医影在线

标题: X1147:Z[原创] [打印本页]

作者: 放牧人    时间: 2006-11-1 04:09
标题: X1147:Z[原创]
(结果连接:http://www.radida.com/bbs/forum.php?mod=viewthread&tid=29501)
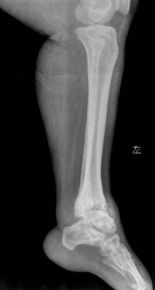
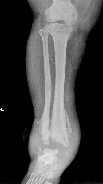
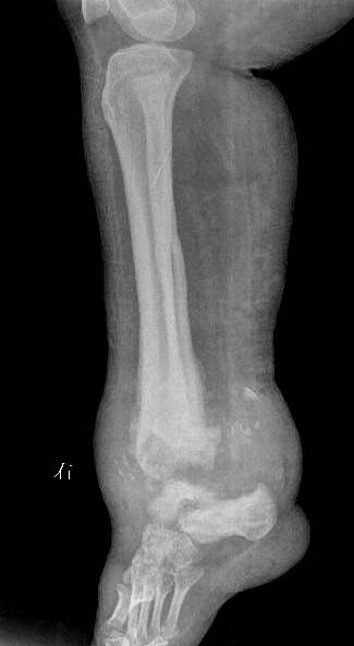
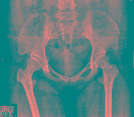
女.29岁.先天髋关节脱位.腰椎后部向外膨出.外院诊断骨肉瘤.我院诊断夏科氏关节病。
请大家讨论!








[本贴已被 cefcmj 于 2007-9-17 20:35:59 修改过]

作者: 放牧人    时间: 2006-11-1 04:12
没有发在一起请大家谅解
作者: 87204141    时间: 2006-11-1 04:33
标题: 回复:[原创]
有没有有糖尿病?有的话考虑夏科氏关节病
作者: dyqct    时间: 2006-11-1 04:51
强烈要求补充病史资料、性别、年龄。
作者: 放牧人    时间: 2006-11-1 05:20
女.29岁.先天髋关节脱位.腰椎后部向外膨出.外院诊断骨肉瘤.我院诊断夏科氏关节病请大家讨论!
作者: 放牧人    时间: 2006-11-1 05:36
女.29岁.先天髋关节脱位.腰椎后部向外膨出.外院诊断骨肉瘤.我院诊断夏科氏关节病请大家讨论!
作者: 迎客松abc    时间: 2006-11-1 05:52
夏科氏关节病可能性大.
作者: 子期    时间: 2006-11-1 06:06
该患者有脊柱裂和右侧髋臼发育不良,踝关节改变符合神经性骨关节病,必要时结合临床排除结核.
作者: dyqct    时间: 2006-11-1 06:37
支持:1、脊柱裂;
      2、右侧髋臼发育不良伴半脱位;
      3、双踝关节夏科氏关节病。
作者: 如醉卧风    时间: 2006-11-1 07:16
1夏科氏关节.2脊柱裂.3髋脱位.
作者: marco    时间: 2006-11-1 08:22
1、脊柱裂;    2、右侧髋臼发育不良伴半脱位;     3、双踝关节夏科氏关节病。
作者: highsky    时间: 2006-11-1 09:30
1、脊柱裂;    2、右侧髋臼发育不良伴半脱位;     3、双踝关节夏科氏关节病。
作者: haha215315    时间: 2006-11-1 17:48
脊柱裂和右侧髋臼发育不良,踝关节改变符合神经性骨关节病
作者: heidaoren    时间: 2006-11-1 18:34
大家说得都不错.支持.
作者: zyx168    时间: 2006-11-1 18:47
1,双踝夏科氏关节;
     2,右侧扁平髋并右髋关节半脱位;
     3,脊柱裂.
作者: 仲景传人    时间: 2006-11-2 03:32
支持各位网友意见,相见略同。
作者: 落叶    时间: 2006-11-2 04:35
双踝夏科氏关节,右侧髋臼发育不良并半脱位,脊柱裂
作者: jiangjing    时间: 2006-11-2 05:55
支持:1、脊柱裂;
      2、右侧髋臼发育不良伴半脱位;
      3、双踝关节夏科氏关节病。
作者: 宝天曼    时间: 2006-11-2 14:45
夏科氏关节病可能性大.
作者: zhw974247    时间: 2006-11-2 19:58
标题: 回复:x1147:[原创]
以下是引用dyqct在2006-10-31 22:37:00的发言:[br]支持:1、脊柱裂;[br]      2、右侧髋臼发育不良伴半脱位;[br]      3、双踝关节夏科氏关节病。

