医影在线
标题: X1082:胸部平片,请会诊 [打印本页]
作者: zwq888 时间: 2006-10-9 00:44
标题: X1082:胸部平片,请会诊
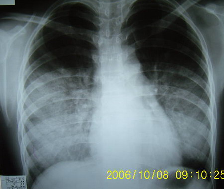
男 18岁 咳嗽 胸痛3天 无咳血 发烧。


[本贴已被 cefcmj 于 2006-10-8 21:09:28 修改过]
作者: dyqct 时间: 2006-10-9 01:57
主要双肺下叶背段病变,边界不清。
考虑:浸润型肺结核,建议查血象及血沉。
作者: 碧水蓝天 时间: 2006-10-9 02:05
追问详细病史,肺水肿?
作者: lzdyjg 时间: 2006-10-9 02:38
诊断:肺炎
依据:病变跨叶双侧发病,下叶为主,叶间裂增厚,显影,发病时间短,症状不明显可见于年轻患者
消炎处理随访复查
作者: doctorw 时间: 2006-10-9 02:49
支持4楼!
作者: shiqingfa 时间: 2006-10-9 03:04
双肺中下野片状阴影,密度不均,边界模糊,患者年轻,发病时间短,首先考虑炎症,建议抗炎后复查
作者: 光线 时间: 2006-10-9 03:08
考虑双肺炎症,建议抗炎治疗后复查。
作者: shilong 时间: 2006-10-9 03:17
建议:支原体肺炎 右上肺锁骨区似乎不干净干酪性肺炎待排 建议做一下冷凝集检查
作者: zyyths 时间: 2006-10-9 03:50
双肺部分实变,以渗出为主---大叶性肺炎,治疗复查。
作者: mzh123 时间: 2006-10-9 03:51
肺炎第一,结核第二。
作者: 流星1234 时间: 2006-10-9 03:54
标题: 回复
考虑 支原体肺炎[face=宋体][/face]
[本贴已被 流星1234 于 2006-10-8 21:20:14 修改过]
作者: klw 时间: 2006-10-9 03:55
追问详细病史,肺水肿?肺炎?
作者: 许协成 时间: 2006-10-9 04:03
支气管扩张并双下肺背段肺炎.
作者: chuandongliuhua 时间: 2006-10-9 04:14
抗炎后复查.
作者: jinguoji 时间: 2006-10-9 04:16
考虑双肺炎症,建议抗炎治疗后复查。
作者: 登峰 时间: 2006-10-9 04:27
双肺门周围磨玻璃样病变 对称发生 典型的蝶翼征 中央型肺水肿
作者: fs 时间: 2006-10-9 04:30
双肺中下野片状阴影,密度不均,边界模糊,患者年轻,发病时间短,首先考虑大叶性肺炎,建议抗炎后复查请补充相关病史以排除肺水肿结核
作者: zwq888 时间: 2006-10-9 05:19
考虑肺炎,请结合临床抗炎治疗后短期复查。临床体症不太支持肺水肿。
作者: 艺术家 时间: 2006-10-9 05:33
对于未成年人诊断tb千万小心,抗捞药一上可是一年,损害肝肾功能不合好,还是先抗炎为上
作者: 如醉卧风 时间: 2006-10-9 06:07
两肺蝶翼状影:肺水肿.问一下病史,有否农药接触史.
作者: WENYM 时间: 2006-10-9 06:08
建议查痰除外含铁血黄素沉着
作者: ssmmxx 时间: 2006-10-9 06:14
追问详细病史.
1.肺炎?
2.肺水肿?
作者: guduchunmeng 时间: 2006-10-9 07:09
支持肺水肿,请上传病使。
作者: zgyycds 时间: 2006-10-9 07:16
支原体肺炎或是病毒感染?血象如何啊?
作者: jiangjing 时间: 2006-10-9 07:41
影像与临床表现明显不符[临床表现轻]------支原体肺炎
作者: zhw974247 时间: 2006-10-9 15:02
两肺蝶翼状影:肺水肿.问一下病史,有否农药接触史.溺水,肾病等.
