医影在线

标题: DSA0053:史歌介入专辑04:肝动脉药物灌注介入术 [打印本页]

作者: 翁志蓬    时间: 2006-9-17 08:39
标题: DSA0053:史歌介入专辑04:肝动脉药物灌注介入术
男性,47岁。ct平扫加增强扫描提示“肝左外叶肝癌”。
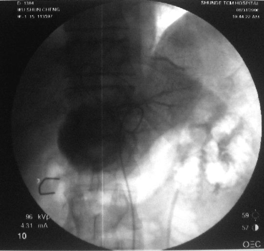
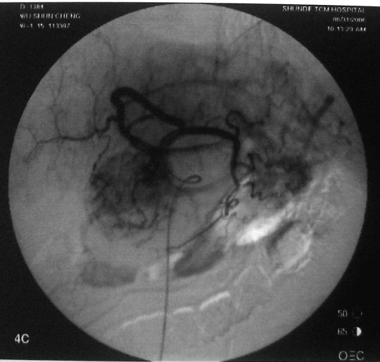
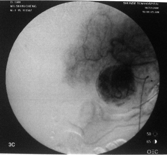
介入治疗过程:右股动脉穿刺,引入导丝导管,超选入肝固有动脉,造影显示肝右动脉肿瘤供血,圆球样肿瘤边界清楚。采用同轴导管进一步超选入右肝动脉、肿瘤血管边缘,注入化疗药+碘油混合剂7ml。
图1-3:导管进入肿瘤血管后造影,分别显示造影早期、中期、末期肿瘤情况。
图4:栓塞治疗后,肿瘤已为化疗药+碘油混合剂充填。






[本贴已被 翁志蓬 于 2006-10-27 20:46:54 修改过]

作者: sqf    时间: 2006-9-20 01:42
精彩好帖!
谢谢楼主!
作者: xingfu_zhao    时间: 2006-9-20 18:09
如果一个患者肝脏肿瘤介入栓塞了两次效果不好,并且继续生长是怎么回事,是栓塞不完全得几次次数多了不好跟患者解释呀
作者: 朱磊    时间: 2006-9-21 23:58
精彩好帖!
谢谢楼主!
作者: chen123    时间: 2006-9-27 23:20
向楼主学习,真的是一个人材,自叹不如
作者: 白色野鹅    时间: 2006-9-29 06:11
好漂亮!
作者: lb    时间: 2006-9-29 22:28
hao
作者: 程军建    时间: 2006-10-1 18:27
介入术对于现在的肿瘤的治疗可以说比较前沿啦!应该广泛开展。。。
创伤小、安全性较高,病人较容易接受。对于术后只能因人而论啦!
作者: jssqcdm    时间: 2006-10-29 00:46
药物到位,栓塞完全,还怕效果不好?




欢迎光临 医影在线 (http://bbs.radida.com/bbs/) Powered by Discuz! X3.2