医影在线

标题: X1052:没见过的IVP膀胱内高密度影.请大家分析可能是什么? [打印本页]

作者: 林建春    时间: 2006-9-28 04:14
标题: X1052:没见过的IVP膀胱内高密度影.请大家分析可能是什么?
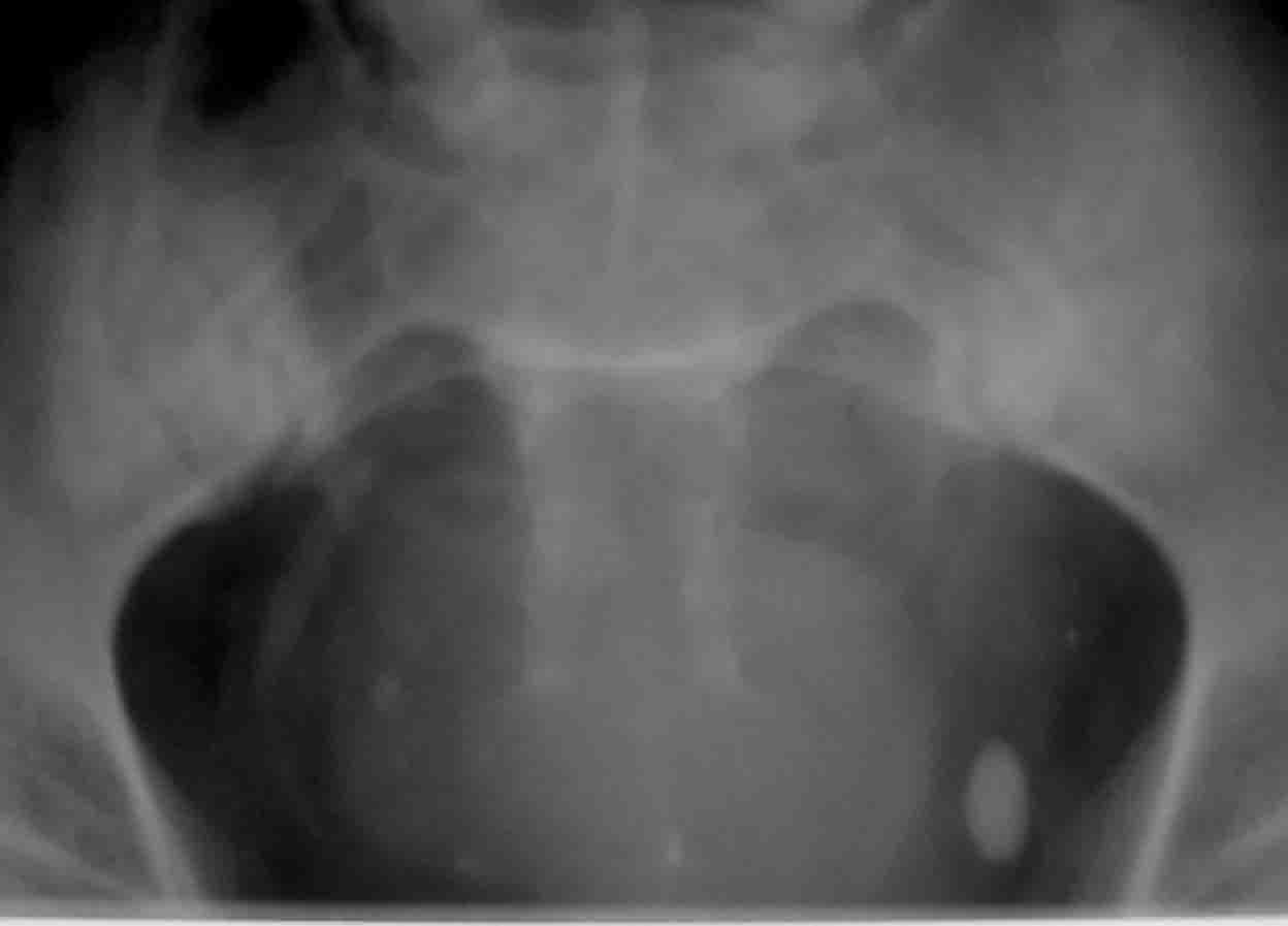
