医影在线
标题: CT4629:[分享]肺部 有结果 [打印本页]
作者: yzt222 时间: 2006-9-15 01:24
标题: CT4629:[分享]肺部 有结果
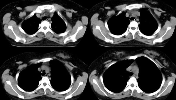
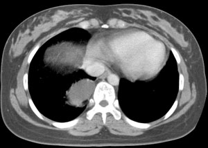
女,22岁,无明显症状




强化







[本贴已被 jiajie 于 2006-9-14 17:51:45 修改过]
作者: yzt222 时间: 2006-9-15 01:29
不好意思图象发乱了 结果一会公布
作者: shanghuaixue 时间: 2006-9-15 01:31
支气管囊肿
作者: huhong1111111 时间: 2006-9-15 01:35
1神经鞘瘤2食道囊肿
作者: hejie 时间: 2006-9-15 01:41
支持诊断:支气管囊肿。囊性病变无强化,无异常血管供血可排除肺隔离症,
作者: 东北 时间: 2006-9-15 02:22
支气管囊肿
作者: lzdyjg 时间: 2006-9-15 02:30
神经节细胞瘤
作者: 1390528 时间: 2006-9-15 02:55
纵隔占位,良性,1.支气管囊肿,2.神经源性
作者: dushiguo2006 时间: 2006-9-15 03:06
神经节细胞瘤
作者: 奕帆 时间: 2006-9-15 03:08
支持“支气管囊肿”。
作者: 同 时间: 2006-9-15 03:12
支持支气管囊肿
作者: 乡医 时间: 2006-9-15 03:17
c+没有强化,支持支气管囊肿
作者: winter 时间: 2006-9-15 03:22
好病例值得思考!
后纵隔长条形囊性密度影,增强扫描似乎有强化。病灶与食道关系很密切,但在下方几个层面又显得有些疏远。
考虑:神经源性肿瘤,以神经鞘瘤可能大。
鉴别:1、支气管囊肿,太长了,增强扫描似乎有强化。
2、食管囊肿,增强扫描似乎有强化。
作者: 高飞 时间: 2006-9-15 03:23
纵隔占位,神经源性的。前肠源性囊肿不典形。
作者: zcvzcv 时间: 2006-9-15 03:26
神经源肿瘤,良性可能性大。
作者: jiajie 时间: 2006-9-15 03:31
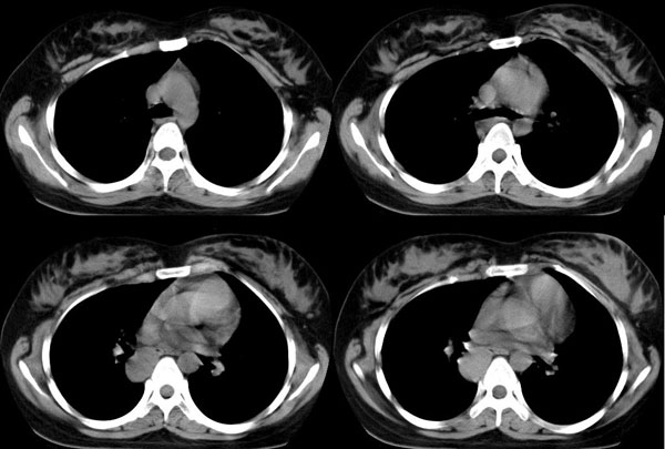
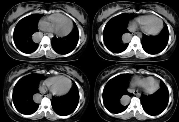
后纵隔食管右侧可见一囊性病灶,密度均匀,边缘光滑,未见钙化,与食管关系密切。无明显强化。
考虑食管囊肿。
鉴别:1、支气管囊肿,多位于气管或气管分叉前后。
2、神经源性肿瘤,实质性肿块,可压迫、侵蚀邻近骨质。
作者: LIMMM 时间: 2006-9-15 03:42
后纵隔食管右侧可见一囊性病灶,密度均匀,边缘光滑,未见钙化,与食管关系密切。无明显强化。
考虑食管囊肿。
作者: 守望可可 时间: 2006-9-15 03:51
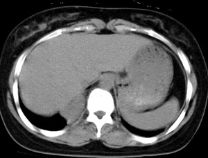
首先定位在肺内。肿块最大径在右下肺叶后基底段,胸椎椎体右边偏后部。与气管、食管无关,如果是支气管或食管囊肿应该有细蒂与之连接。肿块边缘光整、密度均匀一致、轻度均匀强化。右主支气管轻度受压,右肺含气量降低,右胸腔略萎陷。
定性:右下肺良性肿瘤。
1.平滑肌瘤。
2.纤维瘤?
