























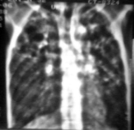
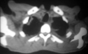
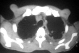
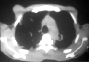
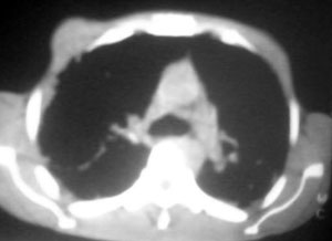
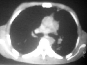
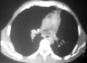
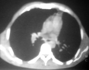
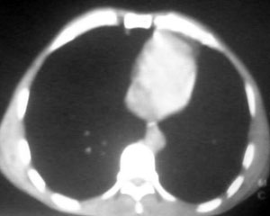
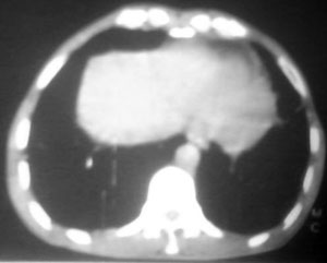
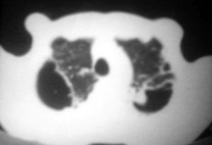
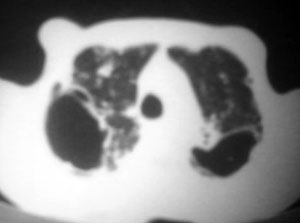
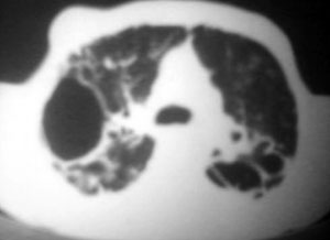
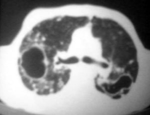
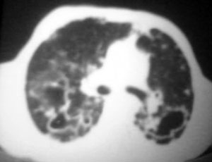
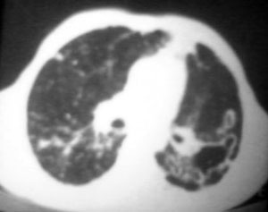
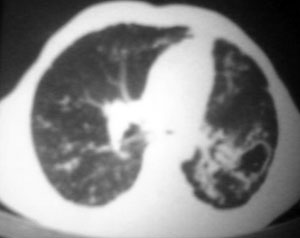
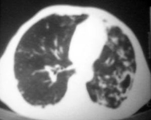
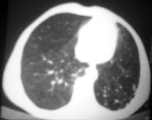
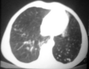
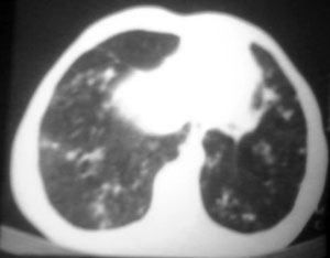
以下是引用逸风在2006-9-12 14:57:00的发言:[br]ct显示双肺上叶点片状及纤维索条状密度不均影,肺野外带近胸膜可见大小不等的含气空腔,壁略厚,境界清晰,未见液平面,中下肺野散在小片状及点状高密度影;纵隔内显示点状钙化,未见明显淋巴结肿大,构成胸廓诸骨未见明显异常.[br]诊断意见:1.双肺结核合并支气管播散;2.双肺上肺大泡.
以下是引用逸风在2006-9-12 14:57:00的发言:[br]ct显示双肺上叶点片状及纤维索条状密度不均影,肺野外带近胸膜可见大小不等的含气空腔,壁略厚,境界清晰,未见液平面,中下肺野散在小片状及点状高密度影;纵隔内显示点状钙化,未见明显淋巴结肿大,构成胸廓诸骨未见明显异常.[br]诊断意见:1.双肺结核合并支气管播散;2.双肺上肺大泡.
| 欢迎光临 医影在线 (http://bbs.radida.com/bbs/) | Powered by Discuz! X3.2 |