医影在线
标题: CT4644:[原创]请问是否为颅骨骨折? [打印本页]
作者: tzw136 时间: 2006-9-16 23:47
标题: CT4644:[原创]请问是否为颅骨骨折?
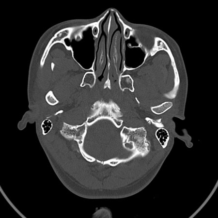
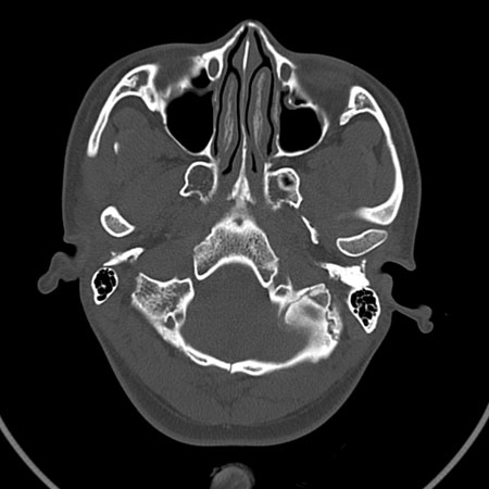
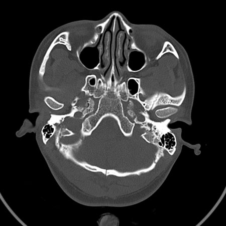
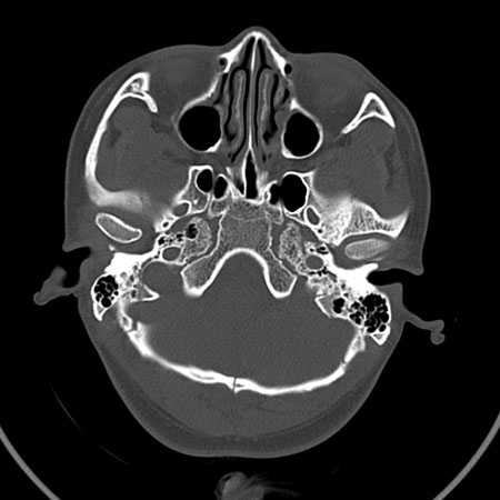
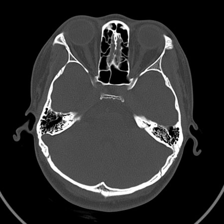
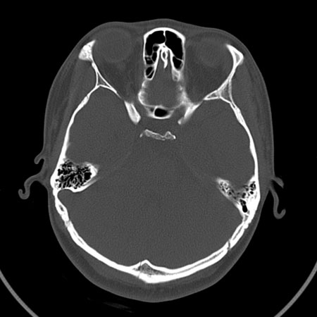
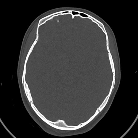
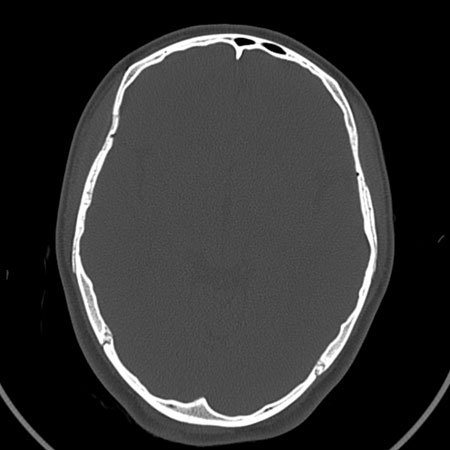
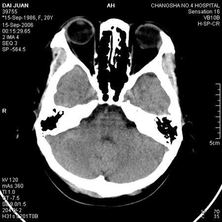
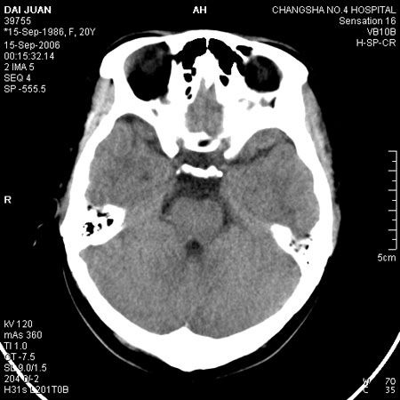
请问各位战友:图示箭头处是否为颅骨骨折?