作者: 李世军 时间: 2006-9-15 03:55
支持诊断:支气管囊肿。囊性病变无强化,无异常血管供血可排除肺隔离症,
瞎猜 良性病变 囊肿可能最性最大
作者: yzt222 时间: 2006-9-15 04:30
手术证实 支气管囊肿
作者: 逸风 时间: 2006-9-15 04:47
支持\"支气管囊肿\"的诊断.囊性病灶与食管分界尚清,暂不考虑.
作者: zlg 时间: 2006-9-15 04:55
右侧后纵隔内占位,来自神经源性可能性大。
作者: 拾荒者 时间: 2006-9-15 05:04
这么快就公布结果了?不过还是要谢谢,但从影像看,支气管囊肿、食管囊肿不好鉴别。
作者: 晓杰 时间: 2006-9-15 05:04
纵隔占位,良性,1.支气管囊肿,2.神经源性 3异位嗜洛细胞瘤
作者: 守望可可 时间: 2006-9-15 05:05
标题: 回复:ct4629:[分享]肺部 有结果
以下是引用yzt222在2006-9-14 20:30:00的发言:[br]手术证实 支气管囊肿
不好意思,原来是支气管囊肿啊。
自己分析一下误诊的原因,如果不对,请老师们指正:该肿瘤位于支气管分叉处,附着于右主支气管后外壁。因为病灶逐渐长大和重力的关系,呈水滴状下垂,故造成其最大径不在纵隔内的假象。轻度强化也是没有仔细和平扫对比给自己造成的假象。才疏学浅,没有仔细分析病例,也没有仔细体会各位老师的不同意见,草率之至,羞愧!
作者: 飞虎 时间: 2006-9-15 05:14
良性占位 囊肿可能性大
作者: 宝天曼 时间: 2006-9-15 05:55
考虑支气管囊肿可能性大
作者: dyqct 时间: 2006-9-15 06:22
学习了,少见征象.
作者: jinguoji 时间: 2006-9-15 06:43
支持诊断:支气管囊肿
作者: 1lidenlin 时间: 2006-9-15 06:50
支气管囊肿
作者: ssmmxx 时间: 2006-9-15 06:53
支气管囊肿
作者: hsx1208 时间: 2006-9-15 07:22
应该是支气管囊肿吧。
作者: zhenfangshou769 时间: 2006-9-15 15:25
后纵隔囊性占位性病变,多考虑为支气管或食管囊肿.
作者: njdzq2004 时间: 2006-9-15 17:08
支持“支气管囊肿”。
作者: suncl 时间: 2006-9-15 17:16
学习了!
作者: zjzjr 时间: 2006-9-15 17:17
支气管囊肿。
作者: 雪狼141 时间: 2006-9-15 19:37
多楼主同志的结果
作者: 谌贻荣 时间: 2006-9-15 21:46
支气管囊肿
作者: drzhang8888 时间: 2006-9-16 04:48
学习了!
作者: haha215315 时间: 2006-9-16 17:18
标题: 回复:ct4629:[分享]肺部 有结果
以下是引用1390528在2006-9-14 18:55:00的发言:[br]纵隔占位,良性,1.支气管囊肿,2.神经源性
作者: 朱磊 时间: 2006-9-19 06:34
标题: 手术证实:支气管囊肿。
手术证实:支气管囊肿。
支持诊断:支气管囊肿。囊性病变无强化,无异常血管供血可排除肺隔离症。
谢谢,学习了
[emb7][emb7][emb20][emb20]
[本贴已被 朱磊 于 2006-9-18 22:39:33 修改过]
作者: hexue 时间: 2009-8-9 08:23
谢谢 学习了
| 欢迎光临 医影在线 (http://bbs.radida.com/bbs/) |
Powered by Discuz! X3.2 |