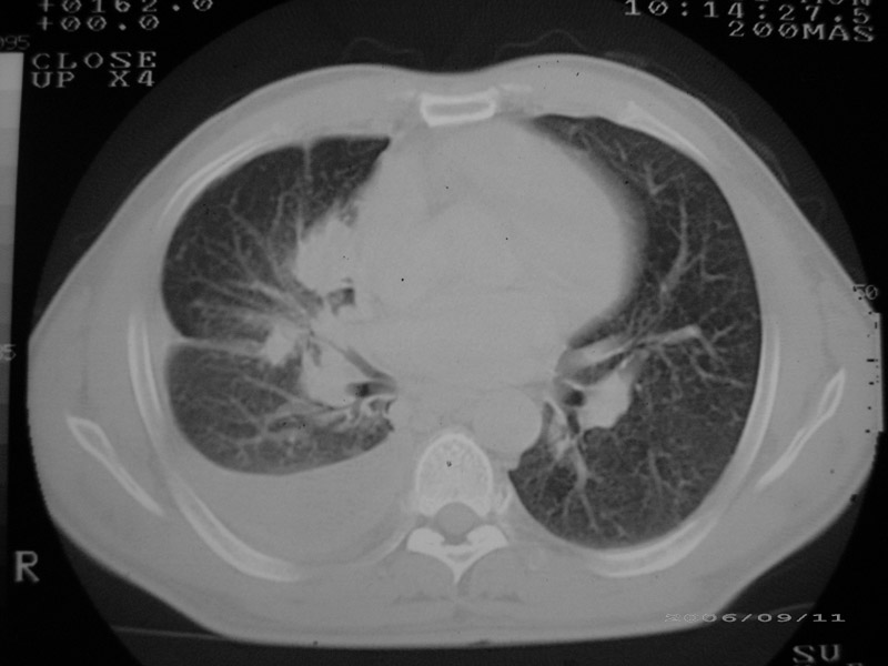
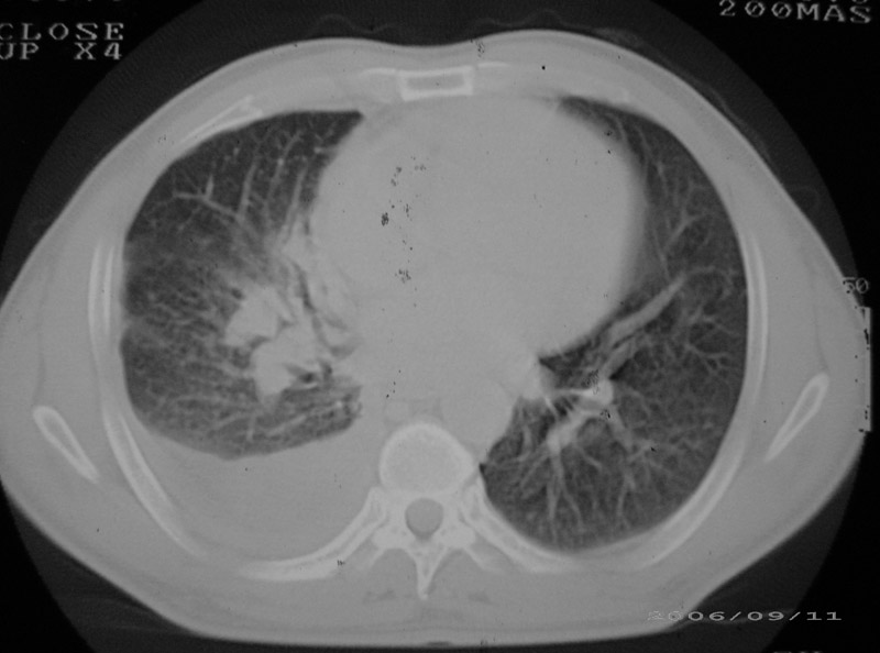
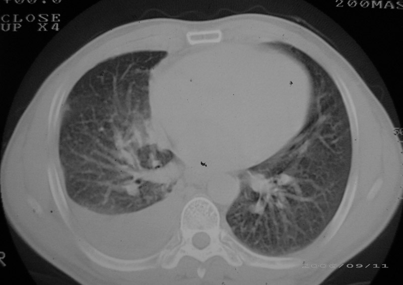
以下是引用守望可可西里在2006-9-11 15:29:00的发言:[br][br] ct平扫表现:右侧胸膜腔缩小,积液,胸膜增厚且不均匀、不规则,以纵隔胸膜增厚为主,边缘呈锯齿状,并见附壁内突之结节状肿块影。右肺含气量减少,纹理聚集,右肺门中下部见数个肿大的淋巴结。纵隔无移位,内未见明显肿大淋巴结,双侧主支气管以及各叶、段支气管比较通畅。。[br] 考虑:右侧胸膜恶性间皮瘤,伴肺门淋巴结转移。

| 欢迎光临 医影在线 (http://bbs.radida.com/bbs/) | Powered by Discuz! X3.2 |