医影在线

标题: DSA0054:史歌介入专辑05:经皮穿刺胰腺囊肿消融术 [打印本页]

作者: 翁志蓬    时间: 2006-10-28 04:53
标题: DSA0054:史歌介入专辑05:经皮穿刺胰腺囊肿消融术
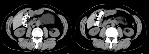
女性,58岁。卵巢癌术后4年余,无不适。体检b超发现左上腹肿块。
















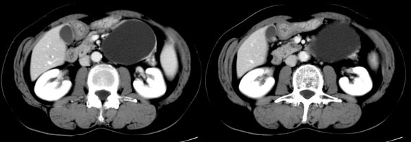
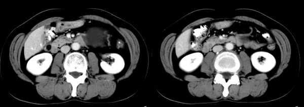
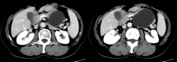
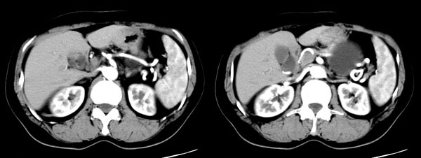
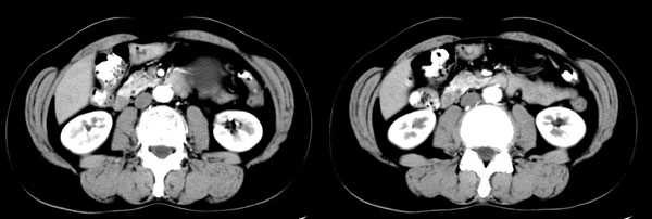
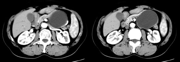
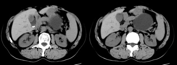
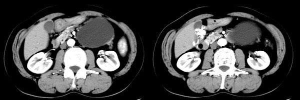
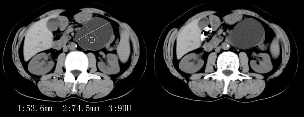
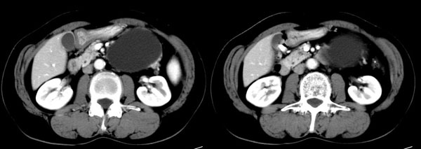
ct平扫加增强扫描:胆囊折叠,壁厚,其内见结石。胰腺体尾部见一5.8x7.5cm囊性肿物,ct值12hu,壁薄,增强扫描未明显强化,胰头不大,强化均匀。
ct诊断:1.胆囊炎,胆囊折叠并结石。
2.胰体尾部囊肿。

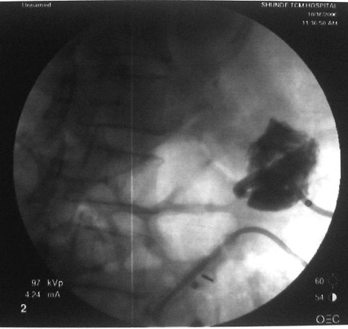
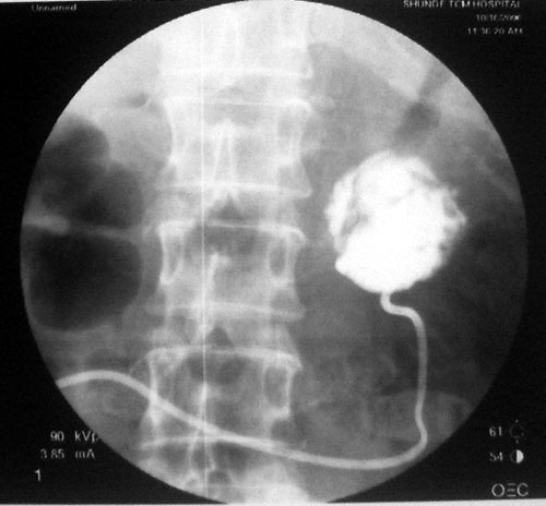
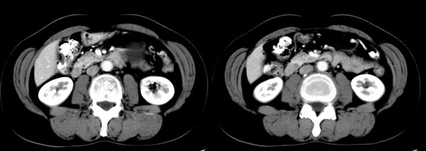
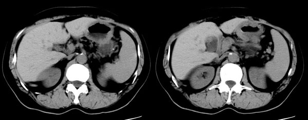
[center]经皮穿刺胰腺囊肿消融术[/center]
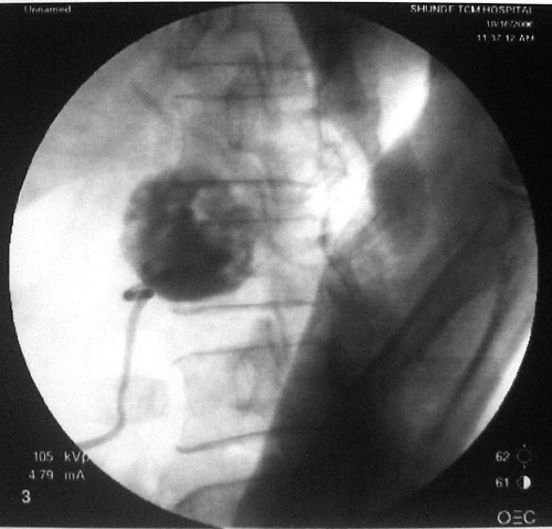
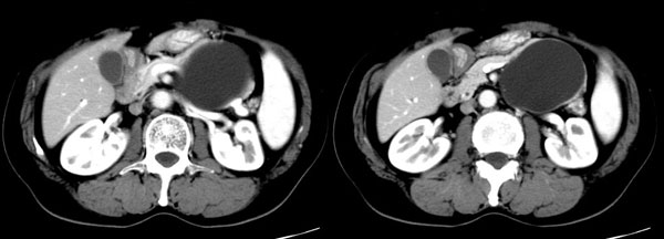
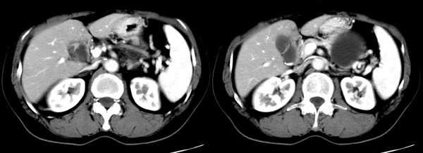
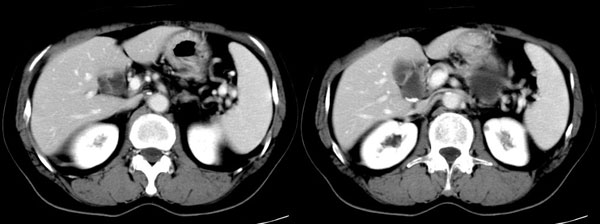
参照ct片,经皮穿刺,抽出透明液体60ml,随后置入引流管引流,囊液细胞学检查阴性,胰酶检查阴性。采用无水乙醇灌注治疗。4天后囊腔闭锁,无液体渗出,予以拔管。




置管后造影,显示囊腔直径约5cm,囊壁光整,正位、双斜位造影均未见造影剂外溢,与胰腺无交通
作者: jssqcdm    时间: 2006-10-29 00:58
好,太好了。
作者: 小乔    时间: 2006-11-1 04:53
请问是在ct导引下穿刺吗?
作者: jinguoji    时间: 2007-6-18 00:28
学习了,谢谢!
作者: 浅识浅见    时间: 2009-3-8 20:23
好,不错。
作者: zhaochen    时间: 2009-4-10 20:05
太好了,学习了!




欢迎光临 医影在线 (http://bbs.radida.com/bbs/) Powered by Discuz! X3.2