











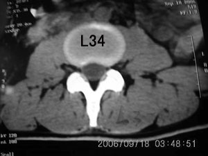
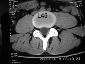
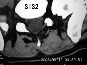
以下是引用守望可可西里在2006-9-18 21:29:00的发言:[br][br] 马尾肿瘤,密度较低,大部分似乎呈囊性变(看着很费眼),考虑室管膜瘤,建议mri。
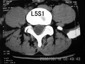
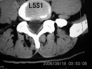
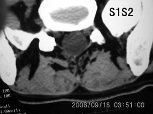
以下是引用dyg在2006-9-18 22:27:00的发言:[br]正常脊髓.[br]分析:人的脊髓从枕大孔开始至腰1.2椎体为止,有2个生理膨大,分为颈膨大和腰膨大;该病人脊髓须然从腰段开始直至马尾似乎膨大,胆是与上段脊髓密度没有多大变化,所以我认为是正常膨大之延续;当然最好做ct增强或mri检查,排除肿瘤.
以下是引用飞虎在2006-9-18 20:18:00的发言:[br]部分椎管内密度不均且无ct值 故mri检查
| 欢迎光临 医影在线 (http://bbs.radida.com/bbs/) | Powered by Discuz! X3.2 |