医影在线
标题: X1127:[原创]膝关节外伤请讨论 [打印本页]
作者: zhw974247 时间: 2006-10-28 03:01
标题: X1127:[原创]膝关节外伤请讨论
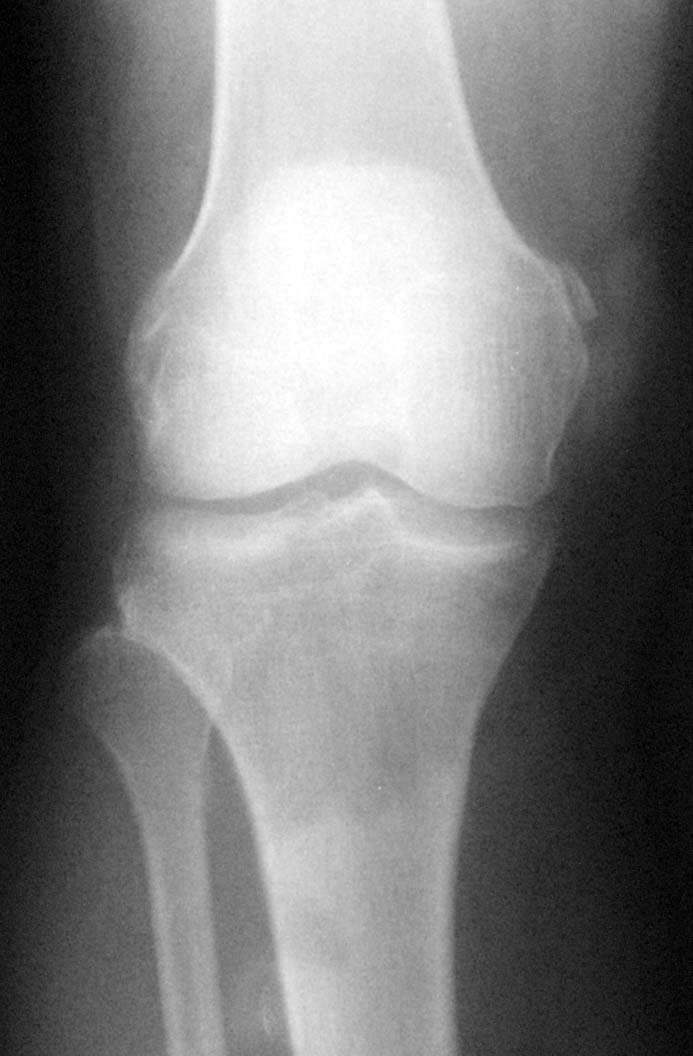
膝关节外伤,请看股骨内上髁外方是否为骨折?


[本贴已被 jiajie 于 2006-10-27 19:18:03 修改过]
对不起把内打成外了![emb18]
[本贴已被 zhw974247 于 2006-10-29 17:42:19 修改过]
作者: 晓杰 时间: 2006-10-28 05:50
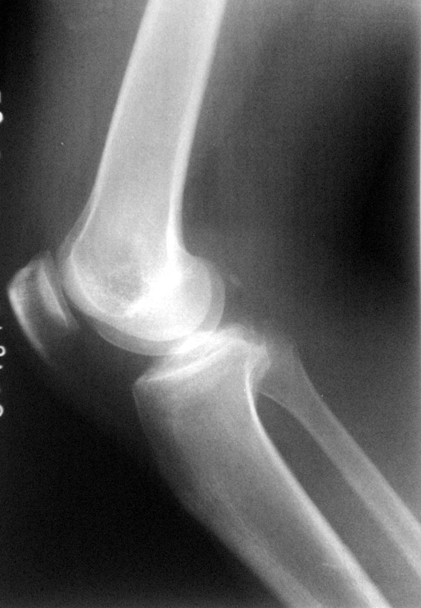
建议把斜位上传
作者: 87204141 时间: 2006-10-28 06:08
密度较高。不是
作者: 如醉卧风 时间: 2006-10-28 06:46
老乡:支持你的意见.
