医影在线

标题: CT4743:出生2天腹部病变,请各位会诊。 [打印本页]

作者: qjm111    时间: 2006-9-27 21:12
标题: CT4743:出生2天腹部病变,请各位会诊。
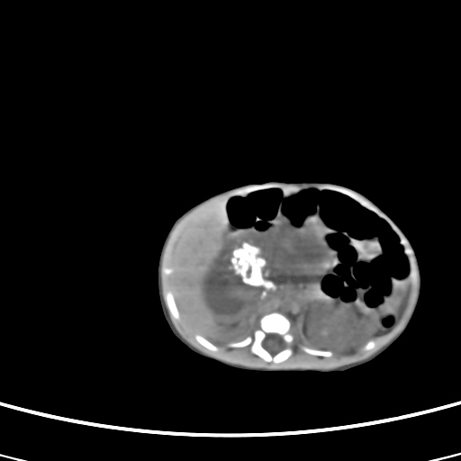
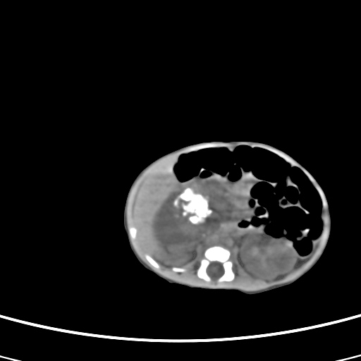
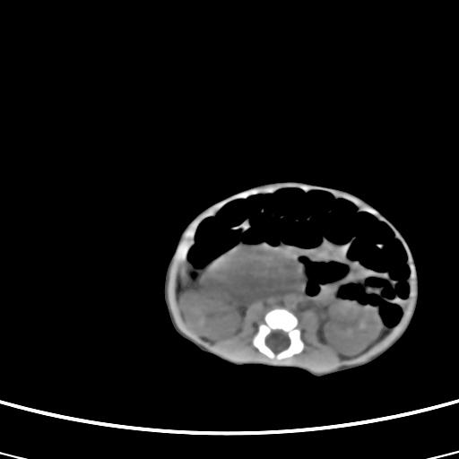
患儿,男性,出生后2天,在胎儿时b超已发现病变,患儿一般情况可。因病变部位偏向于右侧肾上腺区,目前考虑为神经母细胞瘤,不知各位能否支持。













[本贴已被 guojx 于 2006-9-27 16:15:43 修改过]

作者: 奕帆    时间: 2006-9-27 21:18
畸胎瘤要考虑。
作者: qjm111    时间: 2006-9-27 21:36
病灶内未见明显脂肪密度。
作者: 朱磊    时间: 2006-9-27 21:36
支持神经母细胞瘤,畸胎瘤不能除外。
作者: 宝天曼    时间: 2006-9-27 21:38
支持神经母细胞瘤
作者: jiangjing    时间: 2006-9-27 21:44
考虑1畸胎瘤。2神经母细胞瘤。
作者: 东北    时间: 2006-9-27 21:51
畸胎瘤。2神经母细胞瘤
作者: 卜一    时间: 2006-9-27 22:23
支持神经母细胞瘤.
作者: 飞虎    时间: 2006-9-27 22:45
考虑 畸胎瘤
作者: 王小鸭    时间: 2006-9-27 23:09
支持神经母细胞瘤
作者: 守望可可    时间: 2006-9-27 23:45
标题: 回复:出生2天腹部病变,请各位会诊。
以下是引用qjm111在2006-9-27 13:36:00的发言:[br]病灶内未见明显脂肪密度。


