医影在线

标题: CT5008:患者:女,43岁,自觉全身肿胀8个多月,请看看,谢谢 [打印本页]

作者: 501959462    时间: 2006-10-24 03:07
标题: CT5008:患者:女,43岁,自觉全身肿胀8个多月,请看看,谢谢
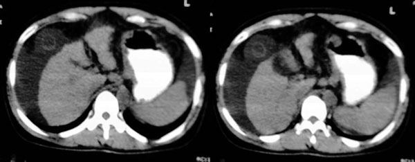
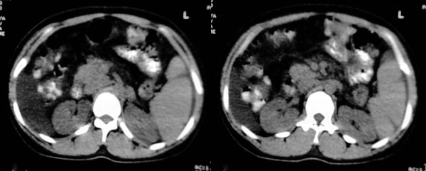
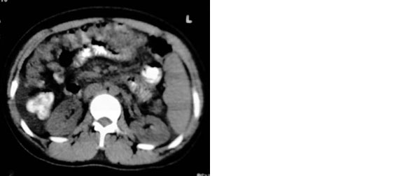
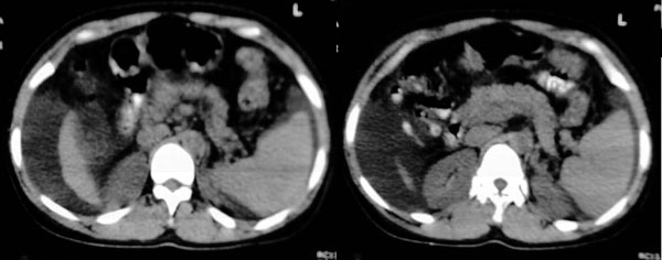
患者:女,43岁,自觉全身肿胀8个多月。b超提示:肝硬化、腹水,胆囊炎。胰、脾、肾未见明显异常。










[本贴已被 翁志蓬 于 2006-10-24 12:28:00 修改过]

作者: qian    时间: 2006-10-24 03:15
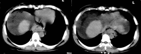
肝脏形态不正常,比例失调,肝裂增宽,应该是肝硬化、腹水、脾脏稍大。
作者: 余辉    时间: 2006-10-24 03:19
肝脏体积变小,左右比例失调,右肝变小较剧,脾脏增厚,腹水征象明显考虑肝硬化、腹水
作者: mzh123    时间: 2006-10-24 03:25
肝硬化,腹水。
作者: 501959462    时间: 2006-10-24 03:26
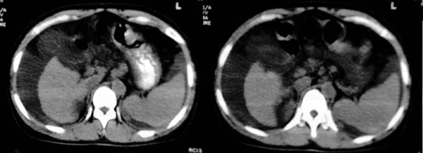
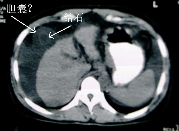
大家好,还有就是她的胆囊在哪?那肝右前间隙液体内环状稍高密度是什么,又为什么壁欠光滑.请大家再帮忙看看.
作者: 光线    时间: 2006-10-24 03:31
肝硬化,腹水,脾大。
作者: zwx    时间: 2006-10-24 04:45
就是肝硬化 腹水 脾大
作者: dyqct    时间: 2006-10-24 04:52
支持肝硬化、腹水、脾大。
作者: 宝天曼    时间: 2006-10-24 05:06
肝脏体积变小,左右比例失调,右肝变小较剧,脾脏增厚,腹水征象明显考虑肝硬化、腹水
作者: ssmmxx    时间: 2006-10-24 05:38
支持肝硬化、腹水、脾大。
胆囊应在胆囊区加薄层。
肝右前间隙液体内环状稍高密度,请查附件看有没有肿瘤。
作者: 同    时间: 2006-10-24 05:40
支持肝硬化 腹水 脾大。
作者: jinguoji    时间: 2006-10-24 06:23
支持肝硬化 腹水 脾大。
作者: suncl    时间: 2006-10-24 06:28
肝右前间隙液体内环状稍高密度,不会就是胆囊吧?
作者: 如醉卧风    时间: 2006-10-24 06:45
支持肝硬化腹水.
另:肝前缘液体内环形影是漂浮的肠管.
作者: jiangjing    时间: 2006-10-24 07:37
肝脏体积变小,左右比例失调,右肝变小较剧,脾脏增厚,腹水征象明显考虑肝硬化、脾大,腹水。病理性胆囊[胆囊小,比增厚]
作者: shenhs    时间: 2006-10-24 08:14
支持肝硬化、腹水、脾大。
作者: woaixct    时间: 2006-10-24 17:28
标题: 回复:患者:女,43岁,自觉全身肿胀8个多月,请看看,谢谢
支持肝硬化、腹水、脾稍大。肝脏与前腹壁的环状影考虑是胆囊及胆囊结石。
作者: xiaogang123    时间: 2006-10-24 17:30
肝右前方就是胆囊,胆囊小,壁增厚。
作者: sun123456    时间: 2006-10-24 17:38
肝脏缩小,比例失调,周边见弧形液性影,考虑肝硬化。
作者: haha215315    时间: 2006-10-24 17:44
肝脏体积变小,左右比例失调,右肝变小较剧,脾脏增厚,腹水征象明显考虑肝硬化、腹水.
作者: hnqyyjh    时间: 2006-10-24 18:28
标题: 回复:患者:女,43岁,自觉全身肿胀8个多月,请看看,谢谢
以下是引用woaixct在2006-10-24 9:28:00的发言:[br]支持肝硬化、腹水、脾稍大。肝脏与前腹壁的环状影考虑是胆囊及胆囊结石。[br]

