医影在线

标题: CL0306:【】[原创贴图]肾上腺出血 [打印本页]

作者: friedman    时间: 2006-10-15 18:23
标题: CL0306:【】[原创贴图]肾上腺出血
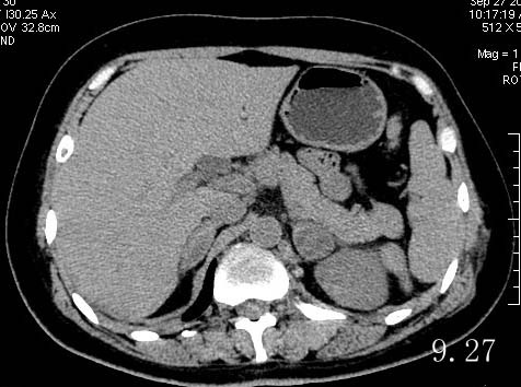
女,47岁,9.7车祸后,肾上腺出血,9.27复查






[本贴已被 翁志蓬 于 2008-10-1 0:21:14 修改过]

作者: ssmmxx    时间: 2006-10-15 19:05
怎么证明是肾上腺出血,为什么不考虑肿瘤出血?
作者: 小翟    时间: 2006-10-18 02:26
肾上腺出血系应急性出血
作者: daimarlingna    时间: 2006-10-18 06:40
不会看,请说详细
作者: friedman    时间: 2006-10-18 22:35
9.7车祸i受伤,之前无任何症状。从ct片上看,9.27与9.7相比,其高密度吸收。
作者: zyx168    时间: 2006-10-23 04:28
很明显是左肾上腺区一个类圆形病灶,边缘清晰,九月七日内见新月形或半月形高密度出血灶,到九月二十七日液化成低密度,这是包膜下的一个大血肿.如果没有治疗后再次复查病灶吸收缩小或手术证实的话,很难区分肾上腺囊肿或腺瘤合并出血.
作者: liqf    时间: 2006-10-24 17:52
双侧肾上腺均有占位,都是出血吗?9月7日与27日片不是同一层面,应再多提供几幅图片。
作者: jinguoji    时间: 2006-10-25 18:01
很难区分肾上腺囊肿或腺瘤合并出血.
作者: guangcaitang    时间: 2006-10-26 05:36
双侧肾上腺肿块,应该不只是出血这么简单。tb?肿瘤?如果3次ct检查都测量病变区ct就好了。我感觉肾上腺病变是实质性的,搜索一下肺部改变或许有帮助。
作者: highsky    时间: 2006-11-2 06:50
我怎么觉得双侧肾上腺区都有占位啊。难道都是出血吗?另外肾上腺出血应该肾上腺区模糊啊,肾上腺没有包膜所以出血应该没有固定外形啊。希望楼主能提供有力的证据
作者: zyyths    时间: 2006-11-2 17:19
不太典型,双侧肾上腺占位,腺瘤可能性大,左侧合并出血;结合临床随访
作者: songzhizhou    时间: 2006-11-19 20:36
右边也有些不对。是该继续关注。
作者: radio8201    时间: 2006-12-12 01:40
不象单纯出血
作者: hexue    时间: 2009-6-20 07:47
谢谢 学习了
作者: yuhongjun    时间: 2010-1-2 17:24
双侧肾上腺占位,腺瘤可能性大,左侧合并出血;结合临床随访。
作者: shibing    时间: 2012-6-10 09:00
肾上腺出血




欢迎光临 医影在线 (http://bbs.radida.com/bbs/) Powered by Discuz! X3.2