医影在线
标题: V0127:小儿右侧基底节区片状低密度影. [打印本页]
作者: 医博云天 时间: 2006-10-28 21:09
标题: V0127:小儿右侧基底节区片状低密度影.
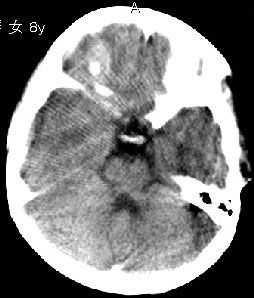
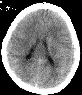
杨某,女,8y,家长述2006.10.13行破伤风疫苗注射后下肢疼痛,后自行粘贴膏药未见好转
,后续发现左上肢肢力下降。于2006.10.28在我院行ct检查,发现右侧基底节区片状低密度影,
无占位效应。ct值约:18~20hu。边界清晰,与相邻脑室无通连。未行增强扫描。余脑实质
未见异常。
我将会继续随访!








[本贴已被 jiajie 于 2006-10-28 21:14:56 修改过]
作者: dyqct 时间: 2006-10-29 01:00
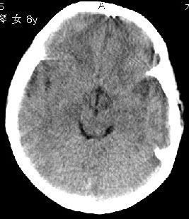
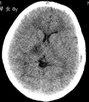
右侧内囊后支、丘脑见片状低密度区,边界不清,无占位效应。
考虑:脑炎,建议治疗后复查。
作者: jiangjing 时间: 2006-10-29 02:16
右侧内囊后支、丘脑见片状低密度区,边界不清,无占位效应。
考虑: 1 家长述2006.10.13行破伤风疫苗注射后下肢疼痛。病史是不是要考虑与外伤有关之脑挫裂伤恢复期表现。2脑炎,3星形细胞瘤? 4烟雾病。5建议结合临床及增强mri检查
作者: 卜一 时间: 2006-10-29 02:37
右侧内囊后支、丘脑见片状低密度区,边界不清,无占位效应。结合(家长述2006.10.13行破伤风疫苗注射后下肢疼痛)病史考虑: 1 请追查临床病史,待除外挫裂伤吸收期,建议行mri检查.至于脑炎病灶是否太局限? 2 不除外占位.
作者: wqs571018 时间: 2006-10-29 02:45
病灶位于丘脑,且无占位效应,故同意为脑炎可能.建议mri.
作者: 医博云天 时间: 2006-10-29 04:43
详细询问了病史,无确切外伤史!
作者: 听蝉观竹 时间: 2006-10-29 05:28
从ct图像看,准确地说病变是在右侧丘脑,累积右侧内囊后肢。
因为图像差一些,不能完全排除大脑半球其它区域有无病灶。如果大脑半球其它区域有病灶,则支持脑炎的诊断。有条件应该尽早进行mr检查。
作者: fumaogui 时间: 2006-10-29 18:35
支持脑炎诊断,丘脑区这么大的挫裂伤病史应很明显的,也少见的.
作者: qinggao 时间: 2006-10-29 20:49
病变还不是很典型
要考虑考虑哈哈
作者: 朱磊 时间: 2006-10-30 03:50
表现:右侧内囊后支、丘脑见片状低密度区,边界不清,无占位效应。
考虑: 1 家长述2006.10.13行破伤风疫苗注射后下肢疼痛。病史是不是要考虑与外伤有关之脑挫裂伤恢复期表现。2脑炎,3星形细胞瘤? 建议结合临床及增强mri检查排除。
作者: zdy90333 时间: 2006-10-30 04:06
期盼随访结果。
作者: 每天学习 时间: 2006-10-30 17:48
是哪个下肢痛疼?丘脑区病变与后下肢疼痛应没有因果关系在,但病变是发生在疫苗注射后,考虑炎性改变很有道理。
作者: tzw136 时间: 2006-10-30 22:13
可以肯定是破伤风疫苗注射后引起的脑炎吗?没见过啊,值得学习.期待结果.
