医影在线
标题: X1101:[原创]右胫骨髓腔内高密度影.考虑啥? [打印本页]
作者: 曾感屏 时间: 2006-10-17 03:18
标题: X1101:[原创]右胫骨髓腔内高密度影.考虑啥?
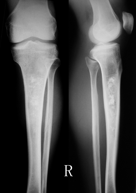
男;53y,外伤一天后摄片发现.无临床症状.



[本贴已被 cefcmj 于 2006-10-16 20:54:24 修改过]
作者: 一如我在 时间: 2006-10-17 03:54
骨梗死?
作者: 碧水蓝天 时间: 2006-10-17 04:05
标题: 回复:[原创]右胫骨髓腔内高密度影.考虑啥?
以下是引用一如我在在2006-10-16 19:54:00的发言:[br]骨梗死?
作者: 未见异常 时间: 2006-10-17 04:36
考虑骨梗塞,病人是干什么工作的?
作者: jiangjing 时间: 2006-10-17 04:53
骨梗死[胫骨骨髓腔内地图状分布的斑片状高密度灶,邻近骨质无异常,骨干无膨胀]
作者: sunnydxx2000 时间: 2006-10-17 05:00
考虑骨梗死
作者: cefcmj 时间: 2006-10-17 05:01
胫骨上段可见斑片状高密度影,密度不均,边界欠清,邻近骨质无破坏,无骨膜反应,周围软组织无肿胀。
多考虑骨梗死可能性大。
作者: 艺术家 时间: 2006-10-17 05:23
应拍对侧比较,1:骨梗死;2:骨内膜增生?
作者: xclzq_910 时间: 2006-10-17 05:24
骨梗死是血供不足所导致的弥漫性\\局灶性骨质坏死.易累计四肢长骨的松质部.x线和ct上,骨骼改变包括骨端松质骨内条带状及斑块(点)状钙质样高密度影和骨小梁粗大,以及骨干髓腔钙化\\骨膜增生和皮质增厚.以上病例支持骨梗死
作者: jinguoji 时间: 2006-10-17 05:32
考虑骨梗死可能性大。
作者: dsc0000 时间: 2006-10-17 05:56
标题: 回复:x1101:[原创]右胫骨髓腔内高密度影.考虑啥?
右胫骨骨梗死可能性大,上海出的x线诊断学后边的图谱上有骨梗死的图片,两者非常接近.
作者: dyqct 时间: 2006-10-17 06:13
支持骨梗塞.
作者: 飞天梦想 时间: 2006-10-17 06:39
胫骨上段见有斑片状密度增高影,密度不均,周边骨质未见破坏,考虑骨梗塞.
作者: 87204141 时间: 2006-10-17 06:43
标题: [贴图]回复:x1101:[原创]右胫骨髓腔内高密度影.考虑啥?
[emb25]
[本贴已被 cefcmj 于 2006-10-17 20:42:02 修改过]
作者: 87204141 时间: 2006-10-17 06:48
回错了一个文件
作者: drzhang8888 时间: 2006-10-17 06:49
考虑骨梗死可能性大。
作者: 如醉卧风 时间: 2006-10-17 07:14
骨梗死应为局限性的,而且会有临床症状.上述表现较广泛,转移癌不能除外呀!查一下前列腺吧.
作者: 光线 时间: 2006-10-17 07:58
支持,谢谢!
作者: ssmmxx 时间: 2006-10-17 08:24
骨梗死是血供不足所导致的弥漫性\\局灶性骨质坏死.易累计四肢长骨的松质部.x线和ct上,骨骼改变包括骨端松质骨内条带状及斑块(点)状钙质样高密度影和骨小梁粗大,以及骨干髓腔钙化\\骨膜增生和皮质增厚.以上病例支持骨梗死
作者: zhw974247 时间: 2006-10-17 08:25
标题: 回复:x1101:[原创]右胫骨髓腔内高密度影.考虑啥?
以下是引用xclzq_910在2006-10-16 21:24:00的发言:[br]骨梗死是血供不足所导致的弥漫性\\局灶性骨质坏死.易累计四肢长骨的松质部.x线和ct上,骨骼改变包括骨端松质骨内条带状及斑块(点)状钙质样高密度影和骨小梁粗大,以及骨干髓腔钙化\\骨膜增生和皮质增厚.以上病例支持骨梗死
作者: 影像迷 时间: 2006-10-17 16:49
支持。
作者: elity69 时间: 2006-10-17 16:50
胫骨上段可见斑片状高密度影,密度不均,边界欠清,邻近骨质无破坏,无骨膜反应,周围软组织无肿胀。
多考虑骨梗死可能性大。
作者: haha215315 时间: 2006-10-17 17:52
1.摄对侧骨片.
2.追问病史.
3.再考虑是否是骨梗死.
作者: sun123456 时间: 2006-10-17 19:14
考虑骨梗死
作者: andymaomao 时间: 2006-10-17 22:36
考虑:1.骨内膜增生可能性大(无症状);2.骨梗死?
作者: 向医生 时间: 2006-10-17 23:19
标题: 回复:x1101:[原创]右胫骨髓腔内高密度影.考虑啥?
