医影在线

标题: DSA0056:史歌介入专辑07:经导管脾动脉部分栓塞术 [打印本页]

作者: 翁志蓬    时间: 2006-10-28 05:07
标题: DSA0056:史歌介入专辑07:经导管脾动脉部分栓塞术
男性,9岁。体查发现肝、脾肿大。






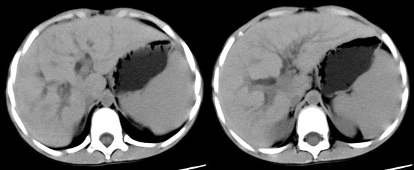
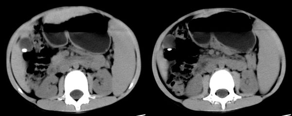
ct平扫:肝脏稍增大,各叶比例在正常范围内,肝左叶见二个小囊肿,直径7mm-10x7mm,余肝实质未见异常密度改变。肝内胆管见轻微扩张,未见钙化结石,胆总管未见扩张。胆囊不大,壁稍增厚,内见一钙化结石达约10x6mm。胰腺形态大小密度正常。脾增大增厚,占8个肋单元,外形光整,密度均匀。双肾大小形态正常,密度均匀。腹腔内未见积液。腹膜后未见肿大淋巴结。
ct诊断:1、脾大。
2、胆囊炎,胆囊结石。
3、肝内多发小囊肿。

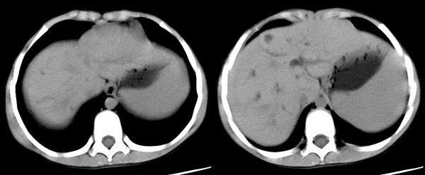
[center]经导管脾动脉部分栓塞术[/center]

右股动脉穿刺,将导管置入脾动脉远端,造影显示脾明显增大,脾静脉、门静脉未见异常,采用明胶海绵颗粒行脾动脉部分栓塞。

栓塞后造影可见部分脾动脉分支消失,栓塞面积大于50%。

随访:患者术前白细胞2000,血小板7万/l,术后3周复查,白细胞升至9000,血小板升至17万/l,治疗效果满意。
作者: jssqcdm    时间: 2006-10-29 00:53
栓的很好,不用开刀。
作者: chenyongjian    时间: 2006-10-31 18:11
哥们,什么原因造成的肝脾肿大呀,请告诉小弟一声。
作者: dr.yang    时间: 2012-9-9 22:45
学习了!




欢迎光临 医影在线 (http://bbs.radida.com/bbs/) Powered by Discuz! X3.2