医影在线

标题: CT4740:胸部疑难病例_请讨论 [打印本页]

作者: 卜一    时间: 2006-9-27 18:37
标题: CT4740:胸部疑难病例_请讨论
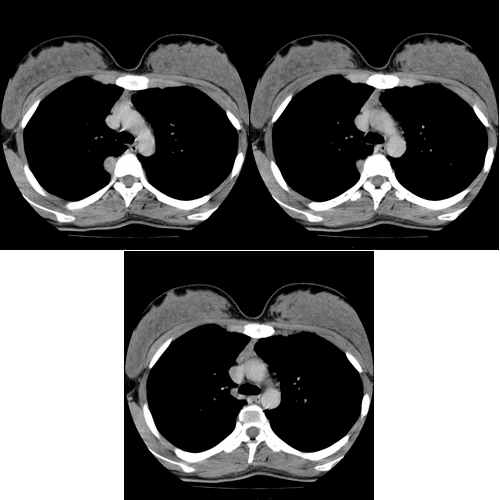
患者 女 18岁,体检无意中发现纵隔病灶,现上传,请会诊.该患者结核菌素实验为强阳性,血沉正常.双肺未见异常.








[本贴已被 guojx 于 2006-9-27 16:12:42 修改过]

作者: winter    时间: 2006-9-27 19:00
右后纵隔脊柱旁广基地与胸壁的类圆形病灶,外缘光滑,增强扫描有较明显的强化,未见相应椎体的椎间孔增宽。
定位:肺外,后纵隔病变。
定性:神经源性肿瘤。
作者: tzw136    时间: 2006-9-27 19:16
没肺窗啊,想必肺窗是正常的吧.ct平扫见右上后纵隔胸椎旁类圆形肿块,内未见钙化,+c后见肿块轻-中等度强化,其前部有少许低密度区.邻近骨质未见破坏.ppd强阳性,但病变不太象结核.后纵隔肿瘤以神经源性多见.不知是否.准确定性难啊.等待结果.
作者: 守望可可    时间: 2006-9-27 19:33
  首先考虑神经源性肿瘤。
  次则需要注意为局限性良性胸膜间皮瘤的可能性--主动脉弓层面胸椎椎体前缘纵隔胸膜增厚,椎体右侧脊肋关节处壁胸膜也有增厚,肿瘤位于二者之间并与之相连。
作者: ILIKECT    时间: 2006-9-27 19:56
首先考虑神经源性肿瘤。
作者: 宝天曼    时间: 2006-9-27 20:28
多考虑神经源性肿瘤。
作者: 奕帆    时间: 2006-9-27 21:02
后纵隔良性占位性病变,多考虑为神经源性肿瘤。
作者: 桐歌    时间: 2006-9-27 21:27
右后纵隔脊柱旁广基地与胸壁的类圆形病灶,外缘光滑,增强扫描有较明显的强化,未见相应椎体的椎间孔增宽。
定位:肺外,后纵隔病变。
定性:1神经源性肿瘤。2支气管或食管囊肿3肿大淋巴结
作者: 朱磊    时间: 2006-9-27 21:33
ct平扫见右上后纵隔胸椎旁类圆形肿块,内未见钙化,+c后见肿块轻-中等度强化,其前部有少许低密度区.邻近骨质未见破坏.ppd强阳性,但病变不太象结核.后纵隔肿瘤以神经源性多见.支气管或食管囊肿不能除外.等待结果.
作者: 东北    时间: 2006-9-27 21:57
神经源性肿瘤
作者: jiangjing    时间: 2006-9-27 22:10
考虑-----神经源性肿瘤,中度强化暂不考虑囊肿性病变。
作者: jinguoji    时间: 2006-9-27 22:36
多考虑神经源性肿瘤。
作者: 飞虎    时间: 2006-9-27 23:08
为何没有骨窗啊 肺外后纵隔占位 病灶有强化
考虑 神经源性肿瘤
作者: xiaojianwei    时间: 2006-9-28 02:45
胸膜结核
作者: qfy1978    时间: 2006-9-28 02:53
体检无意中发现纵隔病灶.佩服!!!
作者: 小荷    时间: 2006-9-28 02:55
首先排除是肺内病变,也应该是良性占位。
椎间孔未见明显增大,其增强动脉期似见一动脉伸入肿块内,故先考虑肺外型肺隔离症(尽管此处不是好发部位),支气管囊肿不 除外。
作者: 拾荒者    时间: 2006-9-28 05:57
首先考虑为神经源性肿瘤。
作者: lkc8963    时间: 2006-9-28 06:34
能除外胸膜病变吗?肺窗为何不发上来?据现有层面来看,个人将胸膜结核瘤放在首位,因无明显胸膜掀起,更加支持胸膜源性肿块而不支持纵隔源性.
作者: 晓杰    时间: 2006-9-28 07:18
后纵隔良性占位性病变,多考虑为神经源性肿瘤。
作者: shenhs    时间: 2006-9-28 08:19
考虑为神经源性肿瘤。
作者: 芊芊百合    时间: 2006-9-28 19:00
本人也认为应该考虑为胸膜结核.
作者: shibing    时间: 2015-6-23 11:24
右后纵隔脊柱旁广基地与胸壁的类圆形病灶,外缘光滑,增强扫描有较明显的强化,未见相应椎体的椎间孔增宽。
定位:肺外,后纵隔病变。
定性:1神经源性肿瘤。2支气管或食管囊肿3肿大淋巴结




欢迎光临 医影在线 (http://bbs.radida.com/bbs/) Powered by Discuz! X3.2