医影在线
标题: CT4669:甲状腺CT [打印本页]
作者: wpf 时间: 2006-9-19 05:18
标题: CT4669:甲状腺CT
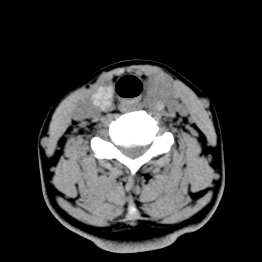
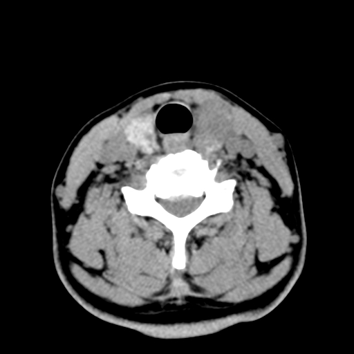
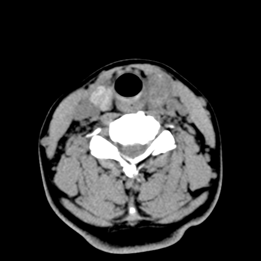
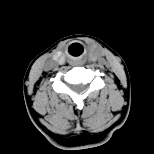
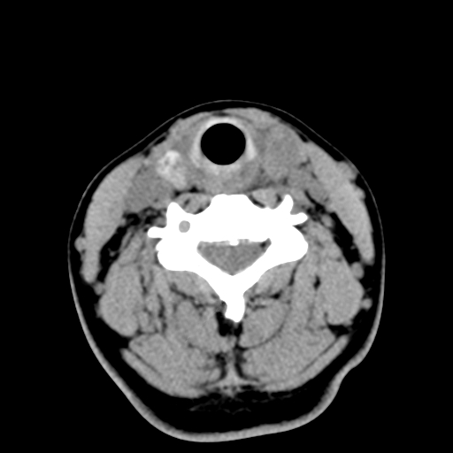
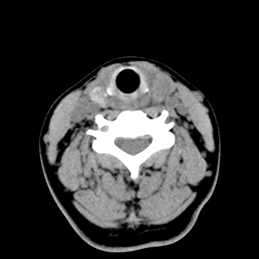
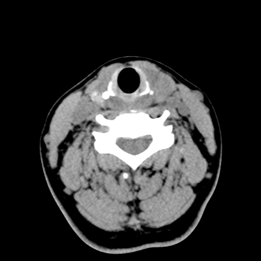
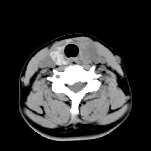
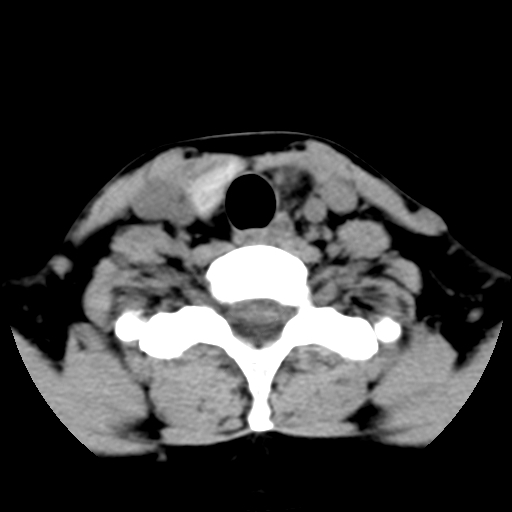
女,44岁,左颈部肿块伴疼痛两个月。患者不能做增强扫描。













[本贴已被 gaozhengyi 于 2006-9-18 21:42:10 修改过]
作者: yuhg 时间: 2006-9-19 05:49
活检
作者: 守望可可 时间: 2006-9-19 06:10
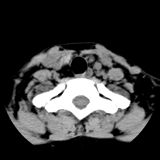
左侧甲状腺明显肿大,密度不均匀性减低,正常之钙化基本消失,残留少许呈云雾状及颗粒状。其边缘不规则、不清晰,与前部联合处正常甲状腺不能分界不清,但尚可与周围其他组织分辨。颈动脉鞘区无明显淋巴结肿大。
“女,44岁,左颈部肿块伴疼痛两个月。患者不能做增强扫描。”
多考虑:左侧甲状腺癌。
作者: 拾荒者 时间: 2006-9-19 06:57
标题: [原创]
左侧甲状腺腺瘤或癌。甲状腺周围软组织间隙尚存在,喉软骨未见破坏征象,考虑腺瘤可能性大。
[本贴已被 拾荒者 于 2006-9-19 19:56:03 修改过]
作者: ssmmxx 时间: 2006-9-19 07:39
左侧甲状腺明显肿大,密度不均匀性减低,可见明显淋巴结肿大.
