医影在线

标题: CT4609:头部病变 [打印本页]

作者: 聂新建    时间: 2006-9-12 23:41
标题: CT4609:头部病变
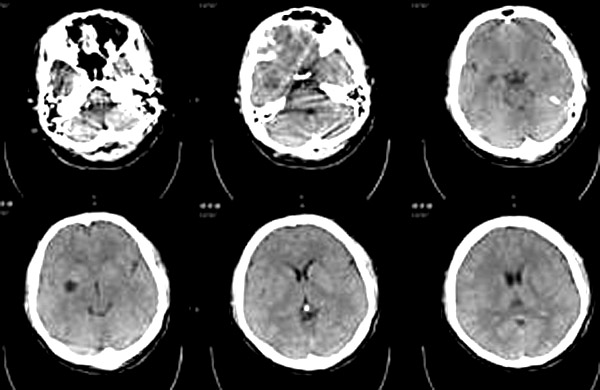
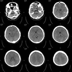
患者男,21岁,外伤时发现右侧基底节区有低密度影,问了既往史,无异常



[本贴已被 翁志蓬 于 2006-9-12 16:53:42 修改过]

作者: 聂新建    时间: 2006-9-12 23:46
图象太小了,请看下一个题目
作者: a2468    时间: 2006-9-13 00:11
脉络膜囊肿
作者: 东北    时间: 2006-9-13 01:48
脉络膜囊肿可能
作者: huanhuan    时间: 2006-9-13 02:15
标题: 回复:ct4609:头部病变
建议磁共振检查,血管周围间隙扩大不能除外
作者: cjyywk    时间: 2006-9-13 02:47
支持脉絡膜囊肿
作者: 逸风    时间: 2006-9-13 03:03
标题: 回复:ct4609:头部病变
图象放大有些不自然!!郁闷

还是考虑脉络膜裂囊肿.
作者: 同    时间: 2006-9-13 03:31
多考虑脉络膜囊肿
作者: dushiguo2006    时间: 2006-9-13 03:49
多考虑脉络膜囊肿
作者: 13081830109    时间: 2006-9-13 04:25
支持脉络膜囊肿
作者: 1983    时间: 2006-9-13 04:39
虑脉络膜囊肿  建议增强扫描或mr
作者: 守望可可    时间: 2006-9-13 04:47
标题: 回复:ct4609:头部病变
以下是引用同在2006-9-12 19:31:00的发言:[br]多考虑脉络膜囊肿

   图片太小,看不清,放大后更影响效果。不过,我对脉络膜囊肿存有疑惑,请同及诸位老师指教,先感谢了!

作者: drzhang8888    时间: 2006-9-13 05:16
脉络膜囊肿。
作者: yuhg    时间: 2006-9-13 05:24
mri
作者: guduchunmeng    时间: 2006-9-13 05:30
应该是脉络膜裂囊肿。
作者: 拾荒者    时间: 2006-9-13 05:53
还是考虑脉络膜裂囊肿。
作者: 袁张锋    时间: 2006-9-13 05:59
支持脉络膜囊肿
作者: liuyue    时间: 2006-9-13 15:29
支持脉絡膜囊肿
作者: 飞虎    时间: 2006-9-13 17:19
图象太小啊 进一步mr检查
作者: lj0804    时间: 2006-9-13 18:48
请教各位:
谁能说明一下,“脉络裂”的具体解剖位置
作者: 晓杰    时间: 2006-9-13 20:46
多考虑脉络膜囊肿  建议作mri检查
作者: kbzyycm    时间: 2006-9-13 20:51
多考虑脉络膜囊肿
作者: jinguoji    时间: 2006-9-13 21:02
多考虑脉络膜囊肿  建议作mri检查
作者: shibing    时间: 2015-6-21 14:48
多考虑脉络膜囊肿




欢迎光临 医影在线 (http://bbs.radida.com/bbs/) Powered by Discuz! X3.2