病史:患者,女,20岁.头部及腹部外伤20分钟.伤后昏迷,无呕吐.头及右侧腰背部疼痛,双侧瞳孔等大,
右肾区叩痛.其它无异常.患者家属否认原有外伤史.
请大家看看是否为颅骨骨折.还是正常变异,或为陈旧骨折.谢谢.


















[本贴已被 jiajie 于 2006-9-17 11:21:27 修改过]
作者: 乡医 时间: 2006-9-16 23:48
?????在哪里??
作者: 奕帆 时间: 2006-9-17 01:34
正常。
作者: wnlyq8688 时间: 2006-9-17 02:22
正常颅缝
作者: shangyisheng 时间: 2006-9-17 04:01
什么颅缝呀
作者: jiajie 时间: 2006-9-17 04:28
图片未上传完,所见图象示枕骨线样低密度影,边缘锐利,结合外伤史,伤后昏迷,骨折不能除外。
作者: 守望可可 时间: 2006-9-17 05:08
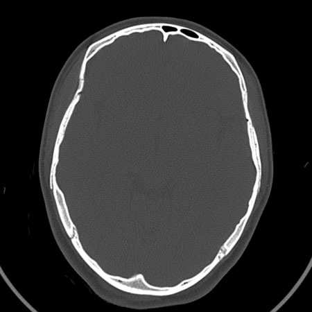
枕骨的线样低密度影锐利、清晰,但正好位于矢状缝的位置,局部无明显软组织肿块,相临及对冲部位脑实质亦无出血及挫裂伤表现。
单就这几层暂不考虑骨折,建议上传完整图片。
楼主所关心的另一个线样影应该是头颅矢状面略偏左,射线正好穿过所致,不需要考虑骨折。
作者: drzhang8888 时间: 2006-9-17 05:16
正常。
作者: dushiguo2006 时间: 2006-9-17 05:22
正常。
作者: dyg 时间: 2006-9-17 05:26
枕部锐利透亮线,可以考虑枕骨骨折.
作者: 中山医 时间: 2006-9-17 05:37
枕骨是单块的,矢状缝是在顶骨而不是在枕骨,枕骨后缘见线状低密度,边缘税利,考虑在骨折存在。
作者: 拾荒者 时间: 2006-9-17 06:08
枕后部及左侧颞枕部边缘锐利的线样低密度影,局部软组织无异常,左侧乳突蜂房密度均匀,硬膜下及脑实质内未见出血灶,考虑为正常变异。
作者: ssmmxx 时间: 2006-9-17 06:22
枕后部及左侧颞枕部边缘锐利的线样低密度影,局部软组织无异常,左侧乳突蜂房密度均匀,硬膜下及脑实质内未见出血灶,考虑为正常变异。
作者: jiangjing 时间: 2006-9-17 06:29
枕部锐利透亮线,可以考虑枕骨骨折.左侧枕颞缝。
作者: 朱磊 时间: 2006-9-17 07:21
正常颅缝发育变异,我遇到过没有外伤史的一个病人,同本病例一样,考虑变异,建议随访复查。
。
作者: 逸风 时间: 2006-9-17 08:34
枕部考虑骨折。一般的颅逢不会跨越板障,楼主所示枕骨断面两侧板障也不连续。
作者: lkc8963 时间: 2006-9-17 08:52
正常。
需注意软组织改变和皮质是否存在,如果皮质存在,线影锐利,既使局部外伤,亦不应诊为骨折,请酌!
另外,本例扫描体位不正,亦为影响判断之重要因素如颞枕缝!
作者: zhoucan076 时间: 2006-9-17 14:50
枕后部及左侧颞枕部边缘锐利的线样低密度影,局部软组织无异常,左侧乳突蜂房密度均匀,硬膜下及脑实质内未见出血灶,考虑为正常变异。
作者: lihuuuu 时间: 2006-9-17 15:18
标题: 回复:ct4644:[原创]请问是否为颅骨骨折?