考虑:左侧甲状腺癌
作者: jiangjing 时间: 2006-9-19 07:51
考虑甲状腺癌或腺瘤
作者: lushijun 时间: 2006-9-19 14:23
支持3楼意见
作者: 同 时间: 2006-9-19 14:27
多考虑甲壮腺腺瘤可能性大
作者: 宝天曼 时间: 2006-9-19 15:19
左侧甲状腺癌可能性大。
作者: dyqct 时间: 2006-9-19 15:57
考虑甲状腺癌或腺瘤 ,还是做个增强安全。
作者: zjzjr 时间: 2006-9-19 16:27
因没增强,只能考虑左侧甲状腺占位性病变,可行穿刺活检进一步明确。
作者: fumaogui 时间: 2006-9-19 16:48
考虑甲状腺瘤或癌,活检一下吧.
作者: suncl 时间: 2006-9-19 17:36
左侧甲状腺明显肿大,密度不均匀性减低,可见明显淋巴结肿大.
考虑:左侧甲状腺癌
作者: haha215315 时间: 2006-9-19 18:25
标题: 回复:ct4669:甲状腺ct
以下是引用ssmmxx在2006-9-18 23:39:00的发言:[br]左侧甲状腺明显肿大,密度不均匀性减低,可见明显淋巴结肿大.[br]考虑:左侧甲状腺癌
作者: 卜一 时间: 2006-9-19 18:47
左侧甲状腺明显肿大,密度不均匀性减低,可见明显淋巴结肿大.
考虑:左侧甲状腺癌。
作者: 飞虎 时间: 2006-9-20 00:23
有化验检查吗 能处外良性病变吗 b超检查 或活检
作者: 朱磊 时间: 2006-9-20 01:00
左侧甲状腺明显肿大,密度不均匀性减低,正常之钙化基本消失,残留少许呈云雾状及颗粒状。其边缘不规则、不清晰,与前部联合处正常甲状腺不能分界不清,但尚可与周围其他组织分辨。颈动脉鞘区无明显淋巴结肿大。
多考虑:左侧甲状腺占位,建议穿刺活检。
作者: 逸风 时间: 2006-9-20 01:35
左侧甲状腺弥漫性肿大,密度减低,与气管及周围血管等分界清晰,颈部未见明显淋巴结肿大.首先考虑左侧甲状腺瘤;其次考虑甲状腺炎;不排除甲状腺癌可能.
作者: klw 时间: 2006-9-20 02:25
多考虑甲壮腺腺瘤可能性大,周边的脂肪间隙显示尚清楚,未见明显肿大淋巴结.气管未见受压.
作者: 1983 时间: 2006-9-20 03:52
考虑甲状腺癌或腺瘤 建议穿刺活检取病理
作者: 奕帆 时间: 2006-9-20 05:01
结合临床疼痛症状,考虑为炎性感染性病变所致。
作者: shibing 时间: 2015-6-23 11:07
左侧甲状腺癌可能性大。
| 欢迎光临 医影在线 (http://bbs.radida.com/bbs/) |
Powered by Discuz! X3.2 |