作者: yongzz66 时间: 2006-10-31 20:47
外伤所至的脑梗塞
作者: sunhuimiao 时间: 2006-11-1 01:46
内囊后支局限性缺血灶,考虑脑炎
作者: ssm999 时间: 2006-11-1 04:20
急性播散性脑脊髓炎(acute disseminated ence-phalomyelitis, adem)也称免疫介导性脑脊髓炎,是一种少见的中枢神经系统脱髓鞘疾病,多数在发病前数天至数周有病毒感染或疫苗接种史,少部分无明确诱因。本病是自体免疫损伤所致的脱髓鞘疾患而不是病毒性脑炎。
作者: lkc8963 时间: 2006-11-1 06:16
标题: 回复:v0127:小儿右侧基底节区片状低密度影.
引用ssm999在2006-10-31 20:20:00的发言:急性播散性脑脊髓炎(acute disseminated ence-phalomyelitis, adem)也称免疫介导性脑脊髓炎,是一种少见的中枢神经系统脱髓鞘疾病,多数在发病前数天至数周有病毒感染或疫苗接种史,少部分无明确诱因。本病是自体免疫损伤所致的脱髓鞘疾患而不是病毒性脑炎。
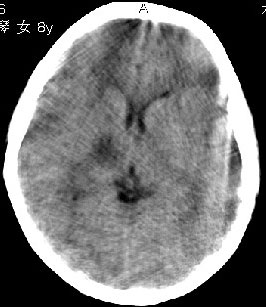
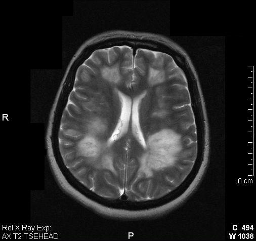
支持adem的诊断。病史比较重要,其实左侧放射冠区白质亦见低密度,下面是我收到的一幅图片和英文资料。
adem is a neurologic disorder characterized by inflammation and damage to the myelin sheath of the brain and spinal cord, likely from a transient autoimmune response. it is a monophasic syndrome that is usually preceded by a viral illness, an upper respiratory infection, or vaccination. viruses that have most commonly been associated with adem are measles, paramyxovirus, varicella, rubella, and epstein-barr virus, although, with the advent of successful vaccination campaigns, the incidence of adem with these viruses (eg, measles) is dramatically reduced. as such, because of adem';s association viruses typically occurring in childhood, the disease occurs in children younger than 10 years approximately 80% of the time; only 3% of cases occur in adults.
[本贴已被 lkc8963 于 2006-10-31 22:20:17 修改过]
作者: 蓝星 时间: 2006-11-2 03:29
右侧内囊后支、丘脑见片状低密度区,边界不清,无占位效应。
结合病史考虑脑脞裂伤,建议mri进一步检查
作者: dhz65 时间: 2006-11-3 05:14
考虑右侧基底节区腔隙性脑梗塞。
作者: zyx168 时间: 2006-11-3 18:41
内囊后肢与丘脑区片状低密度影,无占位效应.
依据病史,首先考虑脑炎的可能性大,但星形细胞瘤(i级),脑梗不排除.
作者: 宏宏 时间: 2006-11-4 00:03
我也同意脑炎诊断
作者: 宏宏 时间: 2006-11-4 00:04
我也同意脑炎诊断
作者: liushiwen 时间: 2006-11-4 04:39
先问问病势
作者: 鱼已入海 时间: 2006-11-4 06:23
各位老师:我是新注册的,不知这个版块一般有没有病理诊断或最后结果?请赐教!!谢谢
作者: mzjctmr 时间: 2006-11-5 01:59
右侧丘脑\\内囊后支见片状低密度区,边界不清,无占位效应。
考虑:梗塞,脑炎,建议治疗后复查。
作者: 河山 时间: 2006-11-5 02:58
支持脑炎诊断
作者: yuhongjun 时间: 2010-11-7 06:05
急性播散性脑脊髓炎。
| 欢迎光临 医影在线 (http://bbs.radida.com/bbs/) |
Powered by Discuz! X3.2 |