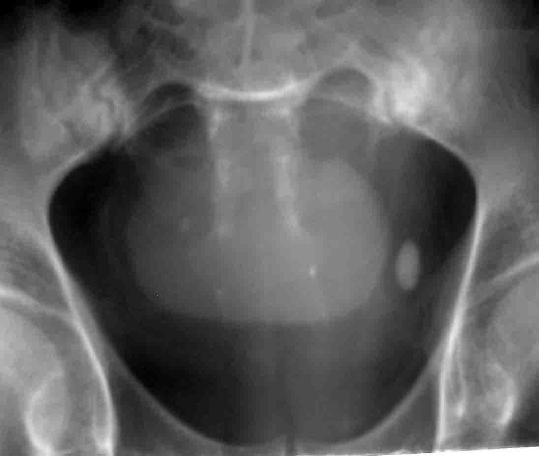
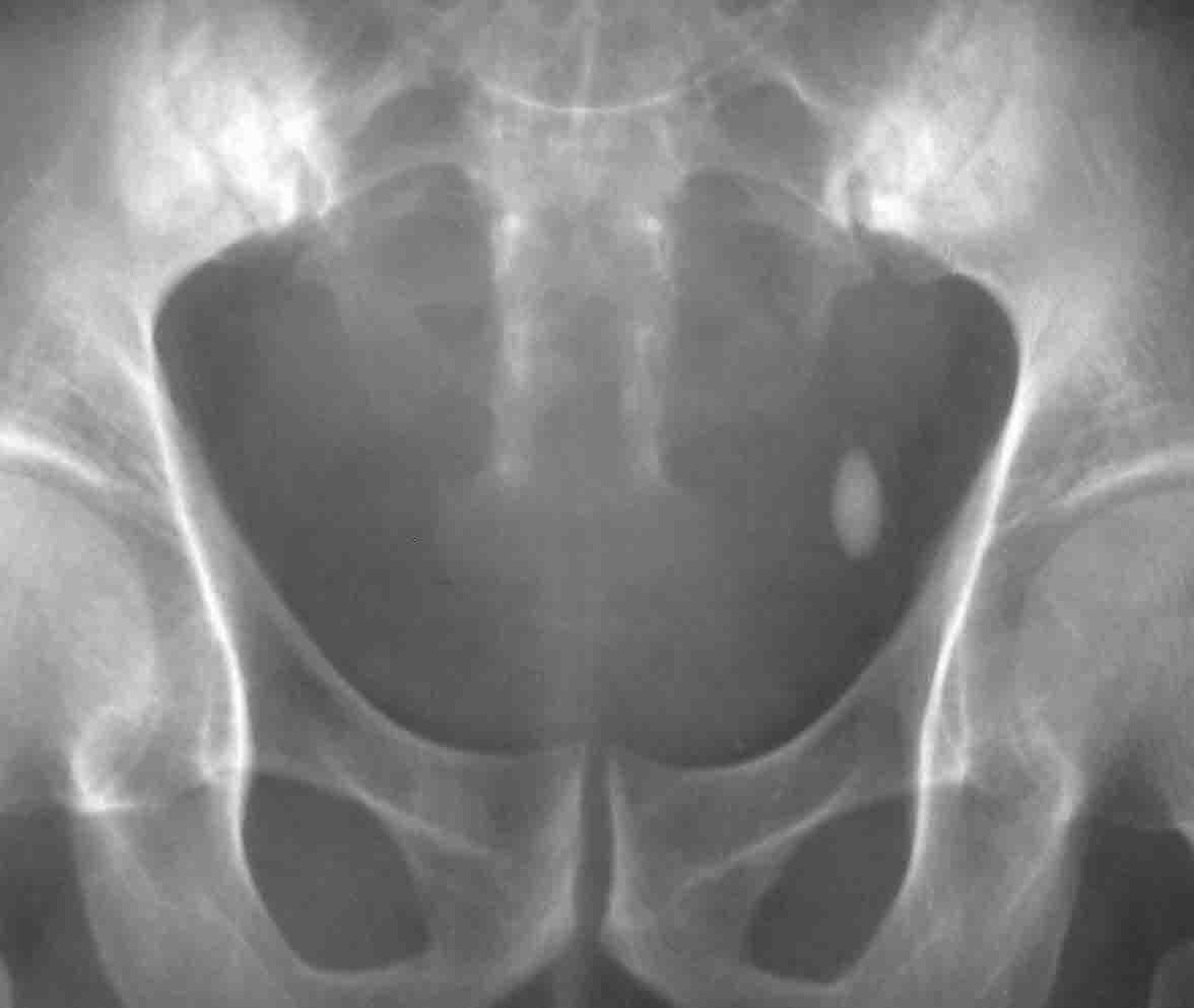
性别:男 60岁,因左侧输尿管末端结石行ivp,上述5张片分别为kub片和7分 15分 30分及120分钟延迟片.






