医影在线
标题: CT4697:头颅CT@ [打印本页]
作者: 眼睛 时间: 2006-9-21 20:42
标题: CT4697:头颅CT@
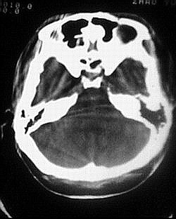
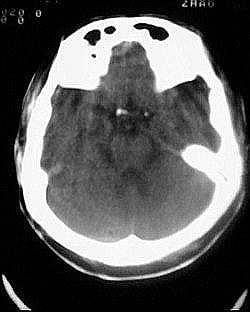
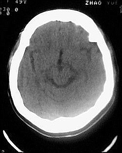
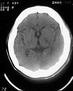
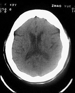
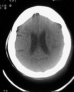
患者/49y/ 女/4年前有脑梗, 现因右侧肢体无力来院做ct扫描 ! 老师们看看这骨头有事吗?钙化点是什么原因呀??















[本贴已被 眼睛 于 2006-9-21 16:37:08 修改过]
作者: 飞虎 时间: 2006-9-21 20:58
图象太差啊 有无颅骨正侧位片请上传
作者: 眼睛 时间: 2006-9-21 21:02
标题: 夺取
真不好意思啦!让我再处理一下!]我是用200w像素手机照的!患者没有平片正侧位!请问有什么病的可能呀
[本贴已被 眼睛 于 2006-9-21 16:39:40 修改过]
[本贴已被 眼睛 于 2006-9-21 16:52:10 修改过]
作者: 奕帆 时间: 2006-9-21 22:07
1、梗塞是肯定有的了。
2、颅骨找些资料看看,应该有解释,我的“内存”里面暂时也没有。找到了通知我一声,也好让我拷贝一份。
3、“钙化点”是指哪一个呀?是四叠体池左旁的那个吗?那个不好说,可能是感染性病变留下的,我估计临床意义不大,实在不放心做个增强看看有没有其它什么东东。
作者: 守望可可 时间: 2006-9-21 22:27
1.颅骨对称性、形态规整性增厚,应属发育异常。四叠体池左后侧单发点状钙化,无其他阳性表现,多属正常,不需要过多关注。
2.双侧基底节区域多发性梗塞灶。
作者: 朱磊 时间: 2006-9-21 22:37
1、多发腔隙性脑梗塞是肯定的了。
2、颅骨形态规整性的增厚,密度增高,有无骨髓方面的疾病,建议骨髓穿刺。
不除外发育变异哈。
作者: suncl 时间: 2006-9-21 23:14
标题: 回复:ct4697:头颅ct@
以下是引用守望可可西里在2006-9-21 14:27:00的发言:[br][br] 1.颅骨对称性、形态规整性增厚,应属发育异常。四叠体池左后侧单发点状钙化,无其他阳性表现,多属正常,不需要过多关注。[br] 2.双侧基底节区域多发性梗塞灶。[br]
作者: 眼睛 时间: 2006-9-22 00:26
标题: 回复:ct4697:头颅ct@
以下是引用奕帆在2006-9-21 14:07:00的发言:[br]1、梗塞是肯定有的了。[br]2、颅骨找些资料看看,应该有解释,我的“内存”里面暂时也没有。找到了通知我一声,也好让我拷贝一份。[br]3、“钙化点”是指哪一个呀?是四叠体池左旁的那个吗?那个不好说,可能是感染性病变留下的,我估计临床意义不大,实在不放心做个增强看看有没有其它什么东东。
谢谢老师!我有时间去看看!
作者: ssmmxx 时间: 2006-9-22 00:46
双侧基底节区域多发性梗塞灶。
钙化灶没太大意义
作者: xhsmx 时间: 2006-9-22 00:50
标题: 回复:ct4697:头颅ct@
以下是引用守望可可西里在2006-9-21 14:27:00的发言:[br][br] 1.颅骨对称性、形态规整性增厚,应属发育异常。四叠体池左后侧单发点状钙化,无其他阳性表现,多属正常,不需要过多关注。[br] 2.双侧基底节区域多发性梗塞灶。[br]
作者: 眼睛 时间: 2006-9-22 00:51
谢谢你!有谁见过这种样的颅骨呀
作者: 子期 时间: 2006-9-22 00:52
可能为颅骨内板增生症,以额骨多见,常见于女性.多无临床意义.部分病人可有头痛.可找相关资料看看.
作者: zsj943006 时间: 2006-9-22 01:03
此病人有无代谢方面的疾病或肾脏病变
作者: 眼睛 时间: 2006-9-22 01:17
标题: lk
我知道的她有 1.高血压2.心脏病 听家人说她的病很多!有时间我再问问吧@@
[本贴已被 眼睛 于 2006-9-21 17:18:09 修改过]
作者: jiajie 时间: 2006-9-22 01:48
颅骨内板增厚,密度稍减低,未见明显破坏,考虑为正常。(检查老年人时遇到过类似颅骨未报病变,谁有相关资料请上传学习)
作者: dyqct 时间: 2006-9-22 02:21
支持5楼意见.
