医影在线

标题: CT4668:[讨论]胸部 [打印本页]

作者: rjg199343    时间: 2006-9-19 03:55
标题: CT4668:[讨论]胸部
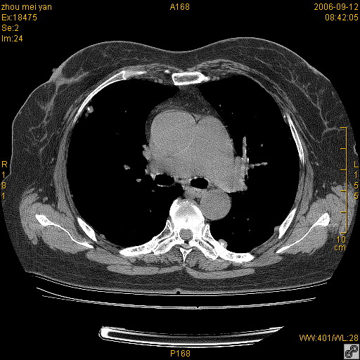
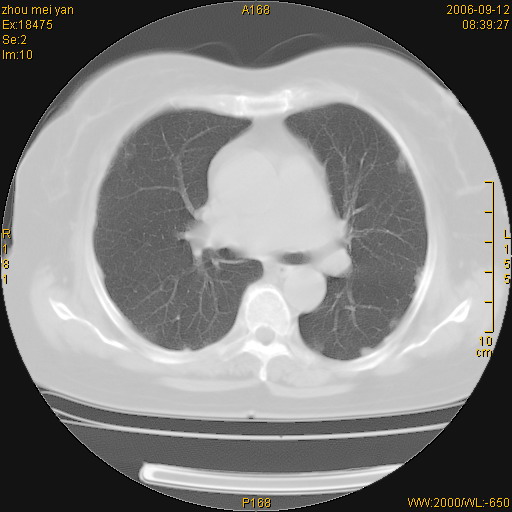
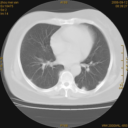
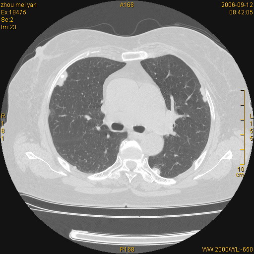
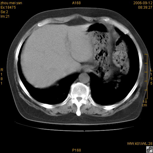
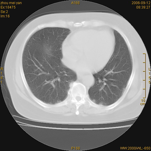
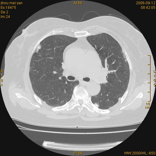
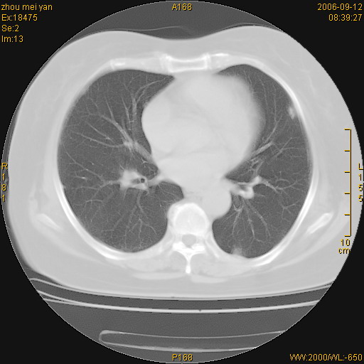
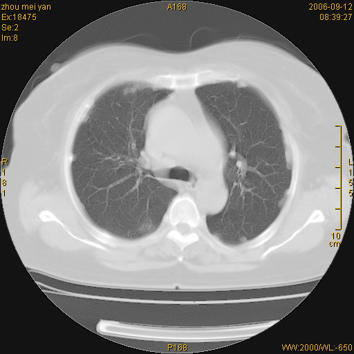
患者、女、55岁。因心率失常住院检查ct发现胸部多发结节。腹部b超肝、胆、胰、脾、肾、子宫附件未见异常。无结核病史,无粉尘接触史。请大家来会诊。谢谢!























































[本贴已被 jiajie 于 2006-9-18 20:43:54 修改过]

