医影在线
标题: CT4907:[原创]胸部平扫,请讨论!谢谢!! [打印本页]
作者: guzhongliangddd 时间: 2006-10-15 22:31
标题: CT4907:[原创]胸部平扫,请讨论!谢谢!!
(结果公布:http://www.radida.com/bbs/forum.php?mod=viewthread&tid=16763)













[本贴已被 翁志蓬 于 2006-10-21 1:10:58 修改过]
作者: dyqct 时间: 2006-10-15 23:11
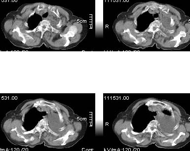
考虑:左侧大量胸腔积液伴下叶压迫性且不张。
作者: 一棵树 时间: 2006-10-16 00:17
建议增强扫描,出外占位。
作者: 大漠小鸟 时间: 2006-10-16 00:30
标题: [讨论]
肝顶部密度是不是不正常?心包有没有积液?胸椎有没有侧弯?
[本贴已被 大漠小鸟 于 2006-10-15 16:31:35 修改过]
作者: 胡生启 时间: 2006-10-16 00:31
同意
作者: kjgj 时间: 2006-10-16 01:06
标题: 回复:[原创]胸部平扫,请讨论!谢谢!!
以下是引用dyqct在2006-10-15 15:11:00的发言:[br]考虑:左侧大量胸腔积液伴下叶压迫性且不张。
不能排除恶性病变,请进步检查.
作者: hhcckk 时间: 2006-10-16 01:16
中央型肺癌,下叶不张,胸水
作者: 东北 时间: 2006-10-16 01:36
左侧大量胸腔积液伴下叶压迫性且不张
作者: 余辉 时间: 2006-10-16 01:47
左侧大量胸腔积液伴下叶压迫性且不张,心包积液,左下叶支气管变窄,建议增强扫描,排除占位
作者: ajing1980 时间: 2006-10-16 02:55
左侧大量胸腔积液伴左下肺不张,左侧支气管狭窄,左舌段有膨胀感,中央型肺癌待排,心包有少量液体。肝顶部低密度影,需进一步检查
作者: 1390528 时间: 2006-10-16 03:12
建议左侧胸水抽出后复查
作者: jiangjing 时间: 2006-10-16 03:35
考虑:左侧大量胸腔积液伴下叶压迫性肺不张。建议胸水及进一步检查
作者: 河山 时间: 2006-10-16 03:49
左下叶肺不张伴左侧胸腔积液 建议增强ct检查排除肺癌
作者: 晓杰 时间: 2006-10-16 03:55
左侧大量胸腔积液伴左下肺不张,左侧支气管狭窄,左舌段有膨胀感,中央型肺癌待排,心包有少量液体
作者: x-man 时间: 2006-10-16 03:57
左侧大量胸腔积液伴下叶压迫性且不张
心包积液.
作者: 飞虎 时间: 2006-10-16 04:16
左侧胸腔大量积液版左肺膨胀不良 进一步胸水及肝顶检查
作者: 卜一 时间: 2006-10-16 04:27
以下是引用dyqct在2006-10-15 15:11:00的发言:
考虑:左侧大量胸腔积液伴下叶压迫性且不张。
支持!
作者: 艺术家 时间: 2006-10-16 05:22
好象在右肝上看到一个低密度的东西?
作者: 拾荒者 时间: 2006-10-16 05:44
左侧大量胸腔积液,左下叶受压不张,纵隔向右侧轻移位,虽未见明显骨质破坏,但临床有刺激性咳嗽、胸疼等都支持非善类病变,应穿刺抽液细胞学检查,考虑右肺癌并胸膜转移。肝顶部似有低密度影,可进一步检查,排除转移灶。
作者: drzhang8888 时间: 2006-10-16 05:52
左侧大量胸腔积液伴下叶压迫性不张。
支持!
作者: guzhongliangddd 时间: 2006-10-16 05:53
患者以抽胸水到上级医院作细胞学检查,肝右顶部的确是{患者以作b超:囊性低密度区,考虑囊肿?}病灶。我的初步意见是考虑是左侧中央型肺癌。
作者: 狙击手 时间: 2006-10-16 06:02
标题: 回复:[原创]胸部平扫,请讨论!谢谢!!
