医影在线

标题: CT4698:[原创]女性,45y,盆腔包块 [打印本页]

作者: 狙击手    时间: 2006-9-22 05:43
标题: CT4698:[原创]女性,45y,盆腔包块
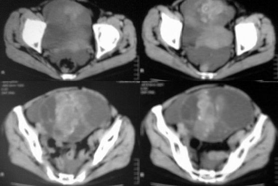
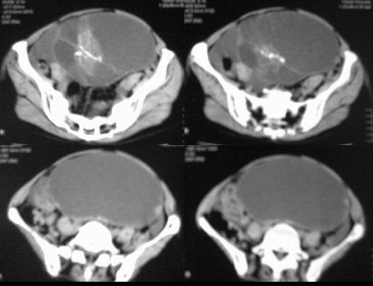
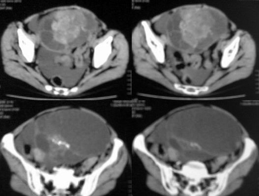
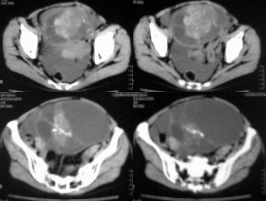
患者女性,45岁,因下腹疼痛,包块就诊,月经不太规则,其他未能提供有价值病史,请讨论








[本贴已被 jiajie 于 2006-9-22 16:29:45 修改过]

作者: dyqct    时间: 2006-9-22 06:26
应该是个女性吧?
考虑:卵巢囊腺癌伴腹膜转移。
作者: 奕帆    时间: 2006-9-22 06:32
不懂,看不懂。只看到几副画。
作者: guzhongliangddd    时间: 2006-9-22 06:46
标题: 回复:[原创]
以下是引用dyqct在2006-9-21 22:26:00的发言:[br]应该是个女性吧?[br]考虑:卵巢囊腺癌伴腹膜转移。

楼主应该告诉患者的基本情况,否则对讨论带来困难。
作者: 宝天曼    时间: 2006-9-22 14:33
楼主应该告诉患者的基本情况,否则对讨论带来困难
作者: 守望可可    时间: 2006-9-22 16:28
  残缺不全、秩序凌乱的图片,严重缺失的临床资料,不好猜。楼主兄弟,多有得罪了,请原谅。
作者: 狙击手    时间: 2006-9-22 17:23
对不起各位,第一次试传,经验不足,补充一下资料,患者女性,45岁,因下腹疼痛,包块就诊,月经不太规则,其他未能提供有价值病史
作者: 阴极模块    时间: 2006-9-22 17:56
病人基本资料及病史不全.
作者: xiaoniu    时间: 2006-9-22 18:04
考虑:卵巢囊腺癌伴腹膜转移。
作者: 守望可可    时间: 2006-9-22 18:14
卵巢囊腺癌伴腹膜转移的可能性比较大。
作者: 奕帆    时间: 2006-9-22 18:30
这下就好多了!
卵巢囊腺癌伴腹膜转移可能性最大。
虽然没见到明显脂肪影,但是可见到明显钙化影,不排除恶性畸胎瘤的可能。
作者: dushiguo2006    时间: 2006-9-22 18:37
考虑:卵巢囊腺癌伴腹膜转移。
作者: 同    时间: 2006-9-22 20:51
考虑卵巢囊腺癌伴腹膜转移可能性大
作者: 拾荒者    时间: 2006-9-23 05:02
1.卵巢囊性畸胎瘤,2. 卵巢囊腺癌,道格拉斯腔积液。
作者: 天地睹狭    时间: 2006-9-23 05:05
ct图像有点不连续,且大部画面模糊,有增强吗?就此而论我看向源于卵巢的,首先考虑囊腺ca或瘤.
作者: 狙击手    时间: 2006-9-23 23:31
此患者手术病理结果已出:卵巢囊腺瘤。
作者: 朱磊    时间: 2006-9-24 08:14
卵巢囊腺瘤。谢谢。
作者: shibing    时间: 2015-6-23 11:18
卵巢囊腺癌伴腹膜转移的可能性比较大。




欢迎光临 医影在线 (http://bbs.radida.com/bbs/) Powered by Discuz! X3.2