医影在线
标题: X1073:[原创]女,63,咳嗽,咳血1天,伴胸闷胸痛,查体未闻及干 [打印本页]
作者: cyy136 时间: 2006-10-3 17:30
标题: X1073:[原创]女,63,咳嗽,咳血1天,伴胸闷胸痛,查体未闻及干
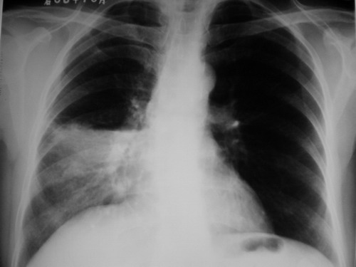
女,63,咳嗽,咳血1天,伴胸闷胸痛,查体未闻及干湿性罗音.

[本贴已被 cefcmj 于 2006-10-3 11:13:39 修改过]
作者: cyy136 时间: 2006-10-3 17:32
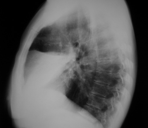
标题: 回复:[原创]右侧位

[本贴已被 cefcmj 于 2006-10-3 10:25:53 修改过]
作者: 高飞 时间: 2006-10-3 17:57
右中叶实变,侧位片示右上、下叶见斑点状阴影,结合病史,如是大叶性肺炎,应有发热。患者咳血,年龄较大,应警惕肿瘤,可是右肺门未见明显增大,周围见斑点影,还是先考虑结核。建议进一步纤支镜检查。
作者: kjgj 时间: 2006-10-3 18:43
右肺中叶综合征,结合病史,"女,63,咳嗽,咳血1天,伴胸闷胸痛,查体未闻及干湿性罗音."
应高度警惕肿瘤,建议进步检查.
作者: dyqct 时间: 2006-10-3 19:31
考虑右中叶大叶性肺炎,建议严格抗炎治疗后复查除外肿瘤。
作者: ZYYTHS 时间: 2006-10-3 21:40
右中叶大叶性肺炎(右肺中叶实变,体积未见明显变化-叶间裂未见明显移位)请结合临床症状体征进一步分析;(咳血并非为结核或肺癌所特有)
作者: wansheng 时间: 2006-10-3 22:06
标题: 回复:x1073:[原创]女,63,咳嗽,咳血1天,伴胸闷胸痛,查体未闻
以下是引用dyqct在2006-10-3 11:31:00的发言:[br]考虑右中叶大叶性肺炎,建议严格抗炎治疗后复查除外肿瘤。
作者: jinguoji 时间: 2006-10-3 22:28
考虑右中叶大叶性肺炎,建议严格抗炎治疗后复查除外肿瘤。
作者: rrh128 时间: 2006-10-3 22:51
1:右中叶肺炎,短期复查.2肺气肿.
作者: plato 时间: 2006-10-4 00:17
右肺中叶大叶性肺炎
作者: 欧阳双全 时间: 2006-10-4 00:24
大叶性肺炎!
作者: luoshuilong 时间: 2006-10-4 00:59
右肺中叶大叶性肺炎,建议抗炎后复查。再做一个痰捡检。
作者: leelonghaw 时间: 2006-10-4 01:35
右肺中叶综合症,多考虑炎性改变,但临床体格检查于炎性改变不符合,建议抗炎治疗后复查。
作者: jiangjing 时间: 2006-10-4 03:31
考虑肺梗塞或中叶感染[病程1天以梗塞可能性大](右肺中叶实变,体积未见明显变化-叶间裂未见明显移位)请结合临床症状体征进一步分析;
作者: 一如我在 时间: 2006-10-4 03:50
大叶肺炎 必要时ct
作者: zhw974247 时间: 2006-10-4 04:24
右中叶大叶性肺炎(右肺中叶实变,体积未见明显变化-叶间裂未见明显移位)请结合临床症状体征进一步分析;(咳血并非为结核或肺癌所特有)建议严格抗炎治疗后复查除外肿瘤。
作者: heidaoren 时间: 2006-10-4 04:36
5月见过一个类似的片子,也是右肺中叶实变,患者50多岁,男性,以咯血2天为主诉拍片,临床血象不高,无发热等症状,当时报的是"考虑右肺中叶炎症,抗炎治疗后随诊,以排除其它."没敢说死.随诊胸片阴影吸收.现在很多病已不典型了.希望各位参考.
作者: WENYM 时间: 2006-10-4 05:19
右肺中叶大叶性肺炎
作者: myfyyds 时间: 2006-10-4 05:34
很典型,中叶大叶肺炎,不张应该叶间裂移位
作者: zhangxiangjun 时间: 2006-10-4 06:45
考虑右中叶大叶性肺炎,建议严格抗炎治疗后复查除外肿瘤。
但是此人年纪较大 , 且喀血。。。值得跟踪观察/。
作者: haha215315 时间: 2006-10-4 17:15
右肺中叶大叶性肺炎.
