医影在线

标题: CT4671:[求助]颈椎锥体内气体密度是如何来的 [打印本页]

作者: lizhjie    时间: 2006-9-19 13:28
标题: CT4671:[求助]颈椎锥体内气体密度是如何来的









[本贴已被 jiajie 于 2006-9-19 6:38:03 修改过]

作者: lushijun    时间: 2006-9-19 14:22
考虑椎间盘退变可能性大
作者: 宝天曼    时间: 2006-9-19 15:17
考虑椎间盘退变可能性大
作者: dyqct    时间: 2006-9-19 16:02
椎间盘退变产生气体——真空现象,然后经终板进入椎体。
作者: zjzjr    时间: 2006-9-19 16:11
椎间盘退变
作者: wnlyq8688    时间: 2006-9-19 16:20
椎间盘退变产生气体——真空现象,然后经终板进入椎体
作者: liaoqiang    时间: 2006-9-19 16:32
椎间盘退变产生气体进入椎体。
作者: fumaogui    时间: 2006-9-19 16:39
椎间盘退变产生气体——真空现象,然后经终板进入椎体
作者: jone-baby    时间: 2006-9-19 16:43
椎间盘呈"真空"征.椎间盘退变.
作者: 守望可可    时间: 2006-9-19 16:56
  
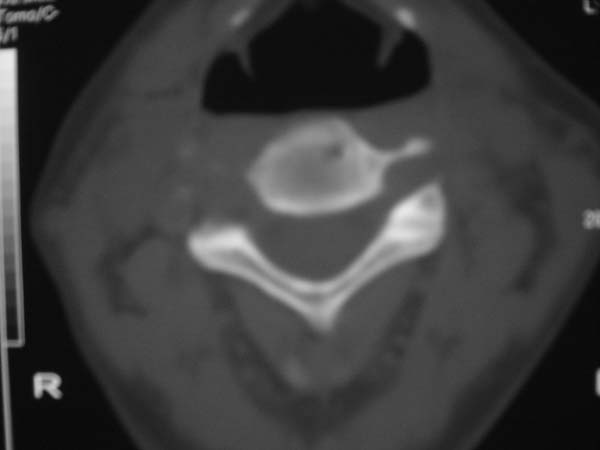
  第4颈椎椎体左前上部气体密度,上下狭窄呈袋口状,中间显著膨大,边缘清晰、无硬化缘。
  很奇怪的一个东西。基于这样的形态,我考虑是不是椎间盘退行性改变的一个很巧合的情况,即:具有真空征的椎间盘正好突入椎体内所致,应该具备许莫尔氏结节的形成原理。
  但为什么没有硬化边缘呢?是不是这种可能,即:因为其他某种外界因素致使椎间盘的压力突然增大而突入,并且是才突入不久,还没有来得及形成硬化缘?
  期待老师们的精彩点评!
作者: zhang_zb    时间: 2006-9-19 17:29
支持8楼
作者: suncl    时间: 2006-9-19 17:30
椎间盘呈"真空"征.椎间盘退变
作者: 奕帆    时间: 2006-9-19 17:47
我认为“守望可可西里”老师的分析有理,我支持。
注意哦,“才突入不久”是一个相对时间。
颈7椎体高度为何小?
作者: haha215315    时间: 2006-9-19 18:27
标题: 回复:ct4671:[求助]颈椎锥体内气体密度是如何来的
以下是引用liaoqiang在2006-9-19 8:32:00的发言:[br]椎间盘退变产生气体进入椎体。

作者: 卜一    时间: 2006-9-19 18:58
椎间盘退变产生气体——真空现象
作者: kbzyycm    时间: 2006-9-19 20:44
椎间盘退变产生气体——真空现象
作者: ssmmxx    时间: 2006-9-19 20:45
椎间盘退变产生气体——真空现象,然后经终板进入椎体。
作者: 飞虎    时间: 2006-9-20 00:10
支持各位老师的意见
作者: 逸风    时间: 2006-9-20 01:09
标题: 回复:ct4671:[求助]颈椎锥体内气体密度是如何来的
摘录:\"真空现象实际上是指气体聚积于关节腔、椎间盘或骨内,椎间盘内气体的发生率在x线平片上一般为1%~20%,而在40岁以上人群脊柱ct扫描的阳性率接近50%,但椎体内的气体聚积却并不常见。1978年maldague等报告6例迟发性椎体塌陷时首次报告位于椎体内的真空现象,认为其属椎体缺血性坏死之典型征象。\"
有没有这种可能??
另外还有一种可能:就是椎间盘变性后产生的气体因为终板不完整,气体进入椎体松质骨内聚集,而椎间盘并没有疝入椎体,这样的话就不会有周遍硬化,可以解释守望可可西里老师的疑问了.
作者: 拾荒者    时间: 2006-9-20 02:53
摘抄“1.有裂隙的椎间盘和椎体在某些患者有产生气体之倾向,其原因尚不明确,可能与年龄老化有关;2.气体产生于骨折缺血的椎体内,然后经由终板进入有裂隙的椎间盘内,气体产生之来源不明;3.气体产生于发生骨质疏松性骨折椎体的椎间盘内,如终板仍能保持完整则气体不进入椎体,如终板骨折则气体经终板进入椎体。
作者: 1983    时间: 2006-9-20 03:47
椎间盘退变产生气体——真空现象,然后经终板进入椎体
作者: dyg    时间: 2006-9-20 04:19
考虑椎间盘退变引起的真空现象,其它还真是难以解释。
作者: jinguoji    时间: 2006-9-20 22:27
考虑椎间盘退变引起的真空现象
作者: shibing    时间: 2015-6-23 11:06
椎间盘呈"真空"征.椎间盘退变.




欢迎光临 医影在线 (http://bbs.radida.com/bbs/) Powered by Discuz! X3.2