作者: lzdyjg    时间: 2006-9-19 04:08
结核胸膜结节钙化
作者: dyqct    时间: 2006-9-19 04:51
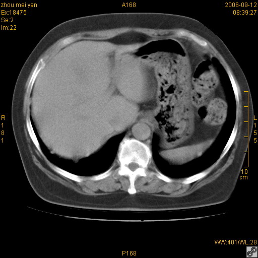
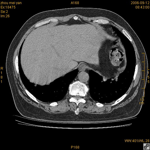
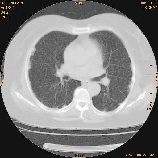
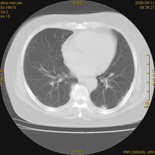
病变位于胸膜,多发结节,边界清楚,内见小结节状钙化。其它未见异常。
考虑:1、胸膜间皮瘤?
      2、建议询问病史除外石棉肺。
作者: 守望可可    时间: 2006-9-19 04:53
  多发胸膜表面的结节,基本对称,部分有钙化。首先考虑类风湿性胸膜结节,次则考虑结核性胸膜炎后遗之胸膜结节状增厚、钙化。
  建议结合临床症状以及化验检查。
作者: rjg199343    时间: 2006-9-19 05:43
希望大家来讨论此病例,患者无石棉接触史,化验血常规、血沉等都在正常范围。
作者: 朱磊    时间: 2006-9-19 05:55
多发胸膜表面的结节,基本对称,部分有钙化。首先考虑类风湿性胸膜结节,次则考虑结核性胸膜炎后遗之胸膜结节状增厚、钙化。建议结合临床症状以及化验检查。
作者: 1390528    时间: 2006-9-19 07:02
胸膜间皮瘤可能性大.
作者: ssmmxx    时间: 2006-9-19 07:33
考虑:胸膜间皮瘤
作者: yuhg    时间: 2006-9-19 07:39
石棉肺。
作者: jiangjing    时间: 2006-9-19 07:55
kaolv 感染性肉芽肿或转移瘤
作者: lushijun    时间: 2006-9-19 14:27
支持10楼意见,结节病要考虑
作者: jiajie    时间: 2006-9-19 15:14
双侧胸膜多发结节,形态不规则,边缘较清楚,每一个结节中心似乎都有钙化点的特征,与胸膜广基相切。临床无结核病史,无粉尘接触史。
考虑良性局限性胸膜间皮瘤(多发)。
作者: 宝天曼    时间: 2006-9-19 15:24
支持陈旧结核胸膜结节钙化
作者: lgm660927    时间: 2006-9-19 16:00
标题: 回复:ct4668:[讨论]胸部
以下是引用宝天曼在2006-9-19 7:24:00的发言:[br]支持陈旧结核胸膜结节钙化

作者: zjzjr    时间: 2006-9-19 16:45
支持胸膜间皮瘤诊断。
作者: fumaogui    时间: 2006-9-19 16:53
多考虑胸膜间皮瘤待排结节病.
作者: jone-baby    时间: 2006-9-19 17:11
考虑1,良性局限性胸膜间皮瘤(多发)。2,结节病不除外.期待结果!
作者: suncl    时间: 2006-9-19 17:28
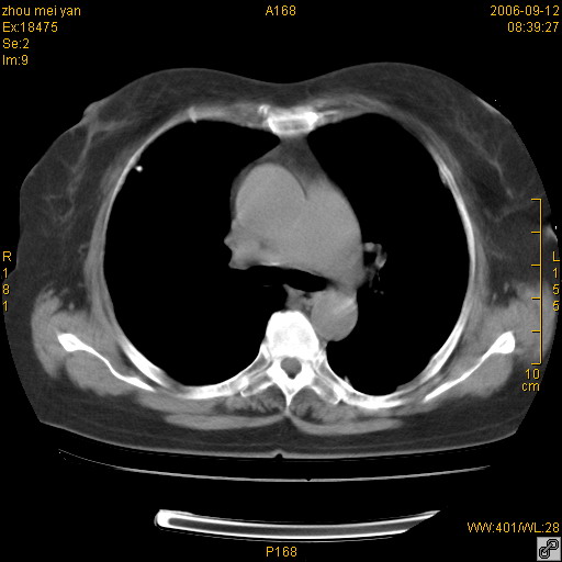
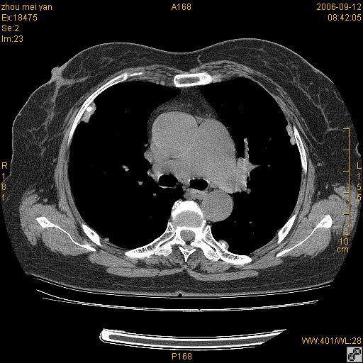
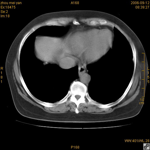
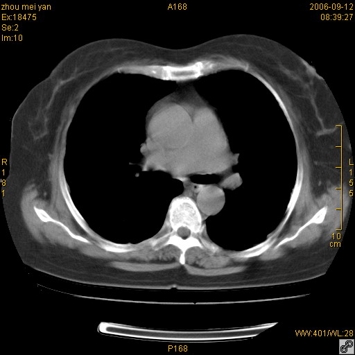
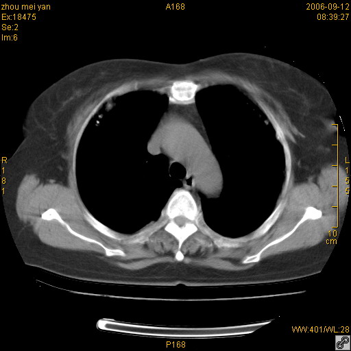
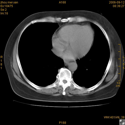
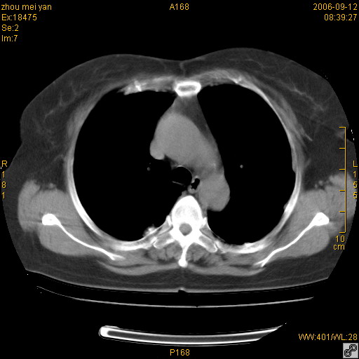
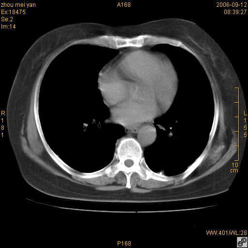
胸膜间皮瘤可能性大。在气管隆突前可见一肿大淋巴结影。
作者: 奕帆    时间: 2006-9-19 18:13
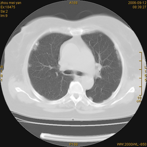
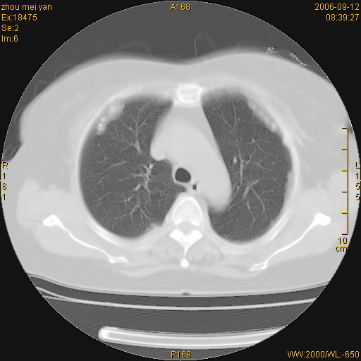
影像表现十分有特点:双侧肋胸膜及膈胸膜广泛散在分布大小在2至6mm左右,较大病灶中心可见钙化。
是不是类风湿性心脏病,引起心率失常?
如果有类风湿性心脏病,就要高度怀疑是:类风湿性胸膜结节。
反正不像结核,也不像转移。
作者: haha215315    时间: 2006-9-19 18:21
标题: 回复:ct4668:[讨论]胸部
以下是引用1390528在2006-9-18 23:02:00的发言:[br]胸膜间皮瘤可能性大.