作者: 千里草 时间: 2006-10-9 17:35
两中下肺野示大片状密度增高影,边缘模糊。
考虑:1、肺水肿,在问问病史有无其它接触史。
2、支原体肺炎,建议治疗后复查。
作者: haha215315 时间: 2006-10-9 18:13
双肺炎性改变,以支原体肺炎的可能性大.
作者: anbo5502 时间: 2006-10-9 20:21
标题: 回复:x1082:胸部平片,请会诊
以下是引用jiangjing在2006-10-8 23:41:00的发言:[br]影像与临床表现明显不符[临床表现轻]------支原体肺炎
作者: wmingzhong 时间: 2006-10-9 21:06
两下肺云雾状密度增高影,较淡,不排除过敏性肺炎可能,短期复查
作者: 731208 时间: 2006-10-9 22:48
考虑双肺炎症,建议抗炎后复查。肺水肿待除外。
作者: wangzhongliang 时间: 2006-10-9 23:47
图片条件不当,双侧上叶显示不清,考虑炎症,建议治疗后复查,除外结核。
作者: 王立前 时间: 2006-10-9 23:47
肺炎
作者: 飞虎 时间: 2006-10-10 00:07
考虑 渗出性病变炎症可能性大
作者: zhb765ww 时间: 2006-10-10 04:05
不知什么东西,真是怪???有没有复查的片子。
作者: 三人行必 时间: 2006-10-10 06:39
两中下肺大片状阴影,边缘模糊,密度较均匀,心脏大小形态无异常,首先考虑两下肺炎,建议结合临床及病史排除肺水肿。
作者: elity69 时间: 2006-10-10 08:00
诊断:肺炎
依据:病变跨叶双侧发病,下叶为主,叶间裂增厚,显影,发病时间短,症状不明显可见于年轻患者
消炎处理随访复查
作者: liudongxu1972 时间: 2006-10-10 15:44
肺炎,结核暂不考虑。抗感染2周后复查。
作者: zxyceo 时间: 2006-10-10 17:51
两肺下野大片阴影,边缘模糊,密度尚均匀,考虑大叶性肺炎,建议查wbc和血沉,并抗炎治疗后复查
作者: lianghong 时间: 2006-10-11 05:13
过敏性肺炎?
作者: fbing1123 时间: 2006-10-11 05:47
病史不祥,多考虑过敏性肺炎
作者: 如醉卧风 时间: 2006-10-11 06:55
蝶翼征很明显呀:接触性肺水肿.
作者: xtwangh 时间: 2006-10-11 16:54
炎症性大.治疗后复查
作者: zhangweiqiang 时间: 2006-10-11 20:33
肺泡蛋白沉着症,依据:肺炎应发热血象升高明显,肺泡蛋白沉着症表现往往与临床不符,表现重临床轻,肺水肿应心脏增大与本病鉴别点
作者: 安康二院 时间: 2006-10-12 03:08
考虑下肺蛋白沉积症
作者: 潘X 时间: 2006-10-12 18:13
先考虑肺炎,治疗一周后复查。
作者: zhangweiqiang 时间: 2006-10-13 15:57
肺泡蛋白沉着症
作者: 87204141 时间: 2006-10-14 05:58
考虑结核的战友难道不没有想想。这么明显的肺炎会不发烧?
作者: huxi 时间: 2006-10-15 03:37
本病人特点1/年龄小病史短2多叶发病心膈角存在肺野中外带病变更著3/无胸腔积液心脏无形态改变4病人无咳血无呼吸困难 因此肺水肿/肺出血病变可除外,暂时先考虑常见的肺炎,先消炎治疗后复查或仔细追问兵史
作者: shibing 时间: 2012-8-24 09:21
接触性肺水肿.
欢迎光临 医影在线 (http://bbs.radida.com/bbs/) |
Powered by Discuz! X3.2 |