医影在线

标题: CT4742:椎弓病变,请各位会诊。 [打印本页]

作者: qjm111    时间: 2006-9-27 21:02
标题: CT4742:椎弓病变,请各位会诊。
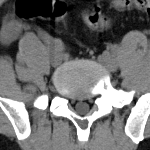
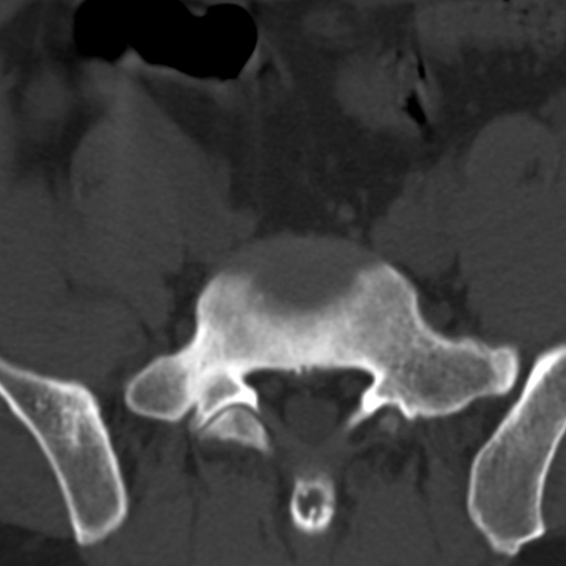
男性,37岁,体检发现。








[本贴已被 guojx 于 2006-9-27 16:14:58 修改过]

作者: 奕帆    时间: 2006-9-27 21:13
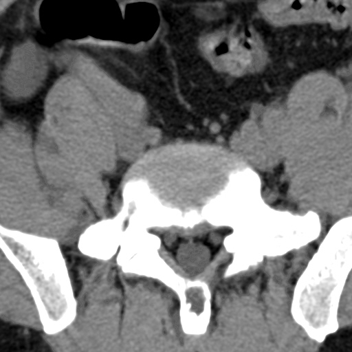
椎弓棘突形态、大小正常,左右椎板及棘突交界区骨质缺损,考虑良性病变(血管瘤可能)。
作者: 宝天曼    时间: 2006-9-27 21:42
考虑良性病变(血管瘤可能)
作者: jiangjing    时间: 2006-9-27 21:50
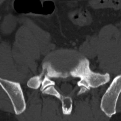
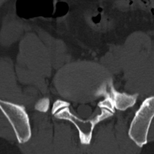
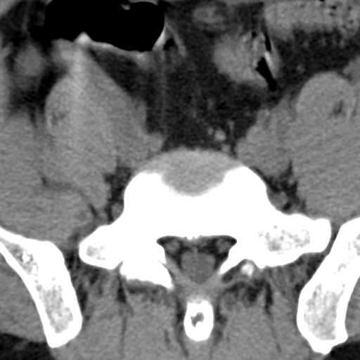
椎弓棘突形态、大小正常,左右椎板及棘突交界区骨质缺损,边缘清楚,后分见两个小点状高密影,考虑良性病变[血管瘤、成骨细胞瘤,骨纤,骨囊肿]
作者: 朱磊    时间: 2006-9-27 21:53
左右椎板及棘突交界区骨质缺损,周围未见软组织肿块及肿胀,考虑良性病变(血管瘤可能)。
     同意并支持奕帆战友。
作者: 东北    时间: 2006-9-27 22:01
骨纤
作者: 卜一    时间: 2006-9-27 22:22
椎弓棘突形态、大小正常,左右椎板及棘突交界区骨质缺损,边缘清楚,后分见两个小点状高密影,考虑良性病变[血管瘤、成骨细胞瘤,骨纤,骨囊肿]_支持!
作者: jinguoji    时间: 2006-9-27 22:35
考虑良性病变(血管瘤可能)
作者: 飞虎    时间: 2006-9-27 22:53
破坏区呈彭胀性 切有硬化缘 考虑良性占位  囊肿可能性大
作者: dyqct    时间: 2006-9-28 00:36
支持4楼意见。
作者: qfy1978    时间: 2006-9-28 02:40
良性,谨此而已.是什么?不懂.
作者: 拾荒者    时间: 2006-9-28 04:34
椎弓棘突形态、大小正常,左右椎板及棘突交界区骨质缺损,边缘清楚,后分见两个小点状高密影,考虑良性病变[血管瘤、成骨细胞瘤,骨纤,骨囊肿] 。
——只能考虑这些了。
作者: 守望可可    时间: 2006-9-30 05:26
标题: 回复:ct4742:椎弓病变,请各位会诊。
以下是引用奕帆在2006-9-27 13:13:00的发言:[br]椎弓棘突形态、大小正常,左右椎板及棘突交界区骨质缺损,考虑良性病变(血管瘤可能)。

作者: 逸风    时间: 2006-10-1 06:03
学习一些知识,更重要的是学习一种方式,学习一种思维,谢谢大家。
作者: shibing    时间: 2015-6-23 11:23
破坏区呈彭胀性 切有硬化缘 考虑良性占位   




欢迎光临 医影在线 (http://bbs.radida.com/bbs/) Powered by Discuz! X3.2