花絮:怎么?今天的版面让你给包了.哈哈.
作者: dyqct 时间: 2006-10-28 07:17
支持楼主意见(撕脱性骨折)。
作者: sun123456 时间: 2006-10-28 17:50
除了股骨外髁撕脱骨折外腓骨小头是否有骨折。
作者: 光线 时间: 2006-10-28 18:41
撕脱骨折。
作者: wenyong 时间: 2006-10-28 19:15
应该是撕脱骨折。
作者: haha215315 时间: 2006-10-28 19:18
撕脱骨折
作者: zyx168 时间: 2006-10-28 21:37
支持撕脱骨折诊断,肌腱钙化不排除.
作者: liuyue 时间: 2006-10-28 22:38
楼主说的外上髁,骨质未见明显异常;而内上髁有撕脱骨折.
作者: 千里草 时间: 2006-10-29 00:05
考虑撕脱骨折。检查一下病人。
作者: 飞天梦想 时间: 2006-10-29 01:00
同意6楼意见
作者: crp111 时间: 2006-10-29 03:56
最好看看病人或加照斜位片。
作者: ywkkk 时间: 2006-10-29 04:58
考虑撕脱骨折。检查一下病人
作者: sdqzwyx 时间: 2006-10-29 05:07
股骨外上髁没发现异常,内上髁示斑片状骨质密度影,建议结合临床,透视旋转体位确定病人疼痛部位,撕裂骨折应该有固定疼痛。
作者: 逸风 时间: 2006-10-29 05:16
支持撕脱骨折.高密度影内缘模糊,不象软组织的钙化,而且股骨内髁局部软组织肿胀明显.
作者: 寒叶蛰夫 时间: 2006-10-30 01:45
不考虑骨折,因为结合正侧位片均未见主骨干上有与其等大之低密度区,所以本人考虑股内侧肌肌腱附着点钙化。
作者: zhangkening 时间: 2006-11-1 06:35
还是考虑撕脱性骨折为好,因为这个病人是因为外伤来的,并且与骨皮质不连续。
作者: marco 时间: 2006-11-1 08:10
支持撕脱骨折诊断
作者: sunnydxx2000 时间: 2006-11-1 23:24
撕脱性骨折
作者: jinguoji 时间: 2006-11-19 00:22
不是骨折
作者: 碧水蓝天 时间: 2006-11-19 01:58
局限性骨化性肌炎>撕脱骨折,检查一下病人,局部的压痛是否明显
作者: 上饶小李 时间: 2006-11-19 04:36
内上髁周围软组织肿胀,可考虑撕脱骨折,
腓骨小头似见透亮线,建议短期复查或结合临床排外骨折!
作者: zhw974247 时间: 2006-11-20 02:41
不考虑骨折,因为我已发现两例,压痛点均不在此处,结合正侧位片均未见主骨干上有与其等大之低密度区,所以本人考虑股内侧肌肌腱附着点钙化。但愿能得到更好的证实!
作者: 碧水蓝天 时间: 2006-11-20 05:33
看一下中专放射诊断教材关于软组织钙化那一节吧-----外伤性局限性骨化性肌炎--
作者: crp111 时间: 2006-11-20 22:02
支持外伤性局限性骨化性肌炎
作者: 遵义枫叶 时间: 2006-11-21 02:47
不支持骨折。
支持钙化。
理由---1、边缘光滑锐利。2、相邻股骨无缺损。
为慎重起见1、检查此处有无压痛、外伤是否在此处。2、加照斜位。3、随诊复查。
作者: yhb 时间: 2006-11-22 02:38
标题: 回复:x1127:[原创]膝关节外伤请讨论
以下是引用zyx168在2006-10-28 13:37:00的发言:[br]支持撕脱骨折诊断,肌腱钙化不排除.
作者: shibing 时间: 2012-12-12 07:44
撕脱性骨折
| 欢迎光临 医影在线 (http://bbs.radida.com/bbs/) |
Powered by Discuz! X3.2 |