医影在线

标题: CT4608:[原创]颅脑CT平扫 [打印本页]

作者: 同    时间: 2006-9-12 19:51
标题: CT4608:[原创]颅脑CT平扫
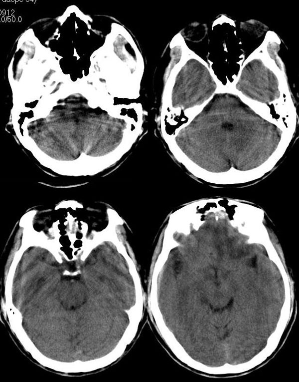
男 54岁 头痛,恶心,患者不同意增强扫描。





[本贴已被 jiajie 于 2006-9-12 12:52:29 修改过]

作者: hurb    时间: 2006-9-12 20:02
左额叶低密度病灶,其前上部分见等高密度影,占位征象明显,首先考虑胶质瘤。又有点象小结节大水肿的转移瘤表现,不知病史多长了,
作者: w_jianhua    时间: 2006-9-12 20:43
左侧额叶白质区不规则略高密度影,周围见广泛水肿,左侧脑室受压变形,右侧额叶亦可见一小低密度影,多考虑转移瘤,建议肺部检查
作者: zsy1116    时间: 2006-9-12 21:10
首先考虑转移瘤,查找原发灶,先查肺部,右额叶是不是也有小病灶啊,如不做增强,可做mri。
作者: zsy1116    时间: 2006-9-12 21:12
首先考虑转移瘤,查找原发灶,先查肺部,右额叶是不是也有小病灶啊,如不做增强,可做mri。
作者: 逸风    时间: 2006-9-12 21:17
考虑转移瘤或胶质细胞瘤.建议增强或mr检查.
作者: 飞虎    时间: 2006-9-12 22:27
双侧额叶等低密度灶 左侧有明显占位效应 考虑 转移瘤 可进一步mr检查确诊
作者: dyqct    时间: 2006-9-12 22:32
不同意增强只能诊断为左额叶占位性病变,无法定性。
作者: 晓杰    时间: 2006-9-12 22:55
左侧额叶不规则等、低混杂密度影,周围见广泛水肿,左侧脑室受压变形,右侧额叶亦可见一小低密度影,多考虑转移瘤,建议作mri检查
作者: zhaojun7202    时间: 2006-9-12 23:14
高度怀疑转移,也不除外原发,胶质瘤!!
作者: sun123456    时间: 2006-9-12 23:25
支持
作者: 守望可可    时间: 2006-9-12 23:30
  左额叶等、高混杂密度片块状病灶,灶周水肿明显,占位效应明显。单看此病灶的确象胶质母细胞瘤,但右额叶、四脑之左后部、脑干亦见数处大小不等片状低密度区,还是首先考虑转移瘤。
作者: 东北    时间: 2006-9-13 01:49
转移瘤或胶质细胞瘤
作者: huanhuan    时间: 2006-9-13 02:58
左侧额叶不规则等、低混杂密度影,周围见广泛水肿,左侧脑室受压变形,右侧额叶亦可见一小低密度影,多考虑转移瘤,建议作mri检查
作者: 兰兰    时间: 2006-9-13 03:55
水肿范围大,考虑转移瘤
作者: drzhang8888    时间: 2006-9-13 05:18
左侧额叶不规则等、低混杂密度影,周围见广泛水肿,左侧脑室受压变形,右侧额叶亦可见一小低密度影,多考虑转移瘤,建议作mri检查  
   

huanhuan说
作者: 拾荒者    时间: 2006-9-13 05:49
标题: 回复:ct4608:[原创]颅脑ct平扫
以下是引用w_jianhua在2006-9-12 12:43:00的发言:[br]左侧额叶白质区不规则略高密度影,周围见广泛水肿,左侧脑室受压变形,右侧额叶亦可见一小低密度影,多考虑转移瘤,建议肺部检查

支持。
作者: zzpcon    时间: 2006-9-13 06:00
左侧额叶不规则略高密度影,周围见广泛水肿,左侧脑室受压变形,多考虑转移瘤,建议进一步检查查找原发灶。
作者: 流星1234    时间: 2006-9-13 06:24
多考虑脑转移瘤
作者: 奕帆    时间: 2006-9-13 06:58
就是恶性占位性病变(转移瘤),建议查找原发病灶。
强调前面的战友们提及到的,双侧额叶都有。
作者: 1390528    时间: 2006-9-13 06:59
1.胶质细胞瘤,2.转移瘤.
作者: ssmmxx    时间: 2006-9-13 07:10
.胶质细胞瘤
作者: xylmj123    时间: 2006-9-13 07:14
怀疑转移瘤,不除外胶质瘤,建议增强或mri
作者: 宝天曼    时间: 2006-9-13 15:09
考虑转移瘤可能性大不排除胶质细胞瘤
作者: liuyue    时间: 2006-9-13 15:57
首先考虑转移瘤。
作者: yzt222    时间: 2006-9-13 16:15
患者没有外伤吗?
作者: haha215315    时间: 2006-9-13 16:53
标题: 回复:ct4608:[原创]颅脑ct平扫
以下是引用逸风在2006-9-12 13:17:00的发言:[br]考虑转移瘤或胶质细胞瘤.建议增强或mr检查.

作者: hhcckk    时间: 2006-9-13 17:23
肿瘤是要考虑的,不知有什么病史,如有没有外伤,颅内出血吸收期也不能排除掉
作者: 娅楠    时间: 2006-9-13 18:17
考虑胶质瘤
作者: kbzyycm    时间: 2006-9-13 20:50
考虑转移瘤或胶质细胞瘤.建议增强或mr检查.
作者: jinguoji    时间: 2006-9-13 21:04
首先考虑转移瘤,查找原发灶,先查肺部,右额叶也有小病灶啊,如不做增强,可做mri。
作者: swyyy2006    时间: 2006-9-14 04:02
考虑转移瘤,建议肺部检查,
作者: shibing    时间: 2015-6-21 14:49
高度怀疑转移,也不除外原发,胶质瘤!!




欢迎光临 医影在线 (http://bbs.radida.com/bbs/) Powered by Discuz! X3.2