医影在线
标题: CT4819:[求助] 腹部CT平扫片,请各位给会会诊。 [打印本页]
作者: zrs 时间: 2006-10-6 04:53
标题: CT4819:[求助] 腹部CT平扫片,请各位给会会诊。
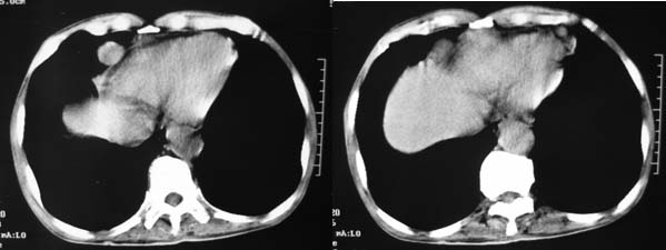
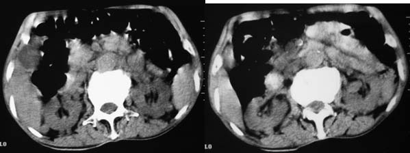
患者男性,74岁,腹部隐痛两月余,血、尿常规检查正常。大腿及腋下皮下各有两枚结节,最大者约3cm,活动度良好,b超提示为囊性。腹部ct平扫见,心包周围、肾周间隙多个大小不一软组织密度结节。
病人条件所限不做增强,烦请各位给会诊一下,谢谢!
(结果公布:http://www.radida.com/bbs/forum.php?mod=viewthread&tid=16622)







[本贴已被 zrs 于 2006-10-5 20:54:00 修改过]
[本贴已被 翁志蓬 于 2006-10-5 23:34:43 修改过]
补充一点,胸部ct未见异常,皮下结节现做了病理,结果等待中。
[本贴已被 zrs 于 2006-10-7 16:23:12 修改过]
[本贴已被 zrs 于 2006-10-7 16:24:25 修改过]
[本贴已被 翁志蓬 于 2006-10-17 23:52:05 修改过]
作者: 奕帆 时间: 2006-10-6 05:21
扫描范围内未见明显肿块影。
首先:不知有没有结核中毒症状,有的话我考虑双侧肾上腺结核(左侧肾上腺好像有钙化点)并淋巴扩散、淋巴结受累肿大。注意心包周围的淋巴结哦!
其次考虑:恶性肿瘤转移所致。
请密切结合临床。
作者: 逸风 时间: 2006-10-6 05:46
标题: 回复:[求助] 腹部ct平扫片,请各位给会会诊。
病例发出已经一个小时了,怎么没有人回复??
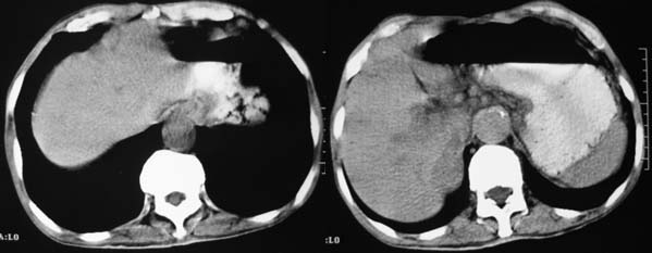
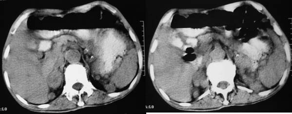
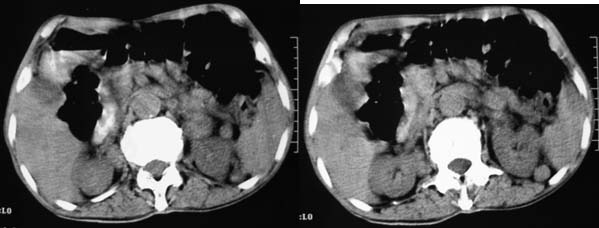
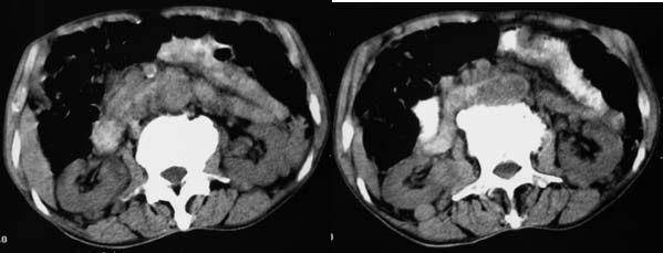
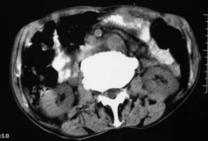
上腹部横断图象显示:心包,胃体小弯侧,肾等器官周围以及肠系膜腹膜后多发的大小不等的小结节样软组织密度影,部分境界不清,未见明显钙化.如此广泛的小结节样影,我认为首先考虑淋巴结肿大.能够引起淋巴结肿大的最常见的原因为:1.炎症(结核常见);2.转移;3.淋巴瘤.其中淋巴结结核不同程度可见钙化,而且这么大范围少见,暂不考虑.