作者: 卜一    时间: 2006-9-19 18:39
病变位于胸膜,多发结节,边界清楚,内见小结节状钙化。其它未见异常。
考虑:1、胸膜间皮瘤?2 类风湿性胸膜结节?
作者: elity69    时间: 2006-9-19 21:46
  多发胸膜表面的结节,基本对称,部分有钙化。首先考虑类风湿性胸膜结节,次则考虑结核性胸膜炎后遗之胸膜结节状增厚、钙化。
作者: 逸风    时间: 2006-9-20 00:34
没有粉尘接触史,具体干什么工作的?感觉还是和职业或生活环境有关系,有没有铜铂等接触史??
没有见过,期盼结果~~~
作者: xcct    时间: 2006-9-20 01:08
考虑恶性胸膜间皮瘤可能性大,病灶位于胸膜,以宽基地与胸膜相连,呈结节样改变,部分病灶内可见点状钙化影。请各位老师多多指导!
作者: guzhongliangddd    时间: 2006-9-20 01:27
我认为该病例不考虑是1:胸膜间皮瘤{1,胸膜的增生分布范围较广。2,其内有钙化,在胸膜间皮瘤中钙化的发生很少}。2:结核性胸膜炎后遗症也不考虑{结核性胸膜炎一般都会引起胸腔的积叶和临近肺实质的改变}。
我的初步考虑是转移瘤如果患者条件允许可作有关的检查。
作者: 高飞    时间: 2006-9-20 03:36
感染性肉芽肿,双侧膈底胸膜见多个结节灶,内见斑点状钙化,有否疫水接触史
作者: 拾荒者    时间: 2006-9-20 04:21
双侧肋胸膜及膈胸膜广泛散在分布大小不等结节影,较大病灶中心可见钙化。
是不是类风湿性心脏病,引起心率失常?
如果有类风湿性心脏病,就要高度怀疑是:类风湿性胸膜结节。疑问:病人血沉不快,是不是类风湿稳定期?另外病人肺内无明显纤维化改变,肺野内清晰,不符合类风湿肺内改变。
多发结节影边缘晕征也可考虑转移,只是中心钙化不好解释。另外单纯胸膜转移肺内没有也不合常规。
结核及胸膜间皮瘤都不能很好地解释图片所见。
期待最终结果。
作者: rjg199343    时间: 2006-9-20 04:48
没有类风湿性关节炎的临床表现。全身体检未发现肿瘤病变。以前没有拍过胸片。
作者: shibing    时间: 2015-6-23 11:08
 多发胸膜表面的结节,基本对称,部分有钙化。首先考虑类风湿性胸膜结节,次则考虑结核性胸膜炎后遗之胸膜结节状增厚、钙化。
  建议结合临床症状以及化验检查。




欢迎光临 医影在线 (http://bbs.radida.com/bbs/) Powered by Discuz! X3.2