胫骨中上段髓腔内可见斑片状钙化,边界较清楚,未见骨膜反应及软组织肿块影。
诊断:胫骨骨梗死。
讨论:骨梗死又称骨髓梗死、脂肪梗死,其病理基础主要是骨髓局部持续性缺血而坏死,逐渐被肉芽组织和纤维组织替代,最终发生钙化和骨化。多发生在股骨下端、胫骨上端和肱骨、股骨上端,呈多发性和对称性改变。引起骨梗死的病因较多,有老龄(多数由于动脉粥样硬化) 、镰状细胞贫血、gaucher′s 病、潜水病、感染、激素、辐射、胰腺炎、血管炎、饮酒及化学治疗等。
x线表现:圆形、椭圆形、片状或不规则形密度增高影,其周边可见若干粗细不等、相互连接或交叉的蜿蜒走行的更高密度影。当骨坏死组织被清除吸收、但尚未新骨形成时,则表现为囊状或分叶状透亮区。sehing 等曾将骨梗死的x线表现分4 型:即带条状、辫状、气泡状、多囊状,典型者表现为地图样钙化。
本例需与骨斑点症相鉴别,骨斑点症类似骨梗死的x线表现,但病灶广泛分布在身体各处,多见于干骺部及骨端,单纯为致密的斑点状阴影。
作者: 同 时间: 2006-10-17 23:19
多考虑骨梗死可能性大
作者: 小飞雁 时间: 2006-10-18 01:10
骨梗死?
作者: zoujunhui1977 时间: 2006-10-18 02:04
骨纤?
作者: 清风无痕 时间: 2006-10-18 02:32
考虑骨梗死
作者: 落叶 时间: 2006-10-18 02:34
支持骨梗死
作者: 如醉卧风 时间: 2006-10-18 04:52
同意大家的意见:胫骨上段骨梗死.
作者: 三人行必 时间: 2006-10-18 06:04
右胫骨中段髓腔内见斑片状密度增高影,边缘清楚,密度不均,未见骨质破坏,无膨胀变形,周围无软组织肿块,考虑骨梗死。
作者: zhangkening 时间: 2006-10-18 20:26
骨梗死的典型表现就是地图样改变,主要和非骨化性纤维瘤愈合期鉴别,这个病人以前没有临床症状,而又出现这个征象,还是考虑骨梗死.
作者: 87204141 时间: 2006-10-19 01:24
难道就没有什么别的意见吗?
作者: ZHWW 时间: 2006-10-19 04:32
骨梗死,内生软骨瘤待除外,mr检查可以区别。
作者: shiqingfa 时间: 2006-10-19 04:48
骨梗死可能性大
作者: zhhy6410 时间: 2006-10-19 14:04
胫骨上段可见斑片状高密度影,边界清楚,无骨质破坏,无软组织改变,应考虑骨梗死。
作者: crp111 时间: 2006-10-19 18:46
胫骨上段可见斑片状高密度影,密度不均,边界欠清,邻近骨质无破坏,无骨膜反应,周围软组织无肿胀。
多考虑骨梗死可能性大。建议mr进一步检查,腓骨中段线样低密度影是骨折线还是伪影?
作者: 87204141 时间: 2006-10-19 20:44
感谢战友发此病例。要不我已经把它基本遗忘
作者: chry3 时间: 2006-10-20 03:42
不考虑硬化性骨髓炎吗?
作者: wlq66556 时间: 2006-10-20 21:48
骨梗死是血供不足所导致的弥漫性\\局灶性骨质坏死.易累计四肢长骨的松质部.x线和ct上,骨骼改变包括骨端松质骨内条带状及斑块(点)状钙质样高密度影和骨小梁粗大,以及骨干髓腔钙化\\骨膜增生和皮质增厚.以上病例支持骨梗死
作者: 流星1234 时间: 2006-10-20 23:12
骨梗死
作者: 柯长存 时间: 2006-10-21 03:29
能否考虑为致密性骨岛
作者: 仲景传人 时间: 2006-10-21 21:58
各位同人说的不错,我赞同骨梗死诊断。
作者: huxi 时间: 2006-10-22 08:12
胫骨髓腔内多发形态不规则钙化/骨化影,呈蚓状分布,周围可见透亮带,骨质无破坏,无骨膜反应,无软组织块影,考虑骨梗死,鉴别诊断要和内生软骨瘤,骨斑点症等区分。
作者: liuyue 时间: 2006-10-22 22:27
考虑骨梗死可能性大。
作者: venzasy 时间: 2006-10-22 23:29
外伤后一天就能发生骨梗死?
作者: 一如我在 时间: 2006-10-23 02:10
标题: 回复:x1101:[原创]右胫骨髓腔内高密度影.考虑啥?
以下是引用一如我在在2006-10-16 19:54:00的发言:[br]骨梗死?
作者: zyx168 时间: 2006-10-23 02:33
骨梗死(陈旧性).
作者: 飞天梦想 时间: 2006-10-23 07:44
还是考虑骨梗塞
作者: 迎客松abc 时间: 2006-10-23 16:42
骨梗死
作者: 遵义枫叶 时间: 2006-10-23 16:52
双手赞同----------骨梗死
作者: dengmin 时间: 2006-11-2 09:06
就是骨梗死
作者: shibing 时间: 2012-8-29 10:45
考虑骨梗死可能性大。
作者: zqzwq 时间: 2012-8-30 10:37
引用第6楼cefcmj于2006-10-17 05:01发表的 :
胫骨上段可见斑片状高密度影,密度不均,边界欠清,邻近骨质无破坏,无骨膜反应,周围软组织无肿胀。
多考虑骨梗死可能性大。 
作者: lyming00 时间: 2012-9-27 14:39
考虑骨梗死可能性大。
| 欢迎光临 医影在线 (http://bbs.radida.com/bbs/) |
Powered by Discuz! X3.2 |