[本贴已被 翁志蓬 于 2006-9-28 8:52:22 修改过]

作者: daiyangui    时间: 2006-9-28 04:21
左输尿管下段结石
作者: 李世军    时间: 2006-9-28 04:57
左输尿管下段结石  
  
tongyi
作者: X-RAY    时间: 2006-9-28 04:58
双侧骶髂关节好象有问题
输尿管下段枣核样结石  
膀胱内高密度影应为造影剂充填后改变 考虑囊肿 ,巨大膀胱隙室?, 建议b超 ct检查
作者: mzldoctor    时间: 2006-9-28 06:07
你为什么不改变一下体位的呢
这样一个体位没有很大的诊断价值的拉
作者: 如醉卧风    时间: 2006-9-28 06:08
1、左侧输尿管下段结石。2、膀胱炎并膀胱巨大憩室。
作者: wxy7406    时间: 2006-9-28 07:04
静脉石

作者: binbin    时间: 2006-9-28 07:06
考虑可活动性膀胱结石
作者: dyqct    时间: 2006-9-28 07:12
支持5楼的分析,为什么不加照斜位、侧位或在透视下点片呢?
作者: 腾龙阁    时间: 2006-9-28 08:56
支持左输尿管下端结石!
作者: zhw974247    时间: 2006-9-28 17:52
输尿管下段枣核样结石  
膀胱内高密度影应为造影剂充填后改变 考虑囊肿 ,巨大膀胱隙室?, 建议b超 ct检查,加照斜位、侧位或在透视下点片.
作者: haha215315    时间: 2006-9-28 19:53
标题: 回复:x1052:没见过的ivp膀胱内高密度影.请大家分析可能是
以下是引用dyqct在2006-9-27 23:12:00的发言:[br]支持5楼的分析,为什么不加照斜位、侧位或在透视下点片呢?

作者: jinguoji    时间: 2006-9-28 23:08
输尿管下段结石.
作者: tzw136    时间: 2006-9-29 01:10
1.巨大膀胱憩室.
2.左输尿管下段枣核样结石或静脉石.
3.双侧骶髂关节病变.
作者: jiangjing    时间: 2006-9-29 01:52
1、左侧输尿管下段结石。2、膀胱炎并膀胱巨大憩室可能
作者: zhangxiangjun    时间: 2006-9-29 02:49
结石!
作者: 落叶    时间: 2006-9-29 03:15
支持11楼
作者: 中山医    时间: 2006-9-29 03:29
标题: 回复:x1052:没见过的ivp膀胱内高密度影.请大家分析可能是
1、左侧输尿管下段结石。2、膀胱炎并膀胱巨大憩室,为何不转体位观察?
作者: 碧水蓝天    时间: 2006-9-29 03:34
这个ivp是怎么作的7分15分的膀胱区摄片,是不是不用压迫腹带?考虑膀胱憩室,加照双斜位,骶髂关节病变考虑强直性脊柱炎
作者: 放牧人    时间: 2006-9-29 04:53
输尿管充盈像呢?
作者: zhangyongfa    时间: 2006-9-29 04:57
标题: 回复:x1052:没见过的ivp膀胱内高密度影.请大家分析可能是
可能为结石?
作者: 飞虎    时间: 2006-9-29 05:38
结石[其长轴与输尿管一致] 进一步逆行造影检查确诊
作者: lushijun    时间: 2006-9-29 14:39
同意6楼意见+双侧骶髂关节致密性骨炎
作者: ssmmxx    时间: 2006-9-29 23:23
1、左侧输尿管下段结石。2、膀胱炎并膀胱巨大憩室可能
作者: zoujunhui1977    时间: 2006-9-30 02:01
膀胱憩室
作者: 1lidenlin    时间: 2006-9-30 04:48
输尿管下段结石,膀胱内高密度考虑巨大憩室可能
作者: cefcmj    时间: 2006-9-30 05:02
支持左输尿管下端结石.
作者: banlangen1    时间: 2006-9-30 06:51
看走行位置应该是左输尿管下段结石,请把临床症状提供详细
作者: ZQYZZF    时间: 2006-9-30 08:22
你为什么不改变一下体位的呢?考虑1膀胱巨大憩室2左输尿管下段结石
作者: A3000    时间: 2006-10-6 07:09
形态部位不像输尿管结石啊,会不会是比较大的静脉石???
作者: 逸风    时间: 2006-10-6 07:44
随着时间的延长,膀胱内高密度病灶密度逐渐增高,支持膀胱炎并膀胱巨大憩室的诊断.
作者: 碧水蓝天    时间: 2006-10-6 23:08
收回以前的话,骶髂关节没病,与照片有关
作者: 医盲    时间: 2009-9-8 02:01
考虑左侧输尿管下段结石,膀胱巨大憩室?
作者: zqzwq    时间: 2009-9-8 19:47
膀胱内高密度影应为造影剂充填后改变, 考虑囊肿或巨大膀胱隙室?, 建议b超、ct检查
作者: shibing    时间: 2014-8-21 16:02
ct




欢迎光临 医影在线 (http://bbs.radida.com/bbs/) Powered by Discuz! X3.2