支持
作者: 东北    时间: 2006-10-24 19:49
肝硬化、腹水、脾大
作者: 卜一    时间: 2006-10-24 20:03
支持肝硬化、腹水、脾大。,另腹水内漂浮的圆形阴影考虑:1 胆囊 2 大量腹水后继发感染形成脓肿。
作者: lj0804    时间: 2006-10-24 21:10
标题: 回复:ct5008:患者:女,43岁,自觉全身肿胀8个多月,请看看,

作者: ysxyy    时间: 2006-10-24 22:41
支持楼上:肝硬化腹水脾大,胆囊炎并结石;
作者: 守望可可    时间: 2006-10-25 00:08
标题: 回复:ct5008:患者:女,43岁,自觉全身肿胀8个多月,请看看,
  支持楼上各位老师的讨论,但还需要提醒楼主注意食管腹部,有可能是食道癌。再者就要怀疑是食管周围的病变,考虑是肿大的淋巴结。


作者: 1983    时间: 2006-10-25 01:16
考虑肝硬化、腹水
作者: zyx168    时间: 2006-10-25 02:08
肝脏体积缩小,左右肝比例失调,轮廓不规整,肝裂增宽,肝周见新月形液性密度影,脾脏增厚.应诊断为肝硬化,腹水,脾大.
作者: 江尾海头    时间: 2006-10-25 02:40
标题: 回复:ct5008:患者:女,43岁,自觉全身肿胀8个多月,请看看,
[quote]以下是引用501959462在2006-10-23 19:26:00的发言:[br]大家好,还有就是她的胆囊在哪?那肝右前间隙液体内环状稍高密度是什么,考虑就是胆囊!
作者: 拾荒者    时间: 2006-10-25 02:50
标题: 回复:ct5008:患者:女,43岁,自觉全身肿胀8个多月,请看看,
以下是引用woaixct在2006-10-24 9:28:00的发言:[br]支持肝硬化、腹水、脾稍大。肝脏与前腹壁的环状影考虑是胆囊及胆囊结石。[br]

支持。
作者: zylcq608    时间: 2006-10-25 05:46
1,肝硬化、腹水.2,胆囊炎.
作者: 楚楚    时间: 2006-10-26 16:54
好啊
作者: 兰兰    时间: 2006-11-2 00:28
肝硬化+腹水
作者: guoke    时间: 2006-11-2 03:35
肝硬化,腹水,胆囊移位。
作者: 陈医生123    时间: 2006-11-15 01:05
肝脏体积变小,左右比例失调,右肝变小较剧,脾脏增厚,腹水征象明显考虑肝硬化、腹水
作者: shibing    时间: 2015-6-26 15:04
支持肝硬化、腹水、脾大。
胆囊应在胆囊区加薄层。
肝右前间隙液体内环状稍高密度,请查附件看有没有肿瘤。




欢迎光临 医影在线 (http://bbs.radida.com/bbs/) Powered by Discuz! X3.2