作者: 潘X 时间: 2006-10-4 18:07
右中叶综合征,建议治疗一周后复查,不能排除占位性病变所致之改变.
作者: xyz750403 时间: 2006-10-5 02:08
考虑右肺中叶不张,肿瘤可能性大!
作者: 余辉 时间: 2006-10-5 03:04
我来点别的咯,病史较短,考虑右中叶肺梗塞
作者: 落叶 时间: 2006-10-5 05:27
右中叶大叶性肺炎,抗炎治疗后复查,肿瘤待排.
作者: 如醉卧风 时间: 2006-10-5 06:05
本人认为首选肿瘤致中叶阻塞性肺炎,再与普通炎症相鉴别.
作者: 光线 时间: 2006-10-5 07:01
还是先考虑中叶大叶性肺炎。肯定要警惕肿瘤。
作者: 87204141 时间: 2006-10-5 20:50
大叶肺炎局限于中叶的很少见。。。
临床没有发烧更不支持。。
我认为中叶综合征好考虑一些,必要时做个ct看看肺门和中间段支气管很有必要
作者: 牵手 时间: 2006-10-6 01:15
ct检查最好
作者: lanlong1979 时间: 2006-10-6 04:54
较典型的右中叶大叶性肺炎影像表现,但老年人因免疫能力等方面的原因,大多数时候临床表现可不典型。建议抗炎治疗后复查。
作者: 如醉卧风 时间: 2006-10-6 07:04
1中叶阻塞性肺炎(考虑肿瘤所致).2大叶性肺炎?
作者: 碧水蓝天 时间: 2006-10-6 23:29
标题: 回复:x1073:[原创]女,63,咳嗽,咳血1天,伴胸闷胸痛,查体未闻
以下是引用dyqct在2006-10-3 11:31:00的发言:[br]考虑右中叶大叶性肺炎,建议严格抗炎治疗后复查除外肿瘤。
作者: 安康二院 时间: 2006-10-7 02:29
较支持肺炎说法,不过请同志们观察下。那个是不是液平呢
作者: cqy779764 时间: 2006-10-7 03:44
右肺中叶综合症,建议治疗后复查或ct除外肿瘤
作者: 流星1234 时间: 2006-10-7 03:51
右肺中叶实变,体积无变化,考虑大叶性肺炎
作者: sunnydxx2000 时间: 2006-10-7 05:37
右中叶大叶性肺炎 建议ct排除阻塞肺炎
作者: plato 时间: 2006-10-7 20:27
右侧肺中叶炎症,建议ct检查
作者: tom57964 时间: 2006-10-8 00:12
右肺中叶大叶性肺炎.治疗后复查除外肿瘤。
作者: ssmmxx 时间: 2006-10-8 07:38
右肺中叶综合症,多考虑炎性改变,建议抗炎治疗后复查除外肿瘤。
作者: jjjchys 时间: 2006-10-8 13:48
标题: 回复:x1073:[原创]女,63,咳嗽,咳血1天,伴胸闷胸痛,查体未闻
以下是引用dyqct在2006-10-3 11:31:00的发言:[br]考虑右中叶大叶性肺炎,建议严格抗炎治疗后复查除外肿瘤。
作者: liuyue 时间: 2006-10-8 15:06
右中叶大叶性肺炎,建议抗炎治疗后复查
作者: zhangkening 时间: 2006-10-9 05:17
这应该是典型的右肺中叶综合症吧,我建议做个ct排除一下占位
作者: zgyycds 时间: 2006-10-9 07:24
大叶性肺炎,可以当教学片了
作者: 千里草 时间: 2006-10-9 17:42
右中肺野示一片状高密度影,上缘较清。侧位呈三角形,尖端指向肺门。考虑:右肺癌可能性大。
作者: 731208 时间: 2006-10-11 00:31
右肺中叶炎症,建议抗炎后复查。
必要时结合ct检查,除外阻塞性炎症。
作者: 寒叶蛰夫 时间: 2006-10-11 07:30
中间段支气管存在,肺体积未见明显缩小,所以应考虑右中叶大叶性肺炎。
作者: jyxuli 时间: 2006-10-23 03:49
考虑右中叶综合症,建议抗炎治疗后复查。
作者: yrjw 时间: 2007-8-14 02:52
右肺中叶综合征,结合病史,"女,63,咳嗽,咳血1天,伴胸闷胸痛,查体未闻及干湿性罗音."
应高度警惕肿瘤,建议进步检查.
作者: yrjw 时间: 2007-8-29 05:27
考虑右中叶大叶性肺炎,建议严格抗炎治疗后复查除外肿瘤。
作者: bjj12345678 时间: 2007-8-29 05:57
右肺中叶大叶性肺炎!!
作者: shibing 时间: 2013-5-8 07:38
CT
| 欢迎光临 医影在线 (http://bbs.radida.com/bbs/) |
Powered by Discuz! X3.2 |