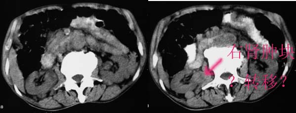
右侧肾上腺区可见软组织密度肿块,密度欠均匀,未见钙化;右肾下极内侧可见实质局限性增厚并呈肿块样突出肾轮廓.
临床只有腹痛,血尿常规正常.
综合上述表现及临床,首先考虑右侧肾上腺及腹腔,腹膜后淋巴结转移.其次考虑淋巴瘤.
右肾肿块为原发灶??还是转移??
抛砖引玉,期待各位老师分析....

[本贴已被 逸风 于 2006-10-5 23:14:44 修改过]
作者: 拾荒者 时间: 2006-10-6 05:49
考虑多发性淋巴结增生症。
作者: guzhongliangddd 时间: 2006-10-6 06:13
肝胃间隙,双侧肾周间隙,腹主动脉旁类圆形软组织结节影,首先考虑是增大的淋巴结。
从平扫看:左肾上腺区域见软组织结节,内见钙化。
诊断印象1:左肾上腺占位伴淋巴结转移?
2:淋巴结增大,性质?转移或其它?
作者: 如醉卧风 时间: 2006-10-6 06:35
腹部多个结节,肝脏实质未见异常密度,转移可不考虑,淋巴瘤可能性大.其次可考虑囊虫病(b超提示囊性).
作者: dyqct 时间: 2006-10-6 06:42
考虑;1、右肾上腺肿瘤伴淋巴结转移首考;
2、淋巴瘤?
3、建议活检(既然大腿及腋下有结节,很方便吗)。
作者: jinguoji 时间: 2006-10-6 06:53
首先考虑右侧肾上腺及腹腔,腹膜后淋巴结转移.其次考虑淋巴瘤.
作者: ssmmxx 时间: 2006-10-6 06:58
首先考虑右侧肾上腺及腹腔,腹膜后淋巴结转移.其次考虑淋巴瘤.
作者: 岩光蛋 时间: 2006-10-6 07:25
我觉得应该这样下——多发性淋巴结肿大,建议穿刺活检。
作者: 许协成 时间: 2006-10-6 07:58
除了各位考虑的以外,还应考虑多发性囊肿;结节病;没有临床资料,又不能增强,难啊!
作者: wxy7406 时间: 2006-10-6 08:13
首先考虑淋巴瘤。
作者: hqr123 时间: 2006-10-6 09:41
我赞同首先考虑淋巴瘤。
作者: 宝天曼 时间: 2006-10-6 15:03
考虑多发性淋巴结增生症。
建议穿刺活检。
作者: 1983 时间: 2006-10-6 15:50
建议穿刺活检
作者: zyyths 时间: 2006-10-6 16:01
双侧肾上腺区肿块、广泛腹膜后淋巴结肿大、心包周围淋巴结肿大--多考虑为转移瘤(建议行胸部扫描,是否有肺癌的存在,肺癌为最易引起肾上腺腺转移的肿瘤;肾上腺的淋巴瘤就相当少见了)
作者: fumaogui 时间: 2006-10-6 16:17
首先考虑转移瘤.
作者: 牵手 时间: 2006-10-6 16:20
做薄层扫描在分析最好
作者: drzhang8888 时间: 2006-10-6 18:22
考虑;1、右肾上腺肿瘤伴淋巴结转移首考;
2、淋巴瘤?
3、建议活检(既然大腿及腋下有结节,很方便吗)。
支持
作者: 守望可可 时间: 2006-10-6 19:02
标题: 回复:ct4819:[求助] 腹部ct平扫片,请各位给会会诊。
以下是引用dyqct在2006-10-5 22:42:00的发言:[br]考虑;1、右肾上腺肿瘤伴淋巴结转移首考;[br] 2、淋巴瘤?[br] 3、建议活检(既然大腿及腋下有结节,很方便吗)。
很支持!
作者: jiangjing 时间: 2006-10-6 19:05
双侧肾上腺区肿块、广泛腹膜后淋巴结肿大、心包周围淋巴结肿大--多考虑为转移瘤.左侧肾上腺病灶内见点结钙化灶。超声大腿结节影为囊性提示寄生虫感染可能
作者: 东北 时间: 2006-10-6 19:25
淋巴瘤
作者: liaoqiang 时间: 2006-10-6 20:58
多发淋巴结肿大,考虑淋巴瘤.
