医影在线

标题: CT4607:看看这个头颅冠状位。 [打印本页]

作者: frzh    时间: 2006-9-12 19:37
标题: CT4607:看看这个头颅冠状位。
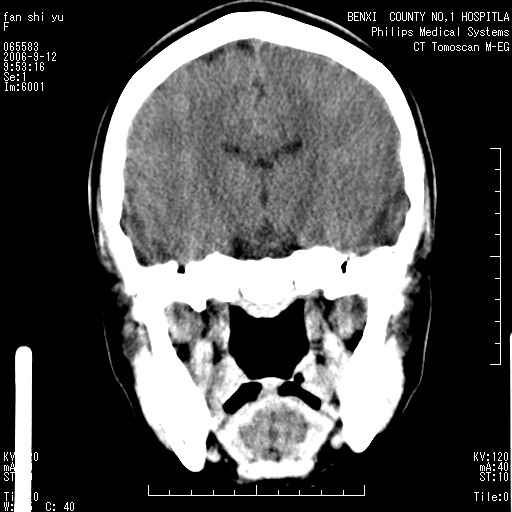
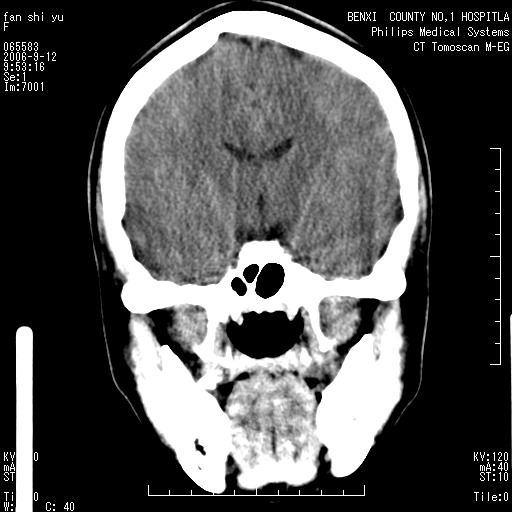
女,22岁,自觉头顶部质硬包块.















[本贴已被 jiajie 于 2006-9-12 12:20:05 修改过]

作者: 子期    时间: 2006-9-12 19:48
考虑蛛网膜粒压迹
作者: 同    时间: 2006-9-12 19:57
考虑蛛网膜粒压迹
作者: dyqct    时间: 2006-9-12 22:30
巨大蛛网膜粒压迹。
作者: 飞虎    时间: 2006-9-12 22:39
为何没有轴位扫描 考虑蛛网膜囊肿压迹 可mr检查确诊
作者: 晓杰    时间: 2006-9-12 22:48
考虑:蛛网膜囊肿压迹 建议作mri检查确诊
作者: 逸风    时间: 2006-9-12 23:08
支持蛛网膜粒压迹的诊断.
作者: 漫步云端    时间: 2006-9-13 01:02
支持蛛网膜粒压迹的诊断
作者: guoj7304    时间: 2006-9-13 01:07
支持蛛网膜粒压迹的诊断
作者: 东北    时间: 2006-9-13 01:52
巨大蛛网膜粒压迹
作者: elity69    时间: 2006-9-13 02:08
支持蛛网膜粒压迹的诊断.
作者: huanhuan    时间: 2006-9-13 02:43
支持蛛网膜粒压迹的诊断.
作者: shangyisheng    时间: 2006-9-13 03:45
支持蛛网膜粒压迹的诊断
作者: chenqiong    时间: 2006-9-13 03:53
支持蛛网膜粒压迹的诊断
作者: dushiguo2006    时间: 2006-9-13 03:53
支持蛛网膜粒压迹的诊断
作者: 1983    时间: 2006-9-13 04:43
考虑蛛网膜粒压迹
作者: drzhang8888    时间: 2006-9-13 05:20
支持蛛网膜粒压迹的诊断。
作者: 守望可可    时间: 2006-9-13 05:33
众口一词,支持大家!
作者: yuhg    时间: 2006-9-13 05:41
支持
作者: 拾荒者    时间: 2006-9-13 05:41
蛛网膜粒压迹应该没什么疑义。
作者: zzpcon    时间: 2006-9-13 05:51
支持蛛网膜粒压迹
作者: sunjie    时间: 2006-9-13 06:03
顶孔?
作者: zhenwei3    时间: 2006-9-13 06:26
巨大蛛网膜粒压迹
作者: 1390528    时间: 2006-9-13 06:40
大家都说是我还说蛛网膜颗粒压迹.
作者: 袁张锋    时间: 2006-9-13 06:48
蛛网膜粒压迹
作者: ssmmxx    时间: 2006-9-13 07:05
蛛网膜粒压迹
作者: shenhs    时间: 2006-9-13 11:35
考虑蛛网膜粒压迹
作者: 宝天曼    时间: 2006-9-13 15:10
考虑:蛛网膜囊肿压迹 建议作mri检查确诊
作者: liuyue    时间: 2006-9-13 15:59
支持蛛网膜粒压迹
作者: yzt222    时间: 2006-9-13 16:09
支持蛛网膜粒压迹
作者: haha215315    时间: 2006-9-13 16:52
标题: 回复:ct4607:看看这个头颅冠状位。
以下是引用东北在2006-9-12 17:52:00的发言:[br]巨大蛛网膜粒压迹

作者: swyyy2006    时间: 2006-9-14 04:52
支持
作者: shibing    时间: 2015-6-21 14:49
巨大蛛网膜粒压迹




欢迎光临 医影在线 (http://bbs.radida.com/bbs/) Powered by Discuz! X3.2