医影在线

标题: X1074:[转帖] DXY讨论网站 上 的几张胸片 挺好的 [打印本页]

作者: x-ray    时间: 2006-10-5 00:50
标题: X1074:[转帖] DXY讨论网站 上 的几张胸片 挺好的
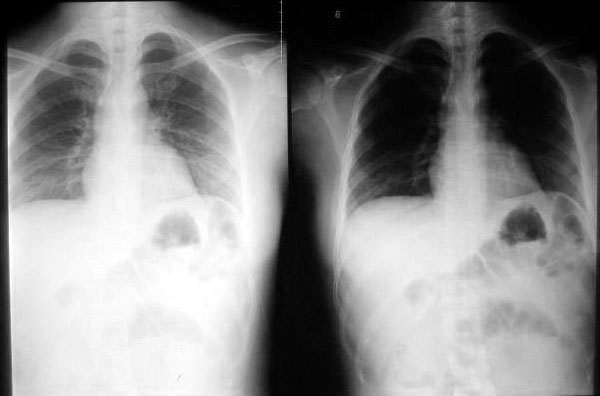
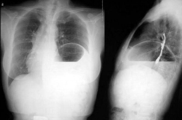
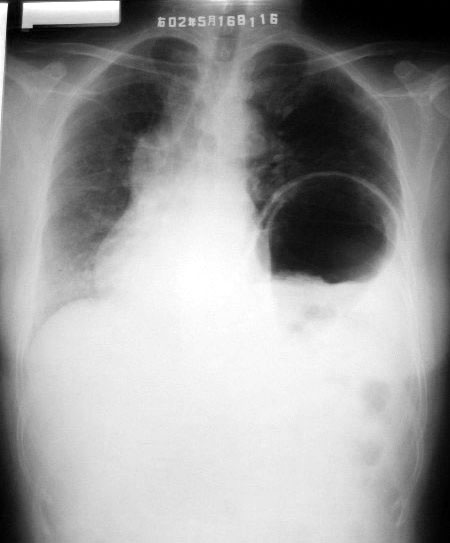
第一张02年


第二张03年


第三张04年



[本贴已被 翁志蓬 于 2006-10-6 16:37:10 修改过]

作者: jiangjing    时间: 2006-10-5 02:31
考虑隔疝
作者: zrs    时间: 2006-10-5 02:37
按楼主给出的片子时间,顺序说明病变有可恢复性及复发性,也只有左膈疝了,并且是可复性疝。
作者: 余辉    时间: 2006-10-5 02:59
按楼主给出的片子时间,顺序说明病变有可恢复性及复发性,也只有左膈疝了,并且是可复性疝。
作者: elity69    时间: 2006-10-5 04:04
考虑隔疝
作者: dyqct    时间: 2006-10-5 04:57
支持2楼意见。
作者: 落叶    时间: 2006-10-5 05:14
左侧隔疝.
作者: fxt2347    时间: 2006-10-5 05:33
典型左侧可复性隔疝
作者: 如醉卧风    时间: 2006-10-5 05:59
左侧膈疝没问题,不足之处在于食道吞钡后没有卧位片,看来经验少了点.
作者: 光线    时间: 2006-10-5 06:10
支持!
作者: jinguoji    时间: 2006-10-5 07:18
典型左侧可复性隔疝
作者: 87204141    时间: 2006-10-5 20:34
各位老师请说说膈疝和膈膨升的鉴别。谢谢了
作者: wansheng    时间: 2006-10-5 23:12
支持各位的意见
作者: 牵手    时间: 2006-10-6 00:30
good
作者: 艺术家    时间: 2006-10-6 02:59
楼上说得对,楼下快撤退.
作者: 三人行必    时间: 2006-10-6 05:57
左侧膈疝
作者: 如醉卧风    时间: 2006-10-6 07:01
支持!
作者: haha215315    时间: 2006-10-6 17:24
标题: 回复:x1074:[转帖] dxy讨论网站 上 的几张胸片 挺好的
以下是引用zrs在2006-10-4 18:37:00的发言:[br]按楼主给出的片子时间,顺序说明病变有可恢复性及复发性,也只有左膈疝了,并且是可复性疝。

作者: 碧水蓝天    时间: 2006-10-6 22:37
标题: 回复:x1074:[转帖] dxy讨论网站 上 的几张胸片 挺好的
以下是引用87204141在2006-10-5 12:34:00的发言:[br]各位老师请说说膈疝和膈膨升的鉴别。谢谢了

作者: sunnydxx2000    时间: 2006-10-7 05:36
左策膈疝
作者: liudongxu1972    时间: 2006-10-7 18:16
本例的诊断各位已经很肯定了---左侧膈疝。
膈肌有七个薄弱点:主动脉裂孔、下腔静脉裂孔、食道裂孔,及双侧对称的腰肋三角、胸肋三角。
膈疝常见于食道裂孔、胸肋三角、腰肋三角。
如果膈肌发育异常或后天外伤后破裂,可直接形成膈疝。
本例疝出的胃结构较大、较多,考虑为膈肌发育异常可能性大。经生理裂孔可能性小。
食道吞钡做得不完善,应该使胃部显影并加照卧位,找出疝环。
有没有可复性很难说,以前可复并不等于现在也可复,所以还是不要轻易下可复性疝。
作者: ssmmxx    时间: 2006-10-8 07:36
左侧隔疝.
作者: liuyue    时间: 2006-10-8 15:13
左侧隔疝.  
谢谢楼主提供的好资料!
作者: FJ    时间: 2006-10-9 03:35
请问9楼的,我是初学者,为什么要看食道钡餐后卧位片
作者: zhangkening    时间: 2006-10-9 04:49
应该是膈疝
作者: 一分像    时间: 2011-9-27 10:14
第一次见,学习
作者: 宋糖    时间: 2011-9-27 12:29
20楼的   tc  分析的 很精辟!
作者: xkncYYhyq    时间: 2011-9-27 15:17
膈肌光滑清晰,膈膨升可能性大
作者: zhanggenliang    时间: 2011-10-3 23:03
膈疝。相当不错
作者: 李仕雄    时间: 2011-10-6 20:38
典型左侧可复性隔疝[s:7]




欢迎光临 医影在线 (http://bbs.radida.com/bbs/) Powered by Discuz! X3.2