作者: 同 时间: 2006-10-6 22:10
标题: 回复:ct4819:[求助] 腹部ct平扫片,请各位给会会诊。
以下是引用guzhongliangddd在2006-10-5 22:13:00的发言:[br]肝胃间隙,双侧肾周间隙,腹主动脉旁类圆形软组织结节影,首先考虑是增大的淋巴结。[br]从平扫看:左肾上腺区域见软组织结节,内见钙化。[br]诊断印象1:左肾上腺占位伴淋巴结转移?[br] 2:淋巴结增大,性质?转移或其它?
作者: chen123 时间: 2006-10-6 22:39
右侧心膈多角处还有一个类圆形结节哦
作者: 卜一 时间: 2006-10-6 23:23
右侧肾上腺区软组织肿块影,密度不均,其周围及腹主动脉周围,心包周围均见多个淋巴结肿大.结合临床首先考虑:右肾上腺恶性肿瘤伴腹腔内及心包淋巴结转移.
作者: 朱磊 时间: 2006-10-7 01:00
上腹部横断图象显示:心包,胃体小弯侧,肾等器官周围以及肠系膜腹膜后多发的大小不等的小结节样软组织密度影,部分境界不清,未见明显钙化.如此广泛的小结节样影,我认为首先考虑淋巴结肿大.能够引起淋巴结肿大的最常见的原因为:1.炎症(结核常见);2.转移;3.淋巴瘤.其中淋巴结结核不同程度可见钙化,而且这么大范围少见,暂不考虑.
右侧肾上腺区可见软组织密度肿块,密度欠均匀,未见钙化;右肾下极内侧可见实质局限性增厚并呈肿块样突出肾轮廓.
临床只有腹痛,血尿常规正常.
综合上述表现及临床,首先考虑右侧肾上腺及腹腔,腹膜后淋巴结转移.其次考虑淋巴瘤.
右肾肿块为原发灶??还是转移??建议活检(既然大腿及腋下有结节,很方便吗)。
作者: yemin92007 时间: 2006-10-7 01:05
双侧肾及右肾可见肿块影伴心包周围腹腔腹膜后腹主动脉旁多发肿大淋巴结。
印象:1、考虑转移性质,积极寻找原发病灶注意与淋巴瘤鉴别。
2、建议穿刺活检。
作者: klw 时间: 2006-10-7 02:55
多发淋巴结肿大,考虑淋巴瘤
作者: cal362 时间: 2006-10-7 02:59
双肺及腹膜后多个大小不等的结节影,两侧肾上腺增大,右肾内可见异常密度影,右肾静脉似乎增粗,右肾癌并多处转移 ?肺癌多处转移?建议腹部增强并进一步检查肺部.
作者: elity69 时间: 2006-10-7 04:42
肝胃间隙,双侧肾周间隙,腹主动脉旁类圆形软组织结节影,首先考虑是增大的淋巴结。
从平扫看:左肾上腺区域见软组织结节,内见钙化。
诊断印象1:左肾上腺占位伴淋巴结转移?
2:淋巴结增大,性质?转移或其它?
作者: 流星1234 时间: 2006-10-7 04:59
根据患者年龄较大,首先考虑转移瘤
作者: wangzhongliang 时间: 2006-10-7 17:37
多处淋巴结肿大,首先考虑淋巴瘤。建议穿刺活检。
作者: liudongxu1972 时间: 2006-10-7 20:12
考虑:1、右肾上腺肿瘤伴淋巴结转移;
2、淋巴瘤;
3、寄生虫感染。
作者: 如醉卧风 时间: 2006-10-7 20:43
活检吧
作者: zhangweiqiang 时间: 2006-10-7 21:10
这个病人大腿及腋下有二个结节,我考虑神经纤维瘤病
作者: liuyue 时间: 2006-10-8 01:27
首先考虑右侧肾上腺及腹腔,腹膜后淋巴结转移.其次考虑淋巴瘤.
作者: 乡医 时间: 2006-10-8 01:50
等待结果,越快越好!
作者: zylcq608 时间: 2006-10-8 06:20
支持7楼意见。
作者: zxczxc 时间: 2010-7-14 22:54
淋巴瘤。腹部多发结节。
作者: zxczxc 时间: 2011-3-20 19:16
标题: Re:CT4819:[求助] 腹部CT平扫片,请各位给会会
腹膜后肿大淋巴结,首先考虑转移。精原细胞瘤转移。
| 欢迎光临 医影在线 (http://bbs.radida.com/bbs/) |
Powered by Discuz! X3.2 |