作者: zyyths    时间: 2006-11-3 00:30
支持:1、隐性脊柱裂;
      2、右侧髋臼发育不良伴半脱位;
      3、双踝关节改变符合神经营养性关节病(夏科关节);
      4、双侧髂骨致密性骨炎。
作者: jinguoji    时间: 2006-11-19 06:33
支持:1、脊柱裂;
      2、右侧髋臼发育不良伴半脱位;
      3、双踝关节夏科氏关节病。
作者: 放牧人    时间: 2007-3-3 18:45
x1147手术病理双踝夏科氏关节病、右下肢骨髓炎瘘道形成感染截肢!
作者: 风随意    时间: 2007-3-4 18:23
我就在想为什么没有人说骨髓炎
作者: jinning    时间: 2007-3-5 01:02
太不辛了,学习了,谢谢楼主的好病例
作者: yanbin198199    时间: 2007-3-5 01:14
踝关节表现好像是夏科氏关节病
但是腰椎和骨盆表现像是骨骺发育不良
作者: 高仕福    时间: 2007-3-5 02:22
1、脊柱裂;伴脊髓脊膜膨出?建议mri检查,
2、右侧髋臼发育不良伴半脱位;
3、双踝关节夏科氏关节病。
作者: jinguoji    时间: 2007-3-5 05:37
支持:1、脊柱裂;
      2、右侧髋臼发育不良伴半脱位;
      3、双踝关节夏科氏关节病。
作者: wy232326    时间: 2007-9-14 02:40
手术病理双踝夏科氏关节病、右下肢骨髓炎瘘道形成感染截肢
学习了
作者: peijunlong    时间: 2007-9-15 22:57
双踝关节夏科氏关节病 脊柱裂  髋脱位(
作者: 吴文利    时间: 2007-9-16 00:28
资料、性别、年龄
作者: hexue    时间: 2007-9-17 06:29
好片子,谢谢楼主
作者: yuhongjun    时间: 2007-9-17 12:14
真是好病历,少见.
作者: 22222222    时间: 2007-9-18 05:01
1夏科氏关节.2脊柱裂.3髋脱位.
作者: 信天游    时间: 2007-9-18 05:18
脊柱裂;
      2、右侧髋臼发育不良伴半脱位;
      3、双踝关节夏科氏关节病。
作者: 张宝荣    时间: 2007-9-18 05:34
骨肉瘤
作者: luoxinjun    时间: 2007-9-19 06:03
好病历,多谢楼主!
作者: wjt9866    时间: 2007-9-20 07:29
谢谢,很好啊,确实少见----夏可关节合并骨髓炎,还有先天髋脱位和脊椎裂。
作者: wy232326    时间: 2007-10-4 06:20
学习了
作者: 徐飞    时间: 2007-10-6 06:50
夏科氏关节病可能性大.
作者: wei98ying    时间: 2007-10-6 07:02
首先谢谢楼主提供这么好的病例。不过很郁闷!没有病史、症状、体征、血象生化,但各位楼上看图就能说出是夏科氏关节病,太历害了!
作者: 秋叶落无声    时间: 2007-10-8 05:13
1、脊柱裂;
2、右侧髋臼发育不良伴半脱位;
3、双踝关节夏科氏关节病;
4、双侧髂骨致密性骨炎.
作者: shibing    时间: 2013-5-15 07:54
虑夏科氏关节病
作者: shilong    时间: 2013-5-15 12:24
踝关节结核
作者: shilong    时间: 2013-5-15 12:26
如果是夏克氏关节病,应考虑脊髓空洞症
作者: zhanggenliang    时间: 2013-5-15 22:35
像夏科氏关节病




欢迎光临 医影在线 (http://bbs.radida.com/bbs/) Powered by Discuz! X3.2