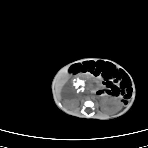
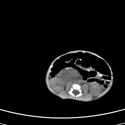
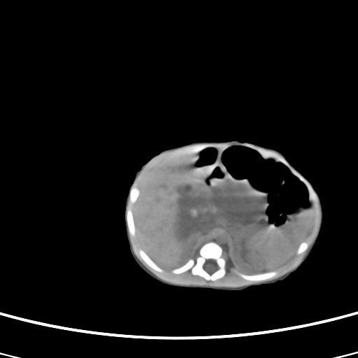
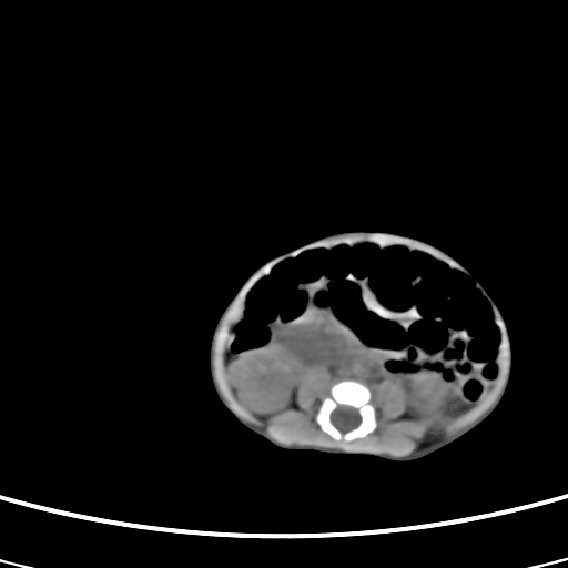
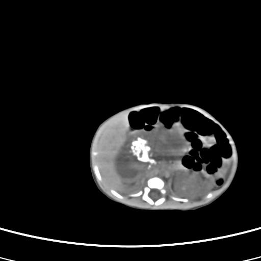
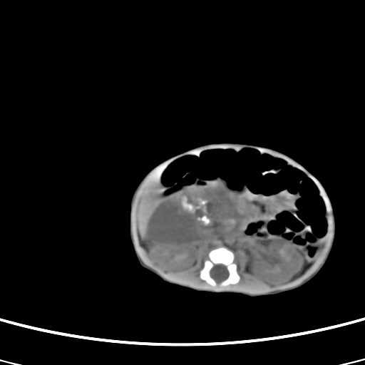
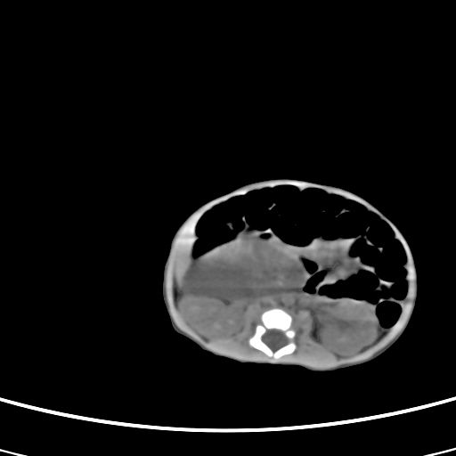
  反对定位在右肾上腺区的说法,那么神经母细胞瘤也可以暂时不予考虑。请看下图:

  下面这幅图中,似乎可以见到肿瘤的薄包膜,其后与右肾之间的又是什么东西呢?这关系到肿瘤的定位、定性。我考虑病灶是位于肝十二指肠韧带内的畸胎瘤可能性比较大。请各位老师仔细看一下:

作者: dyqct    时间: 2006-9-28 00:44
首先考虑腹膜后畸胎瘤。
作者: qfy1978    时间: 2006-9-28 02:32
2天,好可怜!胚胎来源性肿瘤.
作者: qfy1978    时间: 2006-9-28 02:35
恶性就没法治了,良性也麻烦.
作者: 拾荒者    时间: 2006-9-28 04:26
病灶巨大,位于右侧肾上腺区,与周围组织分界欠清,内见不规则钙化影,无明显脂肪组织,首先考虑神经母细胞瘤,但畸胎瘤不能排除。
作者: jslu503    时间: 2006-9-28 04:56
支持神经母细胞瘤.
作者: 眼睛    时间: 2006-9-28 06:15
考虑腹膜后畸胎瘤
作者: 奕帆    时间: 2006-9-29 02:05
支持守望可可西里分析。下腔静脉的位置很关键。
作者: 朱亮    时间: 2006-9-29 04:38
考虑腹膜后畸胎瘤
作者: hejie    时间: 2006-9-29 05:19
定位后腹膜,定性:畸胎瘤与寄生胎相鉴别.请传骨窗.发现躯干骨或四肢骨就考虑寄生胎.
作者: cal362    时间: 2006-9-29 09:16
首先考虑畸胎瘤
作者: qjm111    时间: 2007-1-26 19:48
手术结果为畸胎瘤
作者: shibing    时间: 2015-6-23 11:22
支持神经母细胞瘤




欢迎光临 医影在线 (http://bbs.radida.com/bbs/) Powered by Discuz! X3.2