以下是引用拾荒者在2006-10-15 21:44:00的发言:[br]左侧大量胸腔积液,左下叶受压不张,纵隔向右侧轻移位,虽未见明显骨质破坏,但临床有刺激性咳嗽、胸疼等都支持非善类病变,应穿刺抽液细胞学检查,考虑右肺癌并胸膜转移。肝顶部似有低密度影,可进一步检查,排除转移灶。
作者: ssmmxx 时间: 2006-10-16 06:08
考虑:左侧大量胸腔积液伴下叶压迫性且不张。
建议胸穿后ct复查.
希望提供详细病史及检查结果!
作者: 如醉卧风 时间: 2006-10-16 06:22
左侧大量胸腔积液并下叶不张.
左肺门未见肿块征象,心包无明显积液表现.
作者: lotustony 时间: 2006-10-16 06:34
标题: 回复:[原创]胸部平扫,请讨论!谢谢!!
以下是引用余辉在2006-10-15 17:47:00的发言:[br]左侧大量胸腔积液伴下叶压迫性且不张,心包积液,左下叶支气管变窄,建议增强扫描,排除占位
作者: syfszcw 时间: 2006-10-16 06:54
左侧胸腔积液伴肺不张!
作者: xylmj123 时间: 2006-10-16 07:01
大量胸水建议抽水后复查 ,压迫性肺不张,肝右叶低密区结合患者临床症状多考虑左肺恶性病变.
作者: 奕帆 时间: 2006-10-16 07:28
1、高度怀疑:左肺中央型肺癌伴肺不张、胸水;
2、肝上病灶暂考虑囊肿。
3、心包内脂肪影清晰,未见积液。
请提供临床其它资料。
作者: xn2ylwg 时间: 2006-10-16 07:46
左侧胸腔积液,左下肺压迫性不张,建议抽胸水细胞学检查或增强.肝右叶低密度影,建议增强.心包内未见积液征.
作者: 守望可可 时间: 2006-10-16 08:10
标题: 回复:[原创]胸部平扫,请讨论!谢谢!!
以下是引用奕帆在2006-10-15 23:28:00的发言:[br]1、高度怀疑:左肺中央型肺癌伴肺不张、胸水;[br]2、肝上病灶暂考虑囊肿。[br]3、心包内脂肪影清晰,未见积液。[br]请提供临床其它资料。
表示支持!
同时,建议大漠小鸟战友讨论病例时向奕帆等诸位老师学习,既不要急躁,也不要盲目。您那样是自问?可是没有见您自己回答啊。楼主让大家讨论的主要是左肺以及胸腔的问题,首先我们要搞准主攻方向。至于发现的其他问题,我们可以提醒楼主注意。本例除您提到的问题外,还有心脏的表现(冠心病?)需要关注,但我们应该注意提醒的方式,您说呢?
不对以及不恭之处,敬请海涵!(我们都是为了学习才走到一起的,相信您不会因为这和我生气)
作者: shenhs 时间: 2006-10-16 09:35
左侧大量胸腔积液伴左下肺不张,左侧支气管狭窄,左舌段有膨胀感,中央型肺癌待排.
作者: 秦西临 时间: 2006-10-16 17:51
建议查痰及抽液.影像诊断离不开临床.影像诊断可等临床其他结果出来后做出诊断
作者: yuhg 时间: 2006-10-16 17:56
支持恶性
作者: haha215315 时间: 2006-10-16 18:53
标题: 回复:ct4907:[原创]胸部平扫,请讨论!谢谢!!
以下是引用dyqct在2006-10-15 15:11:00的发言:[br]考虑:左侧大量胸腔积液伴下叶压迫性且不张。
作者: gzx521th 时间: 2006-10-16 20:14
建议增强扫描 进一步确诊
作者: guzhongliangddd 时间: 2006-10-17 01:48
今天医生电话告之是血性胸水,胸水细胞学检查要等几天出结果。
作者: 拾荒者 时间: 2006-10-17 03:19
凶多吉少。
作者: hexue 时间: 2009-8-9 19:19
谢谢 学习了
| 欢迎光临 医影在线 (http://bbs.radida.com/bbs/) |
Powered by Discuz! X3.2 |