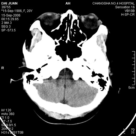
ct 扫描发现枕骨变异一例
温毅,张瑞萍,张延林,尹涛
患者男,19 岁。因头部外伤就诊。体检:营养、发育良好,五官对称,外观无畸形。右额部见局部皮肤青紫,无皮肤破损。ct 扫描:脑组织及颅外软组织未见异常;骨窗见枕骨中下部,由枕骨内、外隆凸至枕骨大孔处有一线样长约27 mm裂隙(图1、2),宽约1 .0 mm。边缘光滑、硬化,贯穿枕骨内外板。颅骨无
凹陷及移位征象。

讨论: 胚胎学研究证实,枕骨发源于脊椎而不是颅骨,在胚胎形成40 ~ 42 体节时,前部5 个体节形成
枕骨。枕骨基底部和鳞部各有一个骨化中心,还有两个枕骨外侧部[1],分别出现于胚胎的第7 周及第8 周。本例枕骨枕鳞部骨缝可能与枕骨各骨化中心发育障碍有关。经枕骨隆凸至枕大孔处骨缝变异极为罕见,易误诊为骨折,细致观察骨缝边缘是否有硬化和软组织是否肿胀即可与骨折相鉴别。
参考文献
1 施增儒,秦志宏,王中秋,主编. 脑先天性遗传性疾病ct、mir
诊断学. 上海:上海科学技术文献出版社,1997,41
(收稿:2006 - 02 - 05 修回:2006 - 04 - 21)
临床放射学杂志2006 年第25 卷第6 期· 501 ·
__
[本贴已被 lihuuuu 于 2006-9-17 7:20:32 修改过]
作者: wansheng 时间: 2006-9-17 17:24
未见异常。
作者: haha215315 时间: 2006-9-17 17:25
询问一下受伤倒地情况,不能排除骨折.
作者: 宝天曼 时间: 2006-9-17 17:45
考虑枕骨骨折
作者: tzw136 时间: 2006-9-17 17:50
标题: 回复:ct4644:[原创]请问是否为颅骨骨折?
对不起,颅骨图片还没传完,现补上.请大家再看.[download]upload/forum/2006/09/1709462327902.rar[/download]
[download]upload/forum/2006/09/1709465327902.rar[/download]
[download]upload/forum/2006/09/1709471727902.rar[/download]
[download]upload/forum/2006/09/1709474627902.rar[/download]
[download]upload/forum/2006/09/1709481527902.rar[/download]
[download]upload/forum/2006/09/1709484127902.rar[/download]
[download]upload/forum/2006/09/1709490727902.rar[/download]
[download]upload/forum/2006/09/1709493327902.rar[/download]
作者: tzw136 时间: 2006-9-17 17:53
请管理员将后面上传的图片合在一起,便于大家讨论.谢谢.
作者: xcct 时间: 2006-9-17 19:08
枕骨骨折,另外一处不考虑骨折
作者: 1983 时间: 2006-9-17 21:02
考虑枕骨骨折.
作者: liugh 时间: 2006-9-18 05:58
绝对不是新鲜骨折!!!!
考虑正常变异!!
作者: 拾荒者 时间: 2006-9-18 06:12
谢谢19楼lihuuuu战友提供对比片。
作者: 程军建 时间: 2006-9-19 23:49
上图
箭头1:骨缝
箭头2:骨折不能排除
作者: 一身快乐 时间: 2010-12-23 14:56
枕骨线样低密度影,不排除骨折
作者: 随光逐影 时间: 2010-12-23 17:29
未见明显骨折征象。
作者: 8389wwoo 时间: 2011-12-4 10:42
标题: Re:回复:ct4644:[原创]请问是否为颅骨骨折?
引用第18楼lihuuuu于2006-09-17 15:18发表的 回复:ct4644:[原创]请问是否为颅骨骨折? :
ct 扫描发现枕骨变异一例
温毅,张瑞萍,张延林,尹涛
患者男,19 岁。因头部外伤就诊。体检:营养、发育良好,五官对称,外观无畸形。右额部见局部皮肤青紫,无皮肤破损。ct 扫描:脑组织及颅外软组织未见异常;骨窗见枕骨中下部,由枕骨内、外隆凸至枕骨大孔处有一线样长约27 mm裂隙(图1、2),宽约1 .0 mm。边缘光滑、硬化,贯穿枕骨内外板。颅骨无
凹陷及移位征象。
.......
学习了
| 欢迎光临 医影在线 (http://bbs.radida.com/bbs/) |
Powered by Discuz! X3.2 |