医影在线

标题: X1022:这个骨盆 [打印本页]

作者: sihuiyong    时间: 2006-9-15 07:13
标题: X1022:这个骨盆
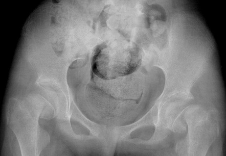
13岁女孩,主因两腿不能分2天就诊.追问病史:曾因癫痫发作,家人按髋部病史.既往史:生理发育欠佳,智力有障碍,说话不清.



[本贴已被 jiajie 于 2006-9-15 7:21:42 修改过]

作者: sihuiyong    时间: 2006-9-15 07:15
13岁女孩,主因两腿不能分2天就诊.追问病史:曾因癫痫发作,家人按髋部病史.既往史:生理发育欠佳,智力有障碍,说话不清.
作者: A3000    时间: 2006-9-15 09:28
两侧股骨颈骨折吧,片子不是很清楚啊。
作者: chen123    时间: 2006-9-15 16:41
支持二楼两侧股骨颈骨折的诊断,不边双侧同时骨折少见,我是第一次见到
作者: liaoqiang    时间: 2006-9-15 17:11
左侧股骨头骨骺明显向下移,考虑左侧股骨头骨骺分离。右侧显示欠清,注意排除同时存在右侧股骨头骨骺分离。
作者: 子期    时间: 2006-9-15 18:05
考虑神经性骨关节病.建议作脊髓mri
作者: dyqct    时间: 2006-9-15 18:33
应该项是双侧股骨颈骨折。
作者: junjian    时间: 2006-9-15 19:20
左侧股骨颈骨折明显,右侧可疑,建议ct进一步检查
作者: 奕帆    时间: 2006-9-15 20:20
支持6楼子期,不过可以先做个双髋关节ct扫描。
作者: 1390528    时间: 2006-9-15 21:04
根椐病史考虑两侧股骨颈陈旧性骨折畸形愈合
作者: 李    时间: 2006-9-15 21:05
看上去是双股骨颈骨折,怎么会是这样呢?
作者: whw7788    时间: 2006-9-15 21:22
脱位吧
作者: jiangjing    时间: 2006-9-16 01:32
较典型的髋内翻畸形
作者: drzhang8888    时间: 2006-9-16 03:53
双侧颈干角无明显变化 双髋外展位,不支持髋内翻畸型。结合病史考虑神经性骨关节病可能要大。
作者: jinguoji    时间: 2006-9-16 04:48
考虑神经性骨关节病可能要大。建议ct.
作者: 飞虎    时间: 2006-9-16 17:20
左侧股骨头分离 右侧股骨头分不除外
作者: lth7110    时间: 2006-9-16 21:22
双侧股骨头骨骺分离
作者: 扬仪    时间: 2006-9-16 22:01
较支持双侧股骨头骨骺明滑脱。
作者: liuyue    时间: 2006-9-16 22:45
双侧股骨颈骨折
作者: 落叶    时间: 2006-9-17 04:09
双侧股骨颈骨折伴干骺端移位
作者: 寒叶蛰夫    时间: 2006-9-17 10:33
软骨发育不良。
作者: cefcmj    时间: 2006-9-17 21:33
两侧股骨颈骨折。
作者: 实习医生    时间: 2006-9-17 22:35
考虑神经性骨关节病.建议作脊髓mri
作者: lhf8188    时间: 2006-9-18 04:46
双侧股骨颈骨折。
作者: dushiguo2006    时间: 2006-9-18 22:01
两侧股骨颈骨折。
作者: zhangkening    时间: 2006-9-19 02:53
这个病人好象是先天性发育异常吧
作者: ztbzyp    时间: 2006-9-19 03:59
双侧股骨颈骨折!
作者: zaiych    时间: 2008-11-25 06:35
髋内翻
作者: 987654zwf    时间: 2008-11-25 06:47
双侧股骨颈骨折,考虑神经性骨关节病可能。
作者: 一剑飘红    时间: 2008-11-28 22:19
骨够分离或骨够滑脱
作者: ljj88    时间: 2008-11-29 03:54
应该是双侧股骨颈骨折。
作者: yongbest    时间: 2008-12-1 18:43
双侧股骨头干骺分离
作者: shibing    时间: 2014-4-18 07:41
建议ct进一步检查




欢迎光临 医影在线 (http://bbs.radida.com/bbs/) Powered by Discuz! X3.2