作者: rjg199343 时间: 2006-9-22 04:02
除了以上大家关注到的,我发现左侧鼓室、鼓窦扩大有骨质破坏,考虑有慢性中耳炎肉芽肿形成
作者: 同 时间: 2006-9-22 04:05
标题: 回复:ct4697:头颅ct@
以下是引用子期在2006-9-21 16:52:00的发言:[br]可能为颅骨内板增生症,以额骨多见,常见于女性.多无临床意义.部分病人可有头痛.可找相关资料看看.
作者: guzhongliangddd 时间: 2006-9-22 04:23
ct平扫未见确切异常!
作者: 狙击手 时间: 2006-9-22 05:38
标题: 回复:ct4697:头颅ct@
以下是引用守望可可西里在2006-9-21 14:27:00的发言:[br][br] 1.颅骨对称性、形态规整性增厚,应属发育异常。四叠体池左后侧单发点状钙化,无其他阳性表现,多属正常,不需要过多关注。[br] 2.双侧基底节区域多发性梗塞灶。[br]
作者: 拾荒者 时间: 2006-9-22 05:51
1.双侧基底节区腔梗。
2.颅骨内外板广泛性增厚,板障狭窄甚至消失,双侧对称。无明显相应临床症状。考虑“泛发性骨皮质增厚症”。可进一步检查下颌骨及管状骨骨干。(下颌骨骨小梁增多、密集,密度增高亦为本病特点,管状骨骨干皮质向内增厚引起骨皮质厚度增加,骨密度增浓、髓腔狭窄但不消失,骨干周径较少增加)。与石骨症鉴别,后者很少影响颅盖骨和下颌骨,管状骨改变主要累及干骺端和骨骺,而骨干皮质较少增厚,椎体和髂骨翼有特征性表现。
作者: 小牛仔 时间: 2006-9-22 07:47
不知脑囊虫病(单发)能否排除?临床病史及实验室检查结果?
作者: 宝天曼 时间: 2006-9-22 14:35
1、多发腔隙性脑梗塞是肯定的了。
2、颅骨形态规整性的增厚,密度增高,有无骨髓方面的疾病,建议骨髓穿刺。
不除外发育变异哈。
作者: dushiguo2006 时间: 2006-9-22 17:52
1.颅骨对称性、形态规整性增厚,应属发育异常。四叠体池左后侧单发点状钙化,无其他阳性表现,多属正常,不需要过多关注。
2.双侧基底节区域多发性梗塞灶。
作者: 眼睛 时间: 2006-9-23 19:10
标题: 回复:ct4697:头颅ct@
以下是引用拾荒者在2006-9-21 21:51:00的发言:[br]1.双侧基底节区腔梗。[br]2.颅骨内外板广泛性增厚,板障狭窄甚至消失,双侧对称。无明显相应临床症状。考虑“泛发性骨皮质增厚症”。可进一步检查下颌骨及管状骨骨干。(下颌骨骨小梁增多、密集,密度增高亦为本病特点,管状骨骨干皮质向内增厚引起骨皮质厚度增加,骨密度增浓、髓腔狭窄但不消失,骨干周径较少增加)。与石骨症鉴别,后者很少影响颅盖骨和下颌骨,管状骨改变主要累及干骺端和骨骺,而骨干皮质较少增厚,椎体和髂骨翼有特征性表现。
谢谢
作者: 守望可可 时间: 2006-9-24 23:00
标题: 回复:ct4697:头颅ct@
以下是引用拾荒者在2006-9-21 21:51:00的发言:[br]1.双侧基底节区腔梗。[br]2.颅骨内外板广泛性增厚,板障狭窄甚至消失,双侧对称。无明显相应临床症状。考虑“泛发性骨皮质增厚症”。可进一步检查下颌骨及管状骨骨干。(下颌骨骨小梁增多、密集,密度增高亦为本病特点,管状骨骨干皮质向内增厚引起骨皮质厚度增加,骨密度增浓、髓腔狭窄但不消失,骨干周径较少增加)。与石骨症鉴别,后者很少影响颅盖骨和下颌骨,管状骨改变主要累及干骺端和骨骺,而骨干皮质较少增厚,椎体和髂骨翼有特征性表现。
“泛发性骨皮质增厚症,又称骨内膜增生症(endosteal hyperostosis):分为常染色体隐性遗传性疾病(van buchem)和常染色体显性遗传性骨硬化症(worth病)。后者更少见,亦较轻。两者的病理上均为骨内膜 成熟的板状新生骨形成,髓腔变窄。颅骨、颅底骨 、下颌骨,肋骨、四肢骨及骨盆骨、脊柱均可见骨内膜增生,髓腔变窄或消失,但骨外径不加大,骨骺不累及。”
本例的确应该这个病。建议楼主检查病人其他部位有无类似表现,以便确诊。
作者: 眼睛 时间: 2006-9-28 03:25
家里没钱!回家了!
作者: shibing 时间: 2015-6-23 11:19
1.颅骨对称性、形态规整性增厚,应属发育异常。四叠体池左后侧单发点状钙化,无其他阳性表现,多属正常,不需要过多关注。[br] 2.双侧基底节区域多发性梗塞灶。[br]
| 欢迎光临 医影在线 (http://bbs.radida.com/bbs/) |